Пн-пт: 09:00—20:00; сб: 09:00—16:00 по предварительной записи
whatsapp telegram vkontakte email

Что такое демодекс на лице фото

image

  • 26 Августа, 2018
  • Дерматология
  • Сергей Северный

Мало кто знает, но демодекс — это клещ, живущий внутри волосяных фолликулов млекопитающих, в том числе и человека. Именно эти паразиты, которые, к слову, являются одними из самых мелких членистоногих, провоцируют развитие многих кожных заболеваний.

Как они передаются и можно ли избавиться от клещей демодекс, об этом в статье. Эти мелкие насекомые сидят под кожей почти у каждого человека и даже могут передаваться от одного другому.

Что такое демодекс?

Многие ошибочно полагают, что демодекс — это кожное заболевание, проявляющееся в виде акне, воспалений на лице и прочих неприятных симптомов. Демодекс, а если быть точнее, Demodex folliculorum -это вид паразитических клещей, обитающих в основном на теле человека.

Впервые Demodex folliculorum был распознан как отдельный вид в далеком 1963 году. С тех пор начались детальные исследования этих паразитов, в ходе которых о них удалось узнать много интересных фактов.

image

Так, например, выяснилось, что взрослый клещ достигает максимального размера до 0,4 мм. У него полупрозрачное вытянутое туловище и 8 лапок. Тело покрыто мелкими чешуйками, которые позволяют им цепляться за волосяной фолликул. Кроме того, у этого существа есть ротовой аппарат, с помощью которого ему удается поедать скапливающиеся в волосяных сумках частички сальных желез, клетки кожи и гормоны.

Клещ демодекс может передвигаться под кожей со скоростью до 16 см в час. Обычно свои перемещения он осуществляет в темное время суток, так как боится света.

Размножение

Клещи могут спариваться и размножаться. Эти природные процессы происходят в устье фолликула через половые отверстия.

Яйца самки клещей откладывают внутри сальных желез или волосяного фолликула. Спустя 3-4 дня вылупляются личинки, еще через неделю они превращаются во взрослых особей. Период жизни клеща Demodex brevis — несколько недель. После гибели тело членистоногого разлагается внутри сальной железы или фолликула.

Демодекс у человека

Среди всех млекопитающих именно человек считается основным носителем этого рода паразитов. Клещи Demodex folliculorum чаще всего поражают взрослых и пожилых людей. Дети гораздо меньше подвержены атаке со стороны этих членистоногих, так как на их теле выделяется в разы меньше кожного сала — любимого лакомства демодекса. Подобное действие и у клещей Demodex brevis. Рассмотрим, как происходит заражение.

Подкожный клещ может передаваться от одного человека к другому. Обычно это происходит при соприкосновении их волос, бровей, ресниц или сальных желез у носа. Кроме того, переносчиками некоторых разновидностей клещей Demodex могут быть домашние животные, в частности собаки. Одно из известных паразитарных заболеваний, вызываемых ими, — зооноз.

image

Чем опасны клещи?

Деятельность подкожных клещей, как правило, протекает незаметно. Однако в более редких случаях их присутствие может сопровождаться кожными заболеваниями. Самым распространенным из них является демодекоз. Он представляет собой поражение кожи лица в виде розовых угрей, аллергии и себореи.

Среди факторов, которые могут привести к развитию демодекоза, следует выделить:

  • частые стрессы;
  • ослабление иммунитета;
  • нервные перегрузки.

Под воздействием этих явлений численность лицевых клещей демодекс значительно возрастает, в результате чего возникает ряд неприятных последствий. В таких случаях человек может испытывать зуд под кожей и даже ощущать едва заметные передвижения клеща. Зоны, в которых это происходит чаще всего, — носогубные складки, надбровные дуги, веки, лоб и подбородок.

Диагностика демодекоза

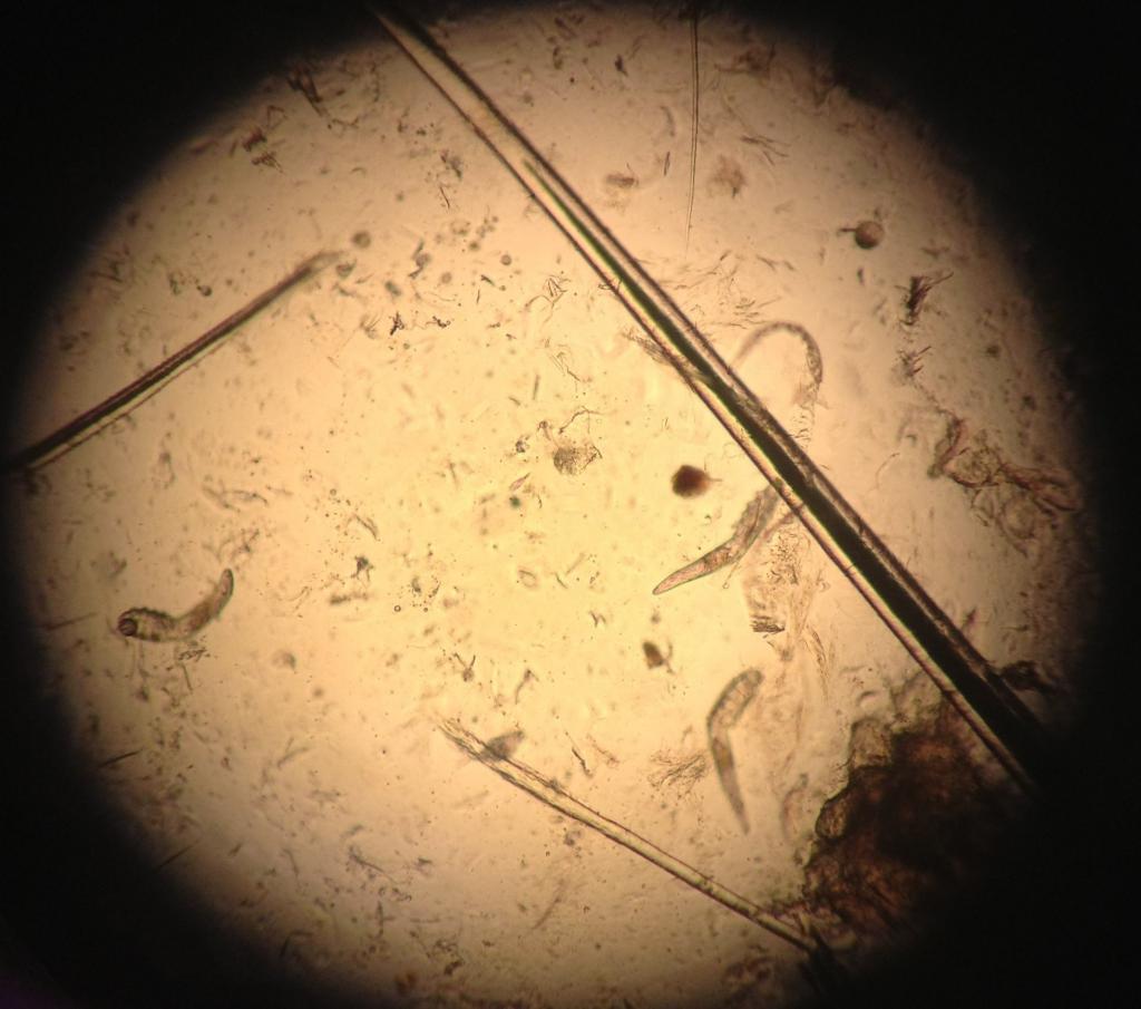
Не каждая сыпь на лице означает наличие демодекоза, ведь существует еще множество кожных заболеваний, имеющих похожие симптомы. В первую очередь, чтобы определить наличие этой болезни, необходимо сдать соскоб на клеща демодекс. Это самый надежный и точный способ убедиться в присутствии этого паразита.

Анализ на клеща демодекс делается просто и безболезненно. Специалист берет соскоб кожи лица или волосяного покрова (брови, ресницы) и отправляет его на исследование в лабораторию. Далее проводится его изучение под микроскопом. Именно так можно увидеть полупрозрачных паразитов и результаты их жизнедеятельности.

image

Симптомы демодекоза

Существует несколько явных симптомов клеща демодекс на лице, которые можно определить самостоятельно. К ним относятся:

  • внезапное появление жирного блеска;
  • появление воспалительных образований;
  • комедоны;
  • зуд на ресницах и в области век;
  • зуд на некоторых участках лица;

Также стоит обратить внимание на локализацию кожных образований. При демодекозе прыщи чаще всего располагаются в одном месте или как будто бы стоят в ряд. Такие линии из прыщей на лице указывают на маршрут передвижения подкожного клеща. При появлении вышеперечисленных симптомов клеща демодекс стоит как можно скорее обратиться к дерматологу.

Способы лечения

Лечение симптомов должно назначаться врачом в зависимости от разновидности бактерии и серьезности заболевания. Как правило, на то, чтобы полностью избавиться от этих паразитов, уходит от 1 до 3 месяцев. Пациентам выписывают антибиотики и антибактериальные средства. В ход идут витамины, лосьоны, маски, дегтярное мыло и даже криомассаж.

Как лечить поражение клещом демодекс, должен решать врач. Как правило, весь курс лечения делят на этапы. В первую очередь уничтожают живущих под кожей паразитов, а уже затем избавляются от последствий их деятельности, прыщей и красных пятен.

Основная сложность в лечении к леща демодекс на лице состоит в том, что данное членистоногое защищено плотной оболочкой, через которую слабо проникают препараты. Именно поэтому применяются сразу несколько средств — антибиотики и специальные мази, которые имеют одновременно и наружный, и внутренний эффект.

Экспресс-лечение

Далеко не каждый пациент будет морально настроен на продолжительное лечение от подкожного клеща демодекс, когда узнает, что у него под кожей ползают паразиты. Несмотря на то, что любое воспаление должно лечиться комплексно, существует несколько методов, дающих возможность значительно ускорить и упростить этот процесс.

Речь идет о таких процедурах:

  • Косметологическая чистка лица (механическое удаление прыщей). Плюсы заключаются в быстром избавлении от симптомов демодекса. Минус состоит в том, что посредством чистки нельзя уничтожить самих вредителей. Даже после чистки клещи продолжат существовать и размножаться.
  • Высококонцентрированные средства уничтожения. Такая методика в буквальном смысле позволяет избавиться от поврежденных верхних слоев кожи лица. На ней образуются ожоги, похожие на солнечные, кожа начинает шелушиться. В процессе регенерации верхние слои сходят, а нижние становятся чистыми. Однако эффект длится недолго, ведь со временем клещ снова дает о себе знать.

Если применять эти методы в комплексе с другими процедурами (как лечить клещ демодекс на лице, подробно описано выше), избавиться от паразитов удается гораздо быстрее и эффективнее. Именно поэтому стоит рассмотреть эти способы более детально.

Чистка лица

Чистка лица — косметическая процедура, которая позволяет быстро избавиться от большинства видимых недостатков кожи, в том числе прыщей и черных точек. Чистка лица бывает двух видов — ручная и механическая. Если первая известна еще со времен СССР, то вторая появилась относительно недавно и вызывает некоторые сомнения у большинства посетительниц салонов красоты.

image

Проводить механическую чистку можно лишь в тех случаях, если на лице пациентки нет открытых или закрытых комедонов. Комедон — своего рода «пробка», которая образуется из-за закупорки волосяного фолликула. Предшествуют этому скопления грязи и кожного сала, перекрывающие поры.

Если комедоны на лице отсутствуют и нет никаких других медицинских противопоказаний (индивидуальная непереносимость используемых препаратов), можно проводить механическую чистку.

Механическая чистка лица

Довольно часто механическую чистку упоминают как один из способов лечения симптомов клеща демодекс на лице. Однако, как уже стало понятно, с ее помощью можно лишь избавится от последствий демодекоза, а само уничтожение паразита происходит несколько сложнее.

Тем не менее стоит подробнее рассмотреть эту косметологическую процедуру, ведь делать ее можно не только для устранения недостатков, но и в качестве профилактики их возникновения. Механическая чистка лица происходит в несколько этапов:

  • Первым делом лицо пациента обрабатывают составом, способствующим расширению пор. Это может быть специальный крем, лосьон или маска. После того, как удастся добиться необходимого эффекта, косметолог приступает к следующему этапу обработки.
  • При помощи стерильных обработанных инструментов проводится механическая чистка лица — удаление черных точек и прочих образований. Эту процедуру также называют комедоноэкстракцией.
  • В завершающий этап входит дезинфекция и применение успокаивающих средств для кожи. Как правило, для этого используются различные тоники и лосьоны. Разные косметологи могут практиковать в своей работе продукты различных косметических брендов.

Сразу после чистки нельзя делать макияж. Через время процедуру нужно повторить. Длительность курса определяется специалистом и зависит от индивидуальных особенностей клиента.

Плюсы и минусы

Хоть в настоящее время механическая чистка и считается наиболее распространенной косметологической процедурой, у нее есть как свои сторонники, так и противники. Последние, аргументируя свое негативное отношение к механической чистке, приводят такие доводы:

  • Данная процедура является довольно болезненной, чего нельзя сказать о ручной чистке.
  • После нее могут оставаться рубцы и пятна. Именно поэтому чаще всего механическая чистка проводится в комплексе со специальным противовоспалительным препаратом, который помогает эффективно бороться с пигментными пятнами, выравнивает цвет кожи и улучшает регуляцию себосекреции.
  • Механическая чистка противопоказана в случаях, когда у пациента наблюдаются воспаления и комедоны на лице. Если косметолог по каким-либо причинам не учтет эти факторы и проведет чистку, есть риск развития раздражения и распространения сыпи.

К плюсам механической чистки можно отнести высокую эффективность. Ни один другой препарат и ни одна другая процедура не дадут такого результата, как она.

Ручная чистка

Как можно понять из названия, единственный инструмент, которым работает косметолог во время такой чистки, его руки. При этом остальные этапы чистки в этом случае остаются такими же.

В первую очередь кожу лица пациента обрабатывают специальным составом, который помогает расширить его поры. А в завершение всего процесса на лицо наносят успокаивающий тоник или лосьон для снятия воспалений.

image

Главное отличие этих методов — в том, что во время ручной чистки удаление прыщей и черных точек происходит путем надавливания на них непосредственно пальцами специалиста. Считается, что этот способ менее травматичен. После него практически не остается никаких следов, чего нельзя сказать о механической чистке. Однако и эффект от такой процедуры ощущается гораздо слабее.

В настоящее время в большинстве салонов красоты и студий косметологии практикуют механическую чистку, несмотря на то, что ручная все же является более уважаемой и востребованной. Есть также и другие виды удаления недостатков с лица. Среди них ультразвуковая, лазерная и вакуумная чистки. Однако пациентом, страдающим от демодекоза, они не так нужны, как внутреннее вмешательство и уничтожение паразитов посредством приема лекарственных средств.

Самостоятельное лечение

Как уже говорилось выше, лечение клеща демодекс должно происходить комплексно. В этих случаях применяются как наружные методы — мази, крема, лосьоны и прочее — так и внутренние в виде антибактериальных медицинских средств. Назначать эти препараты должен врач-дерматолог, в крайнем случае косметолог.

Самостоятельно устанавливать себе диагноз и начинать лечение, изучив информацию в Сети, крайне не рекомендуется. Есть риск усугубить ситуацию, применяя те способы, которые не подходят для лечения конкретного заболевания, ведь прыщи на лице не обязательно указывают на клещ демодекс.

Отзывы пациенток о лечении демодекоза в основном положительные. Все они отмечают заметные улучшения внешнего вида кожи лица уже после нескольких недель применения лекарственных препаратов. Окончательное выздоровление наступает по завершении курса, который может длиться от 1 до 3 месяцев, иногда дольше.

При этом, как отмечают девушки, в процессе лечения на лице периодически появляются новые прыщи. Не стоит пугаться. Это вполне нормальное явление, ведь продуктам жизнедеятельности паразитов, скопившимся под кожей за время пребывания там клещей, необходимо время на то, чтобы окончательно выйти наружу.

image

Мази при демодекозе

Мазей от клеща демодекс не существует, ведь и клещ — это не заболевание, а паразит, живущий на лице человека. Однако можно найти множество косметических средств, спасающих от результатов его деятельности — прыщей, воспалений, зуда, жирного блеска и других недостатков кожи.

Назначать определенный препарат должен специалист. Обычно его выбор падает на средства из нижеприведенного списка:

  • Серная мазь — средство на основе серы, известной своими антипаразитарными и противовоспалительными свойствами. Компоненты мази отлично успокаивают раздраженные участки кожи. Уже с первого дня применения средства живущие внутри паразиты начнут погибать.
  • Цинковая мазь — еще один распространенный способ борьбы с кожными заболеваниями. В ее составе преобладают цинк и вазелин, а эти компоненты являются отличными помощниками в борьбе с подкожным клещом. Кроме того, препарат обладает противовоспалительным свойством, отлично подсушивает зараженные участки и уменьшает покраснения.
  • Перметриновая мазь — отлично помогает при лечении демодекоза, в частности из-за пиретроида (перметрина), входящего в ее составе. Эти вещества, полученные искусственным путем, способны проникать сквозь защитную оболочку демодекса и уничтожать его изнутри.
  • Бензилбензонат — универсальное средство для лечения различных кожных заболеваний. Точно так же, как перментиновая мазь, может проникать через панцирь клеща и воздействовать на него напрямую. Уже через час после контакта активных компонентов мази и паразита последний гибнет. Чаще всего препарат выписывают пациентам с ослабленным иммунитетом, так как он не только лечит текущие заболевания кожи, но и препятствует их повторному возникновению.
  • Ихтиоловая мазь — антисептическое средство, которое при лечении демодекоза используется в качестве дополнительного препарата. Мазь обладает обезболивающими свойствами и не имеет побочных эффектов. Назначается врачом с учетом индивидуальных особенностей пациента.
  • Мазь «Ям» — «убойный» для паразитов крем, который состоит из ацетилсалициловой кислоты, серы, дегтя и скипидара. По отдельности эти компоненты оказывают губительное воздействие на подкожного клеща, а совместно их эффект только усиливается.

Стоит отметить, что период использования мази должен устанавливать врач в зависимости от тяжести развития демодекоза у пациента. Наружные средства наносятся тонким слоем на всю кожу или только поврежденные участки. При этом важно избегать попадания в глаза и не увеличивать самостоятельно дозировку без рекомендации врача, ведь это может привести к аллергическим реакциям и другим неприятным последствиям.

image

Антибиотики для лечения демодекоза

Вместе с мазями и другими наружными средствами при лечении демодекоза обычно назначаются антибиотики широкого спектра или другие антибактериальные препараты. Самыми популярными и часто используемыми из них являются «Метронидазол», «Трихопол» и «Орнидазол».

«Метронидазол» может применяться как самостоятельное, так и как вспомогательное средство. Выпускается в форме таблеток, свечей и мази. При лечении главное для пациента — полностью исключить алкоголь, ведь даже малейшая доза спиртного может полностью перечеркнуть весь эффект действия этого антибиотика.

image

«Трихопол» имеет аналогичные рекомендации к применению — совмещать его с алкоголем строго запрещено. Среди всех препаратов такого типа он считается одним из самых действенных, поэтому чаще других назначается врачами. Используется не только для лечения кожных заболеваний, но и для борьбы с трихомонозом и малярией.

«Трихопол» противопоказан людям с почечной недостаточностью и поражениями ЦНС, больным эпилепсией, лейкопенией. Также препарат запрещено принимать во время кормления грудью и беременности.

«Орнидазол» реже других лекарственных средств назначается при лечении демодекоза, так как имеет такие побочные эффекты, как тошнота, головная боль и сонливость. При превышении дозировки этого препарата также могут наблюдаться сбои в работе ЦНС. Несмотря на это, «Орнидазол» является довольно эффективным средством при лечении хламидоза, лямблиоза и тризомоноза. Форма выпуска препарата — таблетки и капсулы.

Советы

Главная рекомендация для людей, столкнувшихся с проблемой появления сыпи на лице и симптомов демодекса — посетить врача-дерматолога, который сможет точно подтвердить или опровергнуть наличие паразита. Далее стоит точно следовать указаниям специалиста, исключить из рациона вредные продукты (мучное, сладкое, жирное), внимательно следить за собственной гигиеной и чистотой дома.

Важно регулярно стирать постельное белье, особое внимание уделить подушкам. Что касается медикаментозного лечения, то его должен назначать врач. После того, как все паразиты будут уничтожены, можно приступать к уходовым процедурам — чисткам и пилингам.

image

Стоит отметить, что данный паразит может обосноваться не только на отдельных участках лица, но и в области глаз. Клещ демодекс очень любит волосяные фолликулы, поэтому часто появляется на ресницах или бровях.

В таких случаях основным симптомом присутствия паразита будут желтоватые образования у оснований волосков. Глазной клещ демодекс лечится такими же методами, что и обычный.

Кожные заболевания, не затрагивающие работу внутренних органов, кажутся менее опасными, но это не всегда так. Чего стоят, к примеру, психологические проблемы, с которыми сталкивается заболевший! А еще — зуд и жжение, не дающие нормально спать по ночам, риск разного рода осложнений… Всё это приходится испытывать людям, страдающим от такой болезни, как демодекоз. Поговорим о том, почему она возникает, как диагностируется, а главное – насколько успешно поддается лечению.

Демодекоз у человека — что это такое?

Виновником заболевания (код по МКБ-10 — В88.0) является клещ Demodex folliculorum , продукты его жизнедеятельности. Рассмотреть врага можно лишь под микроскопом, поскольку его размеры не превышают 0,1-0,4 мм. В небольших количествах клещ встречается практически у всех людей, но редко кому доставляет неприятности – природного иммунитета, как правило, бывает достаточно, чтобы враг никак себя не обнаруживал. Однако на фоне других заболеваний и негативных обстоятельств активность клеща становится опасно высокой.

Его питание составляют выделения сальных желез, поэтому более комфортно возбудитель демодекоза чувствует себя на жирной коже. Жизненный цикл клеща составляет несколько недель: самка откладывает в полость волосяного фолликула около двух десятков яиц, из которых через пару суток развиваются личинки, а затем – взрослые особи.

Отличительной особенностью клеща демодекса является то, что его активность резко усиливается при температуре выше +25 о С. Это объясняет тот факт, что в зимнее время заболевание диагностируется чрезвычайно редко.

По характеру течения заболевания демодекоз может быть двух видов: первичный (он развивается внезапно, без явных к тому предпосылок) и вторичный (на фоне различных болезней, например, хронических).

Проявления демодекоза напоминают розовые угри (или розацеа, как специалисты называют это заболевание), поскольку и в том, и в другом случае поражаются сальные железы. Однако природа заболеваний — разная, а значит, схема лечения должна учитывать особенности каждого из них, в противном случае лекарства и процедуры будут неэффективны.

Причины появления

Демодекоз могут спровоцировать следующие факторы:

  • очень жирная кожа и соответственно – повышенная выработка кожного сала;
  • пренебрежение гигиеной, в результате чего сальные и потовые железы могут быть закупорены;
  • злоупотребление косметическими препаратами, в особенности – содержащими гормональные компоненты;
  • раны или воспалительные процессы на коже, имеющие вирусный или инфекционный характер;
  • ослабленный после перенесенных болезней иммунитет;
  • большое количество принимаемых лекарств (особенно – кортикостероидов);
  • проблемы с эндокринной системой;
  • заболевания желудочно-кишечного тракта, в том числе хронические;
  • злоупотребление солнечными ваннами – естественными и искусственными;
  • частые походы в общественные бани и сауны, где может возникнуть риск заражения;
  • возрастные изменения кожи у людей после 65 лет.

Для демодекоза, по мнению ряда специалистов, очень важна психосоматика. Существует статистика, согласно которой 85% заболеваний имеют те или иные психологические обоснования . Демодекоз, если его рассматривать с точки зрения психики, – это своеобразная попытка человека замкнуться в себе, установить барьеры, препятствующие общению с другими людьми, стать «неприкасаемым».

Симптомы и признаки заболевания

Несмотря на то, что признаки этого заболевания практически те же, что и при угревой сыпи, есть особенность характерная именно для демодекоза – это образовывающийся по краю век налет, из-за которого ресницы сначала слипаются, а затем начинают выпадать.

  • розовые или красные пятна, трансформирующиеся в угревую сыпь;
  • зуд, который становится нестерпимым после умывания;
  • изменение структуры кожи – она выглядит неровной, бугристой;
  • кровеносные сосуды, расположенные в районе кожных покровов, расширяются и становятся более четко выраженными;
  • в зонах поражения прекращается рост волос, а имеющиеся (если поражены ресницы, брови, шевелюра) начинают выпадать;
  • на коже появляются небольшие лопающиеся пузырьки, начинается шелушение.

Узнать о флегмоне — что это такое, причинах, симптомах, методах лечения можно по ссылке.

Об особенностях возникновения, симптомах и лечении вируса Эпштейна-Барра у детей читайте в следующем материале.

Виды и локализация болезни

Различают две формы демодекоза в зависимости от локализации: дерматологическую, при которой поражаются кожные покровы лица и тела, и офтальмологическую, если клещ повреждает веки и глазные яблоки.

Дерматологическая форма представлена несколькими видами :

  • эритематозным – симптомы болезни сводятся к покраснениям на кожных покровах;
  • пустулезным – имеется большое количество гнойников;
  • папулезным – характеризуется в основном мелкой сыпью;
  • комбинированным – когда симптоматика включает в себя и покраснения, и сыпь, и гнойники.

Подкожный клещ поражает лицо и голову (в том числе ее волосистую часть), реже – тело и конечности. Рассмотрим каждый случай подробнее.

Лицо (глаза, веки)

Почему лицо особенно часто оказывается в зоне поражения клещом? Всё очень просто – именно здесь расположено большое количество сальных желез, которые к тому же довольно часто загрязняются.

От клеща в первую очередь страдают:

  • веки и надбровные дуги;
  • лоб;
  • кожа вокруг губ и подбородок;
  • носогубные складки;
  • кожа в районе слухового отверстия.

При диагнозе «демодекозный блефарит» страдают не только веки (кожа становится красной, отекает, зудит), но и глазное яблоко. Из-за спровоцированного болезнью дефицита слезной жидкости возникает ощущение инородного тела либо песка в глазах. Острота зрения ухудшается, глаза очень быстро устают.

Если лицевой подкожный клещ разрушает фолликулы ресниц, возникает еще одна проблема: ресницы начинают расти неправильно, внутрь, и в результате травмируют роговицу. У пациента может появиться в дополнение к имеющимся проблемам еще одно заболевание – краевой кератит , характеризующийся появлением на краях роговой оболочки язвочек. За этим могут последовать светобоязнь и спазм век, вызывающий сильную боль.

Волосистая часть головы

Если в зоне интереса клеща оказалась волосистая часть головы, человек сначала почувствует легкий зуд. Затем обнаружатся и другие симптомы: кожа начнет шелушиться, волосы утратят свой естественный блеск, будут быстро становиться грязными, а затем – выпадать. Если вовремя не начать лечение, через несколько недель спасать на голове может быть нечего.

Тело (спина, плечи, грудь, руки, ноги)

До этих мест клещ добирается значительно реже. Дело в том, что его «плотность на квадратный сантиметр» уменьшается в направлении сверху вниз в связи с сокращением количества «пунктов питания» — сальных желез. На спине и груди шансов перекусить у клеща меньше, чем на лбу или подбородке. Ну а на стопах признаков демодекоза практически никогда не бывает, поскольку там подобных желез – минимум.

Для лечения могут потребоваться сильные лекарства, в том числе и антибиотики.

К характерным для демодекоза симптомам добавляются специфический, очень неприятный запах, ощущение стянутости кожных покровов, сильное жжение.

Фото: как выглядит демодекоз на лице у женщин и мужчин

Заразен ли он, передается ли окружающим людям?

Демодекоз – болезнь заразная, легко распространяется контактным способом. Однако это – не повод для паники. По сути 97% людей здоровых (это данные медицинской статистики) являются носителями Demodex folliculorum, но, чтобы клещ перешел в наступление, ему необходимы благоприятные условия, о которых шла речь в начале статьи.

Особенно много носителей болезни среди пожилых людей – клещом заражены каждые два человека из трех. У ребенка потенциальная опасность ниже – заражен один человек из трех. У людей среднего возраста эта статистика составляет 50 на 50.

Информация для владельцев кошек и собак: наши домашние питомцы тоже могут болеть демодекозом, однако для людей эти формы заболевания абсолютно безопасны.

Диагностика: какие анализы нужно сдавать

Чтобы правильно определить диагноз больного, врачу, помимо визуального осмотра и изучения анамнеза (сведений о пациенте и его заболевании), потребуются данные лабораторных исследований. Материалом для них является соскоб фолликул, сальных желез . На исследование берутся также волоски ресниц и бровей .

Чтобы картина заболевания была объективной, пациент за 3 дня до взятия соскоба не должен умываться – только так удастся обнаружить и самого клеща, и следы его жизнедеятельности, и личинок. Результаты лабораторных исследований врач получает через 2-3 дня после забора материала.

Клещ демодекс: лечение кожи лица препаратами

Некоторые пациенты, в основном женщины, считают демодекоз косметической проблемой, которую можно решить с помощью тонального крема. Результат в этом случае – как у страуса, который прячет голову в песок и чувствует себя в полной безопасности.

Демодекоз лечится врачами-дерматологами долго, обстоятельно, чтобы исключить риск рецидива. Лечение включает целый комплекс мер.

Таблетки

Обычно врач назначает пациенту противопаразитарные лекарства. Среди них:

  • Орнидазол – он подавляет активность клеща, принимать лекарство можно несколько суток, затем врач рекомендует продолжить лечение либо меняет препарат;
  • Орнимед – лечение составляет 1-2 недели;
  • Дазолик – антибиотик, снижает риск опасных осложнений;
  • Трихопол (Метронидазол) – эффективный препарат, обеспечивающий гибель паразитов, но имеющий ряд противопоказаний для пациента.

Кроме того, врач назначает антигистаминные препараты: Супрастин, Клемастин, Тавегил. Они помогают снять отек, избавляют от зуда и оберегают человека от риска интоксикации, которая может быть вызвана продуктами жизнедеятельности клеща.

Больные демодекозом должны также принимать витамины, чтобы восстановить здоровье и укрепить иммунную систему. В этом плане хорошо себя зарекомендовали Витрум – витаминный комплекс из 30 необходимых организму полезных веществ, а также Селмевит Интенсив – он содержит 20 витаминов и минералов.

Мази, гели

Эти препараты – необходимые средства местной терапии при демодекозе. Среди них традиционно – серная, цинковая мазь, а также препараты, содержащие деготь, ртуть. Больному демодекозом могут быть назначены мази и гели :

  • Демалан,
  • Бензилбензоат,
  • Спрегаль,
  • Клион,
  • Розамет,
  • Ихтиол (ихтиоловая мазь),
  • Перметриновая мазь,
  • Амитразол,
  • Стрептоцид растворимый,
  • Солантра,
  • Скинорен,
  • Трихополовая мазь,
  • Клензит С (гель)
  • Димексид (эмульсия).

Если после 7-10 дней использования той или иной мази положительный эффект так и не появляется, врач постарается решить проблему с помощью антибиотика. В этом качестве может быть использована болтушка с Левомицетином. Одновременно используется Метрогил гель.

Если положительного результата нет по прошествии месяца с начала лечения, то врач может назначить антибиотик Зинерит (он выпускается в виде кремов и глазных капель).

Лечение кремами и мазями при демодекозе длится от 1 месяца до года. За это время врач успевает назначить пациенту несколько курсов с обязательными перерывами в течение 1 недели. Иногда больному назначают несколько мазей и кремов одновременно. Среди них может оказаться мазь Ям (аверсектиновая мазь) – она предназначена для лечения животных, но помогает и человеку. В ее составе сера, салициловая кислота, деготь.

Для лечения последствий заболевания используются такие средства, как Имофераза, избавляющие кожу от рубцов, неровностей, шрамов.

Капли

При офтальмологическом демодекозе врач прописывает глазной препарат в виде капель (Армин, Тосмилен, Ципрофлоксацин, Левомицетин). Их использование не всегда бывает традиционным. Например, каплями Карбахол и Фосфакол смазывают края век. Это вызывает сокращение круговой мышцы глаза, во время которого из желез наружу выходит их содержимое, в том числе и клещи.

Шампуни

Некоторые фармакологические компании выпускают линейки продуктов для лечения тех или иных заболеваний. В случае с демодекозом можно воспользоваться препаратами «Стоп демодекоз» — в них есть гели, мыло, шампунь для ежедневного ухода за больной кожей.

Из других шампуней больному могут быть рекомендованы марки :

  • Демодекс (в его составе сера, масло чайного дерева);
  • Ованте;
  • Демазол;
  • Мантинг.

Как лечить народными средствами

В домашних условиях люди часто прибегают к народным средствам. При демодекозе все их следует согласовать с лечащим врачом.

Это отвары таких растений, как чистотел, алоэ, полынь, анабазис, ромашка, настойка календулы, сок лопуха, отвар, приготовленный из дубовой коры .

Благодаря подобным средствам, которыми протирают воспаленную кожу, уничтожается благоприятная среда, необходимая клещу для его активной жизни и размножения.

Для волосистой части головы полезен деготь березовый (им смазывают пораженные участки кожи), как в чистом виде, так и в составе различных средств для ухода за кожей (дегтярное мыло и шампунь). Можно также добавлять в шампунь или ополаскиватель для волос 10-процентный спиртовой настой прополиса.

Диета и основы питания

Рекомендуемая для людей, болеющих демодекозом, диета – молочно-растительная. Она позволяет эффективнее освобождать организм от шлаков и не перегружать пищеварительную систему. Из напитков полезны зеленый чай, минералка без газа, натуральные соки. Под запретом – алкоголь, кофе и пакетированные напитки.

В число запрещенных продуктов входит жирная пища, консервы, кушанья из фаст-фуда, цитрусовые фрукты.

Другие способы борьбы

В арсенале врачей сегодня имеются эффективные методики, которые помогают справляться с опасным заболеванием :

  • озонотерапия (снимает воспаление);
  • криомассаж, т.е. массаж с использованием холода (клещ боится низких температур, процедура снижает его активность, хотя и не убивает);
  • плазмаферез (способствует выведению из организма токсичных продуктов);
  • ТСА-пилинг (осуществляет глубокую очистку пор);
  • процедуры с использованием прибора Дарсонваль (воздействие на ткани импульсным током высокой частоты).

Что делать при беременности

Что делать точно нельзя, так это заниматься самолечением. Для избавления от демодекоза, обычно используются очень сильные препараты, которые могут быть опасны для будущего ребенка. Позиция медиков в этом вопросе такова: если болезнь не причиняет женщине серьезных неприятностей, то лечение такими препаратами лучше отложить на то время, когда ребенок появится на свет.

А вот что допустимо, это местная терапия с помощью антибактериальных средств, некоторые народные методы лечения, которые нужно согласовывать с врачом. Что касается таких процедур, как криомассаж, то они могут быть опасны для будущей мамы, поскольку воздействуют на тонус матки.

С показаниями и инструкцией по применению крема Липобейз можно ознакомиться в следующей публикации.

О видах вакцин от ветрянки и особенностях прививки детям и взрослым читайте тут.

Есть ли те, кто успешно вылечился и избавился от недуга навсегда?

Прогноз этого заболевания – победа над болезнью за 30-60 дней. Кроме того, учеными из Оренбурга разработана схема и созданы лекарства, с помощью которых демодекоз излечивается за 4 дня. В состав «секретного оружия» входят мазь Бензилбензоат и кремы – Унидерм и Эмолиум. С инструкцией по применению крема Эмолиум можно ознакомиться по этой ссылке.

К сожалению, говорить об избавлении от недуга навсегда можно с большой осторожностью. Проблема в том, что даже после длительной ремиссии каждый десятый случай демодекоза отмечен рецидивом . Да и отзывы в Интернете на эту тему зачастую не самые оптимистичные. Например: «Казалось, что вылечилась полностью и даже на 3 года забыла о проблеме, но затем, после пережитого сильного стресса заболела демодекозом вновь».

Осложнения

Проблемы возникают у тех, кто игнорирует лечение на первых стадиях развития болезни. В этом случае за демодекозом могут последовать:

  • конъюнктивит,
  • блефарит,
  • ячмени,
  • гнойное воспаление кожи, например, появление фурункулов на теле.

Профилактика

Меры профилактики позволяют людям защитить себя от рецидива неприятного заболевания. Очень важно :

  • соблюдать гигиенические процедуры по уходу за кожей лица;
  • вытирать лицо одноразовыми салфетками, а не полотенцем;
  • постельное, нательное белье следует регулярно менять, кипятить и обязательно гладить утюгом;
  • покупая новые подушки, останавливать выбор на изделиях с противопаразитарными добавками Акарил, Аллергофф;
  • избегать походов в сауну и солярии;
  • быть осторожнее с косметологическими процедурами;
  • использовать косметику высокого качества от надежных производителей;
  • поддерживать иммунную систему, соблюдая здоровый образ жизни и отказавшись от вредных привычек.

Демодекоз является кожной патологией, которая провоцируется таким паразитом, как клещ демодекс. Патология является довольно распространенной, как среди женщин, так и среди мужчин. Если начались проблемы с кожными покровами, и был обнаружен демодекс, лечение кожи лица должен назначить дерматолог.

Демодекс (фото) на лице: причины и начальная стадия

Клещ, который провоцирует развитие патологического процесса, является условно-патогенным, то есть он может обитать на коже здорового человека и при определенных условиях вызывать болезнь, а может никаким образом не давать о себе знать.

Демодекс живет в протоках сальных желез, в железах области века, в волосяных луковицах. Он характеризуется небольшим размером, его нельзя заметить невооруженным глазом. Питается этот клещ секретом, который вырабатывают сальные железы.

Вне организма человека размножение демодекса приостанавливается. Обострение заболеваемости демодекозом отмечается в весеннее и летнее время, потому, что температура воздуха достигает значений +30 — +40 градусов по Цельсию, а это оптимум для размножения клеща. Также обострение может быть спровоцировано приемом горячих ванн, посещением сауны или бани, продолжительным присутствием в помещениях с высокими температурами (к примеру, в цехах на производстве).

Демодекс можно обнаружить у большинства взрослых людей, но не во всех случаях он провоцирует развитие болезни.

Частота встречаемости патологии среди женщин и мужчин примерно одинакова.

Носительство предполагает стабильность взаимодействия организма клеща с организмом человека хозяина при условии отсутствия проявлений болезни. Когда механизмы иммунитета перестают справляться с защитой кожи, могут проявляться первые симптомы демодекоза.

Есть ряд внешних и внутренних факторов, которые могут спровоцировать появления признаков болезни

К числу внешних факторов следует отнести:

  • действие высокой температуры воздуха;
  • действие солнечного света;
  • неблагоприятные условия быта и профессиональной деятельности;
  • оперативные вмешательства на зрительный аппарат.

К числу внутренних факторов относятся нарушения иммунных функций из-за патологий таких систем органов, как:

  • сердечно-сосудистая;
  • эндокринная;
  • нервная;
  • пищеварительная.

Демодекоз может развиваться и как следствие нарушения метаболических процессов.

Среди начальных симптомов этой болезни следует отметить такие:

  1. Гиперемия кожных покровов лица, вызванная расширением сосудов микроциркуляторного русла.
  2. Шелушение кожи, появление на ней небольших пузырьков.
  3. Зуд в области бровей и век, который может усиливаться при воздействии тепла.
  4. Чувства пощипывания и жжения, “песка” в глазах.
  5. Чувство тяжести век.
  6. Клейкое и вязкое отделяемое из области уголков глаз, особенно в утреннее время.

Таким образом, демодекоз провоцирует нарушение функциональности сальных желез и желез век.

Между ресницами можно заметить корочки и мелкие чешуйки с сероватым оттенком. Кожа с краю века гиперемирована, железы в устьях расширяются.

Если надавить на уголок глаза при массировании, то появится густое содержимое.

По свободному краю век появляются небольшие гнойнички.

В результате нарушения функциональности желез снижается величина слоя слезной пленки. Возможно развитие такого состояния, как синдром сухого глаза.

Среди кожных проявлений патологии следует отметить сыпь на лице. Поражается кожа в области подбородка, носа и носогубных складок. На кожных покровах заметны эритематозные пятна, телеангиоэктазии, высыпания могут иметь вид папул. Характерны симптомы шелушения и зуда.

Таким образом, ответ на вопрос чешется или нет кожа при демодекозе, является положительным.

При демодекозе не появляется сыпь на теле, также и на конечностях: сыпь на ногах и сыпь на руках для этого заболевания не характерны.

Зуд различной интенсивности можно объяснить патоморфологическими особенностями течения демодекоза. По мере прогрессирования болезни расширяются сосуды и утолщается их стенка, также характерна нейтрофильная и эозинофильная инфильтрация поверхностных слоев кожи. Поэтому и появляется сыпь, фото которой отражают особенности локализации высыпаний при этой болезни. Сальные железы подвергаются гиперпластическим изменениям.

Если появляется зуд

нужно проявлять осторожность и не расчесывать места поражения. При расчесывании высока вероятность вторичного инфицирования гноеродными микроорганизмами. Следует особенно следить за тем, чтобы сыпь у ребенка не подвергалась расчесам. Сыпь у взрослых также вызывает сильное желание “немного почесать”, но лучше перетерпеть, чем потом лечить гнойные патологии кожи.

Субъективные ощущения и жалобы пациентов при развитии демодекоза объясняются такими факторами:

  • повреждение кожных покровов ротовым аппаратом клеща, то есть механическое нарушение целостности кожи;
  • агрессивные свойства слюны демодекса;
  • антигенные свойства веществ, которые образуются после гибели клеща в кожных покровах человека.

Важно, что форм демодекоза различают несколько, они между собой отличаются особенностями клинической симптоматики. Демодекоз бывает:

  • себорейным (эритемо-сквамозным);
  • папулезным и папуло-везикулезным;
  • розеацеаподобным;
  • пустулезным;
  • комбинированным;
  • малосимптомным.

Все эти формы демодекозы встречаются не только в дерматологической, но и в офтальмологической практике. Встречаются случаи изолированного поражения области глаз, когда кожных проявлений в принципе не наблюдается.

Обратите внимание! Демодекс может выступать и в роли носителя микроорганизмов вирусной и бактериальной природы, что усложняет как течение, так и терапевтическую коррекцию болезни.

https://youtube.com/watch?v=NwwFg78Hle4

Поражение глаза в случае демодекоза может быть бессимптомным или малосимптомым. Но чаще наблюдается прогрессирование таких патологий, как блефарит, кератит, иридоциклит, эписклерит.

Как и где можно сдать анализ на клеща демодекс: подготовка и реализация исследования

Исследование на демодекоз проводится непосредственно офтальмологом или дерматологом. При этом диагностика патологии кожи и век отличается:

  1. Диагностика болезни глаз проводится в форме ресничной пробы. Для ее проведения врач удаляет по 4 реснички с нижнего и верхнего века, помещает их на предметное стекло. После этого он заливает их глицерином, бензином или щелочью, накрывает покровным стеклом и исследует под микроскопом.
  2. Диагностика болезни кожи проводится таким образом: дерматолог при помощи скальпеля производит кожный соскоб или же выдавливает содержимое из элементов угревой сыпи. После этого материал наносится на предметное стекло и исследуется.
  3. Метод наклеивание предполагает наложение специальной ленты на участки поражения кожных покровов на ночь. Утром ленту отклеивают и исследуют. Необходимо осуществлять подсчет взрослых особей клеща: если на одном квадратном сантиметре их больше пяти, то врач подтверждает диагноз демодекоза и назначает соответствующее лечение.

Демодекс: лечение кожи лица — серная мазь и другие средства

Лечение кожи должен назначать дерматолог после проведения необходимых исследований для подтверждения диагноза. Курс терапии длительный, обычно он составляет от полутора до двух месяцев.

Основным средством для лечения кожных форм патологии является серная мазь. Этот медикамент относится к группе антисептических и дезинфицирующих средств. В состав серной мази входят такие компоненты:

  • осажденная сера;
  • консистентная эмульсия, состоящая из воды и вазелина.

Мазь выпускают в тубах и банках

Серную мазь при лечении демодекозе следует наносить на кожу в вечернее время, один раз в день, продолжительность лечения определяет врач.

Среди других наружных средств, которые применяются для лечения демодекоза, выделяют следующие:

  1. 1 или 2% ртутная мазь. Обладает выраженным противоклещевым действием. Ее следует применять не дольше 4 недель. Абсолютное противопоказание к применению — беременность.
  2. Цинко-ихтиоловая паста.
  3. Бензилбензоат.
  4. Деготь.
  5. Перметриновая мазь.
  6. Линдан.
  7. Амитразол.
  8. Кротамитон.

Мази для лечения демодекоза должны не только бороться с возбудителем, но и оказывать противовоспалительное действие и снижать секрецию сального секрета кожными железами.

Демодекоз лечение. Как правильно лечить демодекоз на лице.Демодекоз лечение. Как правильно лечить демодекоз на лице.

При терапии демодекоза важно соблюдать регулярность и продолжительность применения назначенных средств. Также следует обратить внимание на такие рекомендации:

  • протирание кожи лица не полотенцами, а одноразовыми салфетками;
  • ежедневная смена постельного белья (по крайней мере, наволочек);
  • стирка личных вещей, которые соприкасаются с кожей лица (шапка, шарф и другие предметы гардероба) не реже раза в двое суток;
  • частая обработка антисептическими средствами таких предметов, как очки, бритва, пинцеты и иные косметические аксессуары;
  • замена пуховых подушек на подушки с синтепоном или холофайбером;
  • временный отказ как от ухаживающей, так и от декоративной косметики;
  • проверка домашних животных на демодекс.

При демодекозе кожи важно правильно за ней ухаживать. Кожные покровы нужно регулярно очищать, а средства для этого может посоветовать дерматолог.

Лечение кожи лица народными средствами

Перед тем, как использовать любое народное средство для лечения демодекоза, необходимо посоветоваться с лечащим врачом. Самолечение может привести к ухудшению состояния.

Среди народных способов лечения этой болезни можно выделить следующие:

  1. Примочки на основе отвара дубовой коры.
  2. Примочки с соком алоэ.
  3. Прием внутрь отвара горькой полыни.
  4. Смазывание пораженных участков кожи настоем чистотела.

Любые народные средства следует использовать с осторожностью и при появлении каких-либо негативных симптомов, связанных с их применением, нужно отказываться от них.

Демодекс лечение век глаз: мази и капли

При демодекозе глаз офтальмолог для коррекции патологии назначает такие препараты (также они эффективны в отношении глаукомы):

Действующие компоненты перечисленных лекарственных средств парализуют мускулатуру демодекса. Также края век необходимо смазывать 4% пилокарпиновым гелем или обрабатывать раствором карбохола: это способствует снижению двигательной активности клеща и полностью парализует его мускулатуру. Кроме того, положительный результат лечения дает применение 2% геля или крема на основе метронидазола.

Обратите внимание! Мази с содержанием гормональных веществ (гидрокортизоновая и другие) снижают активность местного иммунитета. Их применение может привести к увеличению числа клещей в месте поражения, и по этой причине такие препараты не назначаются при лечении демодекоза.

В качестве средств вспомогательной терапии применяются:

  1. При появлении синдрома сухого глаза — препараты искусственной слезы.
  2. Края век можно обрабатывать раствором димексида, а также водным настоем пижмы.

Врач также назначает массаж век для улучшения их функционального состояния. В качестве методов физиотерапевтического лечения применимы:

  • магнитотерапия;
  • электрофорез с димедролом, хлоридом кальция, сульфатом цинка, йодидом калия;
  • Д’Арсонваль.

Комплексный подход к лечению демодекоза ускорит выздоровление. Важно строго следовать рекомендациям врача, соблюдая длительность и регулярность применения методов терапии.

Народные средства от демодекса век глаз

Народные методы лечения для коррекции демодекоза следует применять крайне осторожно. Некорректные рецепты могут спровоцировать ухудшение состояния, повлиять на зрительную функцию, вызвать раздражение глаз. Для лечения можно промывать глаза отварами пижмы или ромашки.

По окончанию терапевтического курса рекомендуется смазывать края век репейным маслом. Это стимулирует рост ресниц и улучшает их состояние.

Кроме всех перечисленных способов коррекции демодекоза кожи и век не стоит забывать и о лечении провоцирующих патологий. Важно своевременно лечить болезни пищеварительной системы, нарушения иммунных функций и обменных процессов. Также необходимо соблюдать диету, отказываясь от острой, соленой, сладкой пищи и спиртного.

Если был обнаружен клещ демодекс, лечение кожи лица и век должно носить комплексный характер. Не исключены рецидивы, поэтому строго рекомендуется проходить полный курс терапии, не пренебрегая продолжительностью применения средств. Если симптомы ушли — это не доказательство того, что лечение уже успешно и его можно прекратить. Внимательное соблюдение всех советов врача поможет успешно избавиться от неприятного заболевания.

Ссылка на основную публикацию
Похожее