Пн-пт: 09:00—20:00; сб: 09:00—16:00 по предварительной записи
whatsapp telegram vkontakte email

Описторхи фото под микроскопом

Описторхоз – это опасное гельминтное заболевание, возбудителем которого является паразит из класса печеночных сосальщиков – описторхис. Взрослая особь описторхи, фото которой наглядно показывает ланцетовидную форму, имеет небольшой размер, и при развитии большой колонии может нанести серьезный вред организму человека.

Онтогенез паразита достаточно длительный, за который он сменяет двух временных носителей, и достигает последнего постоянного – человека или плотоядное животное.

Что такое паразит описторхис

По последним данным статистического учета, в мире от описторхоза страдает около 20 млн человек. Наибольшее количество заболеваний фиксируется в Российских регионах, Азии и СНГ. Цикл онтогенеза паразита включает несколько этапов формирования, длящихся несколько месяцев.

Взрослые половозрелые особи откладывают яйца в последнего носителя, которые затем вместе с каловыми массами выносятся во внешнюю среду.

image

Наиболее благоприятной средой для описторхиса являются пересыхающие водоемы, где обитают различные моллюски Codiella, наиболее подверженные заражению паразитарными инфекциями. Моллюски заглатывают яйца описторхис месте с илом, и становятся первым носителем паразита.

В теле первичного хозяина личинка паразита растет в течение двух месяцев, и приобретает более подвижную форму – цикария.

Далее описторхис покидает первого носителя естественным путем, и проникает в рыбу семейства карповых. Инкубационный период развития в мышечных тканях второго носителя занимает около полугода.

За это время паразит активно растет и переходит в третью фазу жизни, готовую переместиться в последнего носителя – это хищные дикие животные, домашние животные и человек.

Если на протяжении 2-х лет рыба не будет съедена третьим носителем, то она с легкостью избавляется от паразитарной инвазии, и становится не опасной до следующего заглатывания цикарии. Многие инфекционисты и ученые, изучая фото описторхоз паразита населяющего окончательного хозяина, выяснили, что глист может обитать в организме до 30 лет, образуя огромную вредоносную колонию.

image

После многочисленных исследований и диагностик, медиками были установлены места, где локализуется паразит:

  1. Поджелудочная железа – 10%.
  2. Желчный пузырь и его протоки – 30%.
  3. Внутрипеченочные желчные протоки – 60%.

Описторхис является гермафродитной формой жизни, и способен выделять до 900 яиц за 24 часа. Большая часть личинок выделяется с калом, чтобы продолжить жизненный цикл, оставшаяся часть накапливается внутри последнего носителя или погибает.

Патологический вред наносимый паразитом описторхисом

Данный тип глистной инвазии представляет огромную опасность для человека, так как способен нарушить нормальную работу внутренних органов, и привести к тяжелым последствиям. Огромное скопление описторхиса оказывает такое воздействие на носителя:

  1. Инфекционное влияние проявляется в застое желчи и развитии такого заболевания, как гнойный холангит.
  2. Механический вред наносится присосками паразита описторхиса, который прикрепляясь к слизистой стенки органа, засасывает ее в себя, тем самым нарушая кровообращение. Также наносится механический вред слизистым стенкам кутикулярными шипами, расположенными вверхней части тела паразита.
  3. Обтурационное воздействие наносится развитой большой колонией описторхиса, которые заполняют печеночные и желчные протоки, препятствуя естественному оттоку биологической жидкости.
  4. Онкогенный вред наблюдается при хроническом течении болезни. Гельминты изменяют эпителий пораженных органов и вызывают мутагенный эффект.
  5. Аллергия на токсины и продукты жизнедеятельности паразита – один из самых распространенных симптомов, которые позволяют заподозрить инвазию.

image

Многих пациентов интересует, как выглядят описторхи, и какую опасность могут нести паразиты при хронической форме заболевания. Стоит отметить, что мелкий паразит, длиной всего 10-18 мм, способен привести к серьезным заболеваниям, и длительному лечению.

На фоне паразитарной инвазии могут развиться такие болезни:

  • Ахилия – это патологическое нарушение секреции желудка, сопровождающаяся диареей, усиленным газообразованием, отсутствием аппетита, изжогой, тошнотой.
  • Гнойный холангит – воспалительный процесс желчных путей, вызванный блокировкой оттока желчи гельминтами. Проявляется болезнь стремительно, пациент ощущает сильную боль в правом боку, лихорадку и слабость в теле.
  • Холангиокарцинома – это злокачественное образование желчного протока. Достаточно редкая разновидность онкопатологии, и чаще всего диагностируется у женщин старшего возраста.
  • Язвенный гастродуоденит – это воспалительный процесс, который без должного лечения может привести к язве. Распознать недуг можно по характерным симптомам: тошнота, рвота, отсутствие аппетита, кал с примесями крови.
  • Диффузное изменение печени не является диагнозом, и развивается на фоне первичного заболевания. Изменение ткани и эпителия печени проявляется болезненностью в правом боку, нарушением стула, горьким привкусом пищи, неприятным запахом изо рта.
  • Желчный перитонит – это воспаление желчного пузыря, которое сопровождается сильнейшими болями в брюшной области. При перитоните у больного падает артериальное давление, начинается тахикардия, кожные покровы бледнеют.
  • Острый панкреатит – это асептическое воспаление поджелудочной, которое сопровождается сильными и резкими болями в животе, повышенной температурой, желтушностью кожных покровов, изжогой, тошнотой.
  • Цирроз печени – это хроническое заболевание, которое может развиться при длительной описторхозной инвазии. Болезнь имеет несколько степеней тяжести, и нуждается в грамотном лечении.
  • Рак печени –злокачественное образование нарушающее работу органа, сопровождается такими клиническими симптомами: потеря веса, изменение стула, частые диареи, постоянная слабость и снижение работоспособности, тянущие боли правого подреберья.

image

Заболевание описторхоз у человека по фото определить сложно, однако оно может сопровождаться тяжелыми симптомами при острой инвазии, и привести к опасным болезням при хроническом течении. Чтобы избежать заражения, необходимо придерживаться определенных мер профилактики при приготовлении речной рыбы.

Как обезопасить себя от заражения

Глистная инвазия данного типа не передается контактно-бытовым путем, поэтому больной описторхозом не является источником инфекции. Инфицирование гельминтами описторхис происходит только при употреблении рыбы и речных моллюсков.

Ликвидировать очаг инфекции можно путем правильной термической обработки и глубокой заморозки рыбных продуктов.

Правила приготовления рыбы семейства карповых:

  1. Варить рыбу нужно небольшими кусочками в подсоленной воде, не менее 20 минут.
  2. Запекать рыбные пироги нужно не менее часа, при температуре 220 градусов.
  3. Жарить рыбу нужно предварительно разделав на порционные кусочки, в достаточном количестве масла, по 10 минут с каждой стороны.
  4. Солить рыбу нужно не менее 14 дней. На 2 кг рыбы берется не менее 1 кг соли.

Малосоленая рыба, копченая любым способом или вяленая может стать источником заражения описторхозом, так как не подвергается необходимой обработке. Если необходимо подвергнуть продукт одному из таких способов приготовления, рекомендуется предварительно заморозить рыбу:

  • Заморозка мяса при температуре -40 градусов позволяет полностью устранит источник заражения за 7 часов.
  • При температуре -30…-35 градусов рыбу нужно продержать на протяжении 15 часов.
  • Заморозка -28 градусов помогает устранить описторхис за полтора суток.

Обычные бытовые морозильные камеры недостаточно мощные для уничтожения паразита, поэтому в домашних условиях надеяться можно только на обработку горячими температурами.

Отдельного внимания заслуживают предметы, используемые при разделке рыбы, так как личинки и мелкие паразиты могли распространиться по разделочной доске, остаться на руках или столе. Обработать поверхности можно спиртовыми жидкостями, просветить ультрафиолетовой лампой и прокипятить.

Как определить заражение описторхозом

image

В среднем, инкубационный период описторхиса составляет 14-20 дней, за которые паразит дорастает до половозрелой особи, способной к размножению. У пациентов заразившихся впервые, чаще всего наблюдаются острые признаки инвазии:

  1. Легкая острая форма: дискомфорт в области ЖКТ, периодически редкий стул, слабость, температура тела 37.5 градусов.
  2. Средняя форма тяжести: постоянная тошнота и периодическая рвота, аллергические проявления на коже, слабость и мышечные боли, температура тела 39 градусов.
  3. Тяжелая фаза: заторможенность, поражение печени, желтушность кожи, постоянная рвота, боль в животе, диарея, трудно сбиваемая температура.

Многие пациенты интересуются, как выглядит описторхоз в человеке при хронической форме недуга. Хроническая стадия протекает годами, и спустя 10-20 лет может обернуться тяжелыми хроническими болезнями.

Пациенты с хроническим описторхозом отмечают постоянную утомляемость, головные боли, нарушение сна, ночную потливость, тремор рук и век, кожную аллергию.

Природноочаговая инфекция описторхоз достаточно часто имеет схожие симптомы с такими заболеваниями, как гастрит, дисбактериоз, ОРВИ и панкреатит. Определить наличие возбудителя в организме поможет только диагностика, проведенная в медицинском учреждении.

Своевременное обнаружение возбудителя поможет быстро и легко устранить источник инфекции, и избежать тяжелых последствий, многие из которых необратимы.

Описторхоз. Эфир 25.04.2015Описторхоз. Эфир 25.04.2015

Выявление яиц описторхов в фекальных массах является единственным основным достоверным методом («золотым» стандартом), подтверждающим наличие заболевания у больного. Диагностика описторхоза на ранних этапах заболевания затруднена, так как яйца паразитов появляются в фекальных массах спустя 4 — 6 недель после заражения.

Описторхоз является паразитарным заболеванием, причиной которого являются черви рода Opisthorchis — Opisthorchis viverrini и Opisthorchis felineus (сибирская или кошачья двуустка, кошачий сосальщик), принадлежащие к классу трематод (сосальщиков). Гельминты проникают в организм человека и плотоядного животного при поедании термически слабо обработанной, сырой или соленой рыбы семейства карповых. Токсины паразитов вызывают у человека острый аллергоз (аллергическую реакцию), сами паразиты поражают желчный пузырь, желчевыводящие пути и протоки поджелудочной железы путем механического воздействия. Скопление яиц описторхов приводит к обтурации ходов, в результате чего затрудняется отток желчи и панкреатических соков.

Отсутствие специфических клинических признаков затрудняет диагностику описторхоза. Факторы принадлежности к коренным народностям Севера, пребывание в очагах описторхоза и употребление в пищу недостаточно термически обработанной, сырой или слабосоленой рыбы семейства карповых окажут существенную помощь в распознании заболевания.

Рис. 1. На фото описторхи фелинеус.

Рис. 2. Описторхи, выращенные в лабораторных условиях.

Диагностика описторхоза с применением микроскопического метода

Обнаружение яиц описторхов в кале является «золотым» стандартом диагностики описторхоза. Яйца паразитов можно обнаружить в кале, дуоденальном содержимом и желчи. Однако следует учитывать ряд обстоятельств:

  • яйца паразитов появляются в фекальных массах спустя 4 — 6 недель после заражения;
  • из-за непостоянной продукции яиц описторхами для проведения анализа следует брать несколько образцов кала;
  • в кале могут встречаться «транзитные» яйца — попавшие в кишечник при поедании зараженной паразитами печени. Они не развиваются, а вместе с фекальными массами выводятся наружу.

При исследовании кала на наличие яиц описторхов применяются методы обогащения, с помощью которых достигается увеличение концентрации яиц паразитов на поверхности жидкости или в осадке (метод Калантарян, Фюллеборна, Красильникова, Бермана, метод закручивания по Шульману). При выявлении яиц описторхов применяется метод простой микроскопии и толстого мазка (метод Като).

При получении отрицательных результатов исследование фекалий повторяются несколько раз с интервалом 5 — 7 дней.

Рис 3. Емкости для сбора кала на анализ. Емкости для сбора кала на анализ.

Рис. 4. Обнаружение яиц описторхов в кале является «золотым» стандартом диагностики описторхоза.

Рис. 5. Множественные яйца в матке описторхиса (стеклопрепарат).

Оценка интенсивности инвазии

После выявления яиц паразитов проводится подсчет числа яиц, для чего используется метод Столла — определение числа яиц в 1 грамме каловых масс.

  • менее 1000 яиц в 1 гр. фекалий — слабая интенсивность инвазии;
  • от 1 до 5 тыс. яиц — средняя степень интенсивность инвазии;
  • 5 тыс. и более — высокая степень интенсивность инвазии.

При крайне тяжелом течении описторхоза количество яиц паразитов может превышать 30 тыс. в 1 грамме фекальных масс.

При низкой интенсивности инвазии больному назначаются желчегонные препараты или слепое зондирование. Провокационным фактором повышенного выделения яиц паразитов с каловыми массами является противопаразитарное лечение.

Рис. 6. Описторхи фелинеус в кале.

Диагностика описторхоза с применением микроскопии дуоденального содержимого

В случае, когда при микроскопии кала яйца описторхов не обнаруживаются, с целью диагностического материала используется содержимое, полученное при дуоденальном зондировании. Исследование необходимо провести в первые два часа после получения материала. При более длительном хранении в дуоденальном содержимом происходит лизис яиц. Исследуются на обнаружение яиц все порции материала — А, В и С.

Рис. 7. Яйца описторхов фелинеус. Оболочка яиц тонкая, хорошо очерченная. На одном из полюсов яиц имеется «крышечка», на другом конце — бугорок (выступ скорлупы).

Анализ крови на описторхоз

При описторхозе продукты жизнедеятельности паразитов вызывают сенсибилизацию организма человека и развитие выраженных аллергических реакций. О развитии острого аллергоза говорит повышенный уровень эозинофилов в крови. Эти клетки крови поглощают и связывают гистамин и другие медиаторы аллергии и воспаления, активно участвуют в формировании противопаразитарного иммунитета.

Эозинофилия возникает с первых дней развития заболевания, постепенно нарастает и к 18 — 30 дню достигает максимума, составляя от 60 до 90%. Далее количество эозинофилов в крови постепенно снижается. При хроническом описторхозе уровень эозинофилия снижается до 5 — 12%. При тяжелом описторхозе процесс снижения количества эозинофилов продолжается не один месяц.

При описторхозе в крови повышается количество лейкоцитов и СОЭ. У детей часто развивается анемия.

При нарушении функции печени повышается уровень билирубина, щелочной фосфатазы, сулеймовой и тимоловой проб, сывороточных трансаминаз (АЛТ и АСТ), понижается уровень сывороточного альбумина.

При нарушении функции поджелудочной железы повышается содержание глюкозы в сыворотке крови утром натощак, снижается уровень трипсина, липазы и амилазы в дуоденальном содержимом, повышается их уровень в сыворотке крови, повышается уровень диастазы в моче.

В половине случаев описторхоза снижается кислотность желудочного сока.

Рис. 8. На фото слева эозинофил под микроскопом. На фото справа скопление эозинофилов.

Рис. 9. На фото скопление эозинофилов в тканях больного.

Диагностика описторхоза с применением иммунологических методов

Иммунологические методы диагностики позволяют выявлять антитела в крови, которые вырабатываются организмом больного в ответ на инвазию описторхов.

  • В острую фазу описторхоза в крови больного отмечается повышение уровня иммуноглобулинов IgM, обеспечивающих первичную иммунную реакцию. Со временем их уровень понижается.
  • При хроническом описторхозе в крови больных повышается уровень иммуноглобулинов IgG, обеспечивающих длительный иммунный ответ.

При описторхозе из иммунологических методов применяется иммуноферментный анализ (ИФА). Его диагностическая ценность довольно высока. У больных описторхозом в острую фазу результативность ИФА достигает 90%, в хроническую фазу — 51,6%.

Отрицательной стороной иммунологических методов исследования является получение ложноположительных и ложноотрицательных результатов. Поэтому через 1 — 1,5 месяцев после обнаружения повышенного уровня IgM рекомендуется провести исследование на выявление яиц паразитов в дуоденальном содержимом. При выявлении повышенного уровня IgG исследование дуоденального содержимого проводится сразу.

Точно не установлено как долго антитела сохраняются в крови после излечения описторхоза, поэтому судить о выздоровлении человека на основании результатов, полученных при иммунологическом исследовании нельзя.

Окончательный диагноз описторхоза устанавливается только на основании результатов паразитологического исследования.

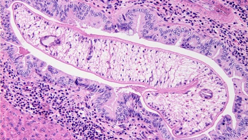
Рис. 10. Множество паразитов в желчных протоках (фото слева). На фото справа описторх с помощью присосок фиксирован к стенке желчного пузыря и втягивает ее.

Рис. 11. На фото отчетливо видны три описторха в желчном протоке печени (стеклопрепарат).

Одной из форм паразитарных заболеваний является описторхоз. Возбудителем болезни считаются черви – описторхи. Инфицирование человека происходит во время поедания зараженной речной рыбы. Зная симптомы описторхоза у человека (смотри фото далее) можно своевременно начать лечение и избежать развития опасных последствий.

Кто является возбудителем?

Возбудителем описторхоза являются ленточные черви – описторхи.

Как выглядят описторхи?

Данные паразиты являются гермафродитами. Внешне это плоский червь, достигающий в длину 20 мм. На теле паразита имеется брюшная присоска, перед которой находится половое отверстие. Спереди размещена ротовая присоска.

Описторхи разделяют на следующие виды:

У человека могут встречаться оба вида, на фото паразитов видно, что у них схожее строение.

Единственным отличием между данными видами является ареал распространения. Описторхи виверры обитают на Юго-Востоке Азии, а описторхи фелинеус встречаются на территории России, Европы, Казахстана.

Жизненный цикл описторхов

Описторхи являются ленточными червями и проходят 3 этапа развития:

  1. Начальный этап – яйца, размещенные в иле.
  2. Промежуточными хозяевами являются улитки либо моллюски, которые заглатывают яйца. Через 2 месяца последние превращаются в личинки, имеющие хвостик. Они способны передвигаться. Покидая тело моллюсков, личинки попадают в рыбу, где они паразитируют, покрываясь оболочкой.
  3. Третья стадия происходит в теле человека. Человек заражается, съев мясо инфицированной рыбы. Оболочка паразита разрушается под воздействием желудочного сока. Описторх, освободившись, начинает откладывать яйца. За сутки паразит способен отложить около 900 яиц.

Что такое описторхоз

Проникая в организм конечного хозяина, описторхи, провоцируют развитие такого недуга, как описторхоз. Передвигаясь по желчным ходам и фиксируясь в них, глисты нарушают циркуляцию крови. Кроме того, молодые паразиты шипами повреждают стенки протоков.

Скопление глистов и яиц приводит к застою желчи, а также кистозному расширению желчных протоков. Выделяя продукты жизнедеятельности паразитарные черви вызывают возникновение аллергических реакций и разных расстройств.

Способы инфицирования

Ученые доказали, что заражение человека описторхозом происходит только через употребление пресноводной рыбы. Поэтому, в профилактических целях не рекомендуется вылавливать рыбу в загрязненных водоемах. Незаметные глазу возбудители описторхоза глисты способны оказать пагубное влияние на здоровье человека.

Формы описторхоза

В зависимости от пораженного недугом органа выделяют последующие виды описторхоза:

  1. Бронхолегочный. Характеризуется развитием пневмонии, бронхиальной астмы и бронхита.
  2. Гепатохолангетический. Паразит поражает печень, а также желчные протоки.
  3. Гастроэнтерологический. Протекает с возникновением язв в двенадцатиперстной кишке и желудке. Характеризуется развитием эрозивного гастрита и гастроэнтероколита.
  4. Тифоподобный. Заболевание протекает с очень высокой температурой тела, лихорадкой. Возникает кожная сыпь.

Холангит является обязательным проявлением описторхоза в печени (на фото).

Проявления заболевания

Поскольку описторхоз вначале способен протекать без явно выраженных симптомов, диагностика недуга затруднена.

Первые проявления инфицирования:

  • незначительное повышение температуры;
  • слабость и недомогание;
  • повышенное потоотделение.

Позднее начинают проявляться последующие признаки:

  • тошнота и рвота;
  • повышенная сонливость, нервозность;
  • диарея;
  • боль в мускулах;
  • аллергические высыпания на кожных покровах;
  • острая боль справа;
  • утомляемость.

В запущенных формах температура тела может подняться выше 39 градусов.

Развитие описторхоза сможет спровоцировать формирование последующих патологий:

  1. Воспаление и перфорация желчного пузыря.
  2. Воспаление протоков печени.
  3. Острый панкреатит.
  4. Цирроз.
  5. Злокачественные новообразования печени и поджелудочной железы.

К сожалению, после выздоравливания у пациента остаются последствия. Это может быть гастрит, панкреатит или другие патологии.

Диагностирование

Перед постановкой диагноза доктор проводит опрос больного, узнает, употреблял ли он пресноводную рыбу. Проведя внешний осмотр, доктор проводит пальпацию для определения размера печени.

Для уточнения диагноза назначаются следующие мероприятия:

  • анализ фекалий для выявления глистов. Сдается несколько раз;
  • анализ крови;
  • эндоскопическое исследование;
  • УЗИ печени, а также желчного пузыря;
  • зондирование и исследование желчи на присутствие яиц паразитов.

Выявление описторхи в кале видно на фото.

По результатам анализов врач ставит диагноз и определяет методику лечения.

Лечение описторхоза

Недуг нуждается в комплексном и незамедлительном лечении. Наряду с медикаментозным лечением описторхоза у взрослых можно применять народные средства.

Медикаментозное лечение

Основным медикаментом, способным побороть паразитов считается препарат «Празиквантел». Дозировку и длительность терапии определяет только врач. Больному прописан постельный режим. Лекарство не назначают людям, с патологиями головного мозга.

Кроме того, для снятия признаков глистной инвазии назначают препарат «Экорсол». Данное лекарство считается вспомогательным.

Все лечение контролирует врач. Регулярно проводится исследование кала и желудочного содержимого на наличие паразитов и их яиц.

Народные средства для лечения

Для вспомогательного лечения и в целях профилактики применяют народные методы:

  1. Измельчить тыквенные семена и смешать с медом. Употреблять по утрам на голодный желудок, а потом на правый бок положить грелку.
  2. Настой из осиновой коры. В термосе залить 25 г высушенного сырья 0,5 л кипятка. Дать настояться несколько часов. Пить перед приемом пищи трижды в день.
  3. Измельчить чистотел и смешать с сахаром и сывороткой. Настаивать 14 дней. Употреблять до еды трижды в день.

Главным аспектом во время лечения описторхоза является правильное питание. Необходимо отказаться от жирной и острой пищи. Добавить в рацион свежие овощи, фрукты, соки.

Следует помнить, что инфицирование описторхозом может повлечь за собой опасные последствия. Поэтому при появлении малейших признаков заражения следует обратиться к доктору и начать своевременное лечение.

Паразиты в теле человека: описторхозПаразиты в теле человека: описторхоз

Ссылка на основную публикацию
Похожее