Пн-пт: 09:00—20:00; сб: 09:00—16:00 по предварительной записи
whatsapp telegram vkontakte email

Урок по биологии туберкулез

Цели:

  • продолжить воспитание ответственного отношения к своему здоровью и здоровью окружающих людей;
  • познакомить детей с историей туберкулёза, причинами его возникновения и мерами предупреждения данного заболевания;
  • привлечь внимание детей к проблемам людей, больных туберкулёзом;
  • помочь в осознании ими необходимости личного вклада каждого человека в сохранение здоровья своего и нации в целом.

Участники: ведущий, историк, биолог, врач

Ведущий: Что такое туберкулёз? Предоставим слово биологу.

Ведущий: Как происходит заражение туберкулёзом? Какие основные признаки этого заболевания? Как предупредить туберкулёз? На эти вопросы нам подробно ответит врач.

  • Социальная профилактика – раннее выявление больного туберкулёзом (флюорография, прививки) ;
  • Санитарная профилактика – гигиенические меры по обезвреживанию микробактерий, которые выделяет больной (проводятся в диспансерах и больницах);
  • Лечебная профилактика – меры направленные на оздоровление больных туберкулёзом, на то, чтобы они перестали быть источником инфекции (назначение специальных лекарств, операции);
  • Профилактическая вакцинация БЦЖ (новорождённым);
  • Индивидуальная профилактика – закаливание, гигиенический режим, усиливающие общую сопротивляемость организма; физкультура и спорт, водные процедуры, правильное чередование труда и отдыха, достаточно калорийное и богатое витаминами питание, отказ от вредных привычек (курения, употребления алкоголя).

Надо обязательно помнить, что своевременно выявленный туберкулёз можно полностью вылечить. Лечение – долгий процесс, занимающий до 1 года. Но при этом не обязательно лежать в больнице. Часть лечения может проводиться амбулаторно под наблюдением медицинского работника. Начатое лечение нельзя самостоятельно прерывать, иначе это может привести к развитию устойчивой к антибиотикам формы заболевания, которую излечить очень сложно, а иногда невозможно. Если люди с признаками туберкулёза не лечатся, то через 5 лет 50% таких больных неизбежно умрут, а остальные станут инвалидами.

image

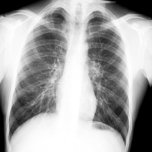
Туберкулез Школьный доклад к теме инфекционные болезни лёгких 6 класс

Туберкулез — инфекционная болезнь, чаще всего поражающая лёгкие, реже другие органы. Он распространен практически повсеместно. Им болеют не только люди, но и животные.

Возбудитель — микобактерия туберкулеза. Передаётся воздушно-капельным путем при кашле, чихании, разговоре.

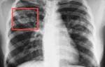
Симптомы Туберкулез Школьный доклад

Различают открытую и закрытую формы легочного туберкулеза.

Больные открытой формой опасны для окружающих, т. к. выделяют микобактерии туберкулеза в окружающую среду. И становятся источником заражения для окружающих. Больные закрытой формой бактерии во внешнюю среду не выделяют и заразить никого не могут.

До середины 20 века люди часто умирали от туберкулеза. Но после изобретения антибиотиков ситуация стала меняться, врачи научились успешно лечить туберкулез. И сейчас в нашей стране смерть от туберкулеза — редкость. Такое происходит в самых запущенных случаях.

Уровень заболеваемости туберкулезом зависит от климатических условий и уровня жизни населения: от характера питания, условий жизни и труда. В станах с жарким климатом туберкулезом болеют меньше, чем с холодным климатом — больше. В бедных, развивающихся странах туберкулезом болеют больше, в развитых странах — меньше.

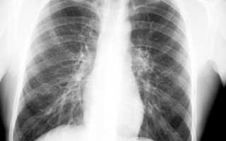
Тубинфицированность Туберкулез Школьный доклад

image

По официальным данным примерно треть населения земного шара тубинфицирована. Но большинство взрослых людей обладает достаточным иммунитетом, чтобы не дать развиться заболеванию. Состояние, когда организм человека инфицирован микобактерией туберкулеза, а болезнь не развивается называется: тубинфицированность. Такое состояние ничем не проявляется. И выявить его можно только с помощью специальных тестов, например, реакции Манту. Но это не означает, что тубинфицированность человеку ничем не грозит.

Настоящий туберкулез, как болезнь с поражением легких, развивается приблизительно у каждого десятого инфицированного. Развитию болезни способствуют: курение, алкоголизм, неправильное питание (особенно голодание), недосыпание, стрессы, малоподвижный образ жизни, недостаточное пребывание на свежем воздухе, хронические заболевания, особенно легких.

Профилактика Туберкулез Школьный доклад к теме Инфекционные болезни

Для того, чтобы не допустить развития запущенных форм туберкулеза, в нашей стране все взрослые и подростки 15 лет и старше 1 раз в 2 года обязательно проходят флюорографию или рентгенологическое обследование легких.

Среди детей до 15 лет тубинфицированность гораздо встречается гораздо реже, чем среди взрослых. Причем, чем младше дети, тем реже у них встречается тубинфицированность. Но если микобактерия туберкулеза попала в организм ребенка — вероятность развития болезни у него тем больше, чем младше ребенок. У маленьких детей туберкулёз протекает значительно тяжелее, чем у взрослых.

Чтобы защитить совсем маленьких детей от этой опасной болезни — новорожденным детям на третьи сутки после рождения прямо в род. доме делается прививка БЦЖ. Она не защищает детей от туберкулеза на 100%, но предотвращает развитие у них наиболее тяжёлых, распространенных, молниеносных форм болезни.

Начиная с 1 года до 15 лет всем детям ежегодно делают реакцию Манту. Это не прививка, а проверочная реакция на присутствие в организме микобактерии туберкулеза. С помощью неё можно отследить момент, когда в организм ребенка впервые попала микобактерия туберкулеза, чтобы вовремя провести обследование и профилактическое лечение и не дать болезни развиться.

Лечат туберкулез в специализированных стационарах и санаториях противотуберкулезными антибиотиками. Но любую болезнь легче предупредить, чем лечить.

Поэтому, нужно правильно питаться, принимать витамины, а также соблюдать режим дня, регулярно гулять на свежем воздухе, заниматься спортом, высыпаться и регулярно делать реакцию Манту или флюорографию. Кроме этого, детям следует вовремя делать прививки.

  1. Волосы Школьный доклад 5 классВолосы Школьный доклад ЗОЖ (Здоровый образ жизни) 5 класс.
  2. Цитрусовые Школьный доклад 5 классЦитрусовые Школьный доклад по ЗОЖ (здоровому образу жизни) 5 класс.
  3. История зубной пасты Школьный доклад 5 классИстория зубной пасты Школьный доклад ЗОЖ 5 класс.
  4. Пчелы Школьный доклад к теме Пищевые цепочкиПчелы Школьный доклад к теме Пищевые цепочки Роль животных в природе Окружающий.
  5. Первая помощь при переломах Школьный докладПервая помощь при переломах Школьный доклад. ЗОЖ. 5 класс.

image

Что такое туберкулез, причины возникновения, профилактика этого заболевания

Скачать:

Вложение Размер
tuberkulez.ppt 1.07 МБ

Подписи к слайдам:

ТУБЕРКУЛЕЗ Выполнила: Малышева Людмила Николаевна

Туберкулез: угроза для всей планеты

Всемирный день борьбы с туберкулёзом Ежегодно 24 марта проводится Всемирный день борьбы с туберкулёзом . Именно 24 марта 1882 года Роберт Кох объявил об открытии возбудителя, что дало возможность изучать палочку дальше и находить способы борьбы с ней. К сожалению, проблема туберкулёза все еще актуальна.

Немецкий ученый Роберт Кох известен прежде всего своим открытием туберкулёзной палочки По-другому её называют палочка Коха , а по научному микобактерия туберкулёза .

В отличие от других микробов, микобактерия туберкулеза чрезвычайно живуча: отлично себя чувствует и в земле, и в снегу, устойчива к воздействию спирта, кислоты и щелочи. Погибнуть она может лишь под длительным воздействием прямых солнечных лучей, высоких температур и хлорсодержащих веществ. Какими свойствами обладает возбудитель туберкулеза?

Какими свойствами обладает возбудитель туберкулеза? При температуре +23 градуса бактерии остаются жизнеспособными до 7 лет, в высохшей мокроте — до 1 года, на страницах книг- до 6 месяцев, на одежде и белье больного — до 4 месяцев.

Туберкулез — распространенное , инфекционное заболевание , возбудителем которого является микобактерия туберкулеза ( МБТ ). Туберкулез — одна из самых распространенных инфекций в мире. Что такое туберкулез?

Что такое туберкулёз? Туберкулёз — это заболевание, возбудителем которого является бактерия Mycobacterium tuberculosis (бацилла Коха). Обычно инфекция атакует легкие. У людей с ослабленным иммунитетом и у детей туберкулёз может протекать в особо тяжелых формах. Туберкулёз передается воздушно-капельным путем (тесный контакт, чихание, кашель и т.д.). В некоторых случаях инфицированный человек не болеет до тех пор, пока не ослабеет его иммунитет: у бактерий появляются благоприятные условия для размножения. Поэтому человек может заболеть спустя месяцы и даже годы после контакта с источником инфекции.

Туберкулез — важнейшая социальная и медицинская проблема Что такое туберкулез? Заболеваемость Смертность

Заболевание туберкулезом Около 9 миллионов новых случаев заболевания туберкулезом случается по всему миру ежегодно. Около 20 миллионов людей болеют туберкулезом ежегодно. Около 2 миллионов человек умирают от туберкулеза ежегодно.

Другие части тела, которые могут быть затронуты туберкулезом ПОЗВОНОЧНИК МОЗГ ПОЧКИ

Туберкулез может поражать различные органы и ткани человека (12 — 17%): глаза, кости, кожу, мочеполовую систему, кишечник и т.д. Тогда туберкулез называется внелегочным, но чаще всего встречается туберкулез легких (83 — 88 %). Цирротический туберкулез легкого Милиарный туберкулез Что происходит

Виды туберкулёза Туберкулёз лёгких Туберкулёз кожи

Виды туберкулёза Туберкулёзная волчанка Лёгкие курильщика

2 стадии туберкелеза ИНФЕКЦИЯ ЗАБОЛЕВАНИЕ

Туберкулезная инфекция Микроб пассивен, но все еще жив. Он окружен иммунной системой организма. Человек не болен и не заразен.

Заболевание туберкулезом Если у человека ослабленная иммунная система, то микроб становится активным. Это может повлечь за собой заболевание человека и распространение его на других.

Как происходит заражение Основной источник инфекции — больной открытой формой, у которого в капле мокроты содержится до 2 — 3 миллионов микобактерий Реже заражение наступает при употреблении в пищу молочных продуктов от больных туберкулезом животных. Заражение возможно через предметы обихода больного, при поцелуях, при докуривании чужих сигарет, отмечено также внутриутробное заражение плода у больных беременных женщин.

1. Аэрогенный : (при вдыхании воздуха) • воздушно-капельный (при чихании и кашле); • воздушно-пылевой (в запыленных помещениях, где находился больной). 2. Контактный (через предметы быта). 3. Пищевой (при употреблении в пищу зараженных продуктов питания). Пути заражения микобактериями туберкулеза

Кто болеет туберкулезом?

Заболевание, которое распространяется от человека к человеку через воздух. Микробы попадают в воздух, когда больной туберкулезом выдыхает. Затем и другие люди могут вдохнуть эти микробы. Туберкулез не распространяетя через:

Основные клинические проявления туберкулеза длительный кашель слабость мокрота истощение, снижение веса кровохарканье потливость в ночное время боль в груди

Любой может заразиться туберкулезом, однако некоторые люди подвержены более высокому риску: Часть населения, подверженная повышенному риску : Люди, приехавшие из стран, в которых распространен туберкулез. Люди, живущие и работающие в многолюдных местах. Алкоголики и наркоманы. Люди с ВИЧ инфекцией. Люди с другими медицинскими проблемами. Болеющие туберкулезом

Факторы, способствующие заболеванию туберкулезом: неблагоприятные социальные и экологические условия жизни; неполноценное питание; алкоголизм, курение, наркомания; снижение иммунитета; стрессы; наличие сопутствующих заболеваний (диабета, язвенной болезни желудка или 12-перстной кишки, заболеваний легких).

Болезнь развивается лишь у 15% процентов лиц, заразившихся микобактерией туберкулеза. Главной причиной этого является снижение иммунитета. К факторам, снижающим уровень иммунитета, относятся: простудные заболевания, грипп, инфекционные заболевания (ветряная оспа, корь, коклюш), хронический бронхит, бронхиальная астма, сахарный диабет, язвенная болезнь желудка и двенадцатиперстной кишки. СПИД, применение гормональных препаратов для лечения других заболеваний, неполноценное питание, злоупотребление алкоголем и наркотиками, курение, физическое перенапряжение. Что происходит?

Что происходит? Палочка Коха попадает в человеческий организм и приводит к изменению состояния иммунной системы. При активной форме туберкулеза палочка Коха быстро размножается в легких больного и питается человеческими тканями, разрушая легкие, отравляя организм человека продуктами своей жизнедеятельности. Вместе с кровью и лимфой она может распространяться по всему организму.

Быстрая утомляемость и появление слабости. Снижение или отсутствие аппетита, потеря в весе до 5 -10 кг. Повышенная потливость, особенно по ночам. Появление одышки при небольших физических нагрузках. Незначительное повышение температуры до 37 — 37,5 градусов. Кашель или покашливание с выделением мокроты, возможно с кровью. Как распознать?

Что делать при появлении признаков заболевания? При появлении первых признаков заболевания самолечением заниматься нельзя, следует как можно скорее обратиться к врачу за медицинской помощью

Диагностика При выявлении подозрения на заболевание туберкулезом все подозреваемые направляются на консультацию к врачу-фтизиатру . Чем меньше времени прошло с момента выявления заражения туберкулезом тем выше вероятность того, что заболевание будет выявлено своевременно. Поэтому фтизиатром должны быть осмотрены все направленные на консультацию лица в течение 10 — 14 дней с момента установления у них инфицирования туберкулезом. Заподозрить и выявить туберкулезный процесс можно следующими основными методами: 1. при проведении проб Манту, 2. ФЛГ обследовании, 3. при исследовании мокроты на наличие бактерий.

Прививка от туберкулёза. Её эффективность Туберкулёз убивает больше людей в мире, чем любая другая инфекция. По современным оценкам в наше время туберкулёзом заражено примерно 1,6 млрд. людей во всем мире. Прививка от туберкулёза является одним из средств профилактики этой опасной болезни. Сразу отметим, что прививка от туберкулёза не предоставляет стопроцентной защиты от данной инфекции, однако это единственное доступное средство профилактики туберкулёза, существующее на данный момент.

Диагностика Если зараженный человек не заболевает сразу, то он становится носителем инфекции. Это можно выявить только с помощью пробы Манту . Реакция на пробу Манту считается положительной при формировании инфильтрата (папулы) диаметром 5мм и более .

Диагностика Для выявления заболевания кроме пробы Манту проводят флюорографическое обследование (ФЛГ) органов дыхания, которое позволяет обнаружить ранние стадии туберкулеза легких. Этот метод диагностики совершенно безвреден при одно — двукратном исследовании в течение года, доза рентгеновского облучения очень мала.

Лечение Всех пациентов с выявленным туберкулезом можно вылечить, главное — делать это правильно. Лечение должно быть непрерывным и обязательно должно проводиться одновременно несколькими противотуберкулезными препаратами. Каждое из 4 — 5 лекарств, которые больной принимает ежедневно в течение 6 месяцев, по разному воздействует на палочки Коха, и только совместное их применение может достичь цели — окончательно ее уничтожить.

Лечение Для качественного излечения одних противотуберкулезных лекарств недостаточно. Больным также прописывают физиотерапию, дыхательную гимнастику и препараты, поднимающие иммунитет. Неправильное лечение превращает легко излечимую форму болезни в трудно излечимый лекарственно-устойчивый туберкулез. Хирургическое лечение — удаление части легкого — применяется лишь в запущенных случаях туберкулеза. При отсутствии лечения смертность от активного туберкулеза доходит до 50 % в течение одного — двух лет. В остальных случаях туберкулез переходит в хроническую форму. Хронический больной живет дольше, продолжая выделять микобактерии и заражать окружающих.

Чтобы уменьшить вероятность заражения окружающих, человек, больной активным туберкулезом, должен придерживаться определенных правил: прикрывать рот платком или рукой и отворачиваться при кашле; сжигать бумажные носовые платки немедленно после употребления; пользоваться отдельной посудой и не позволять пользоваться ей другим . Профилактика

Избегайте всего, что может ослабить защитные силы Вашего организма. Берегите свое здоровье. Соблюдайте режим труда, отдыха и питания. Регулярно занимайтесь спортом. Больше находитесь на свежем воздухе. Не курите, не позволяйте курить другим в Вашем окружении. Не злоупотребляйте алкоголем, наркотиками. Чаще проветривайте помещения, где находитесь (класс, квартира и др.). Систематически проводите влажную уборку помещений. Обязательно соблюдайте личную гигиену (мытье рук после возвращения с улицы, из транспорта, из туалета и перед едой). Пользуйтесь индивидуальной посудой и средствами гигиены. Держитесь подальше от кашляющих людей. Как защитить себя от заражения туберкулезом?

Что нужно делать, чтобы не заболеть туберкулезом? Своевременно проходить флюорографическое обследование членам семьи с 15 летнего возраста. Своевременно прививать ребенка от туберкулеза. Ежегодно делать пробу Манту, а подростку еще и флюорографическое обследование легких. Не затягивать визит к фтизиатру, если ребенка направили. Своевременно проводить назначенное обследование, а при необходимости и лечение. Правильно питаться, достаточно времени проводить на свежем воздухе, заниматься физической культурой, спортом, закаливать ребенка. Соблюдать правила гигиены.

Согласно рекомендациям Всемирной Организации Здравоохранения (ВОЗ), иммунизацию вакциной БЦЖ считают одной из наиболее важных мер по предупреждению туберкулеза

ПОМНИТЕ Туберкулез сейчас представляет серьезную опасность для населения. Ежегодно увеличивается количество людей заболевших туберкулезом и умерших от него. Подумайте о сохранении своего здоровья и окружающих Вас людей.

ПОМНИТЕ Посещайте флюорографический кабинет не реже 1 раза в год. Не препятствуйте проведению противотуберкулезных мероприятий и не отказывайтесь от противотуберкулезных прививок.

Существуют тысячи болезней, но здоровье бывает только одно. (Карл Людвиг Берне)

24 марта – Всемирный день борьбы с туберкулезом Символ борьбы с туберкулезом – ромашка

Всемирный день борьбы с туберкулезом отмечается 24 марта

по решению Всемирной организации здравоохранения ВОЗ) память того дня, когда в 1882 году немецкий микробиолог Роберт Кох объявил о сделанном им открытии возбудителя туберкулёза.

Что такое туберкулез?

Туберкулез (чахотка) — это инфекционное заболевание, вызываемое микобактериями туберкулеза, которые часто называют палочками Коха. Заболевание развивается только в ответ на размножение в организме человека этих микробов.

Как можно заразиться туберкулезом?

Основным источником заражения туберкулезом является человек, который болеет туберкулезом легких. Из дыхательных путей, особенно во время кашля, отделяется мокрота, содержащая микобактерии туберкулеза. Мелкие капли мокроты могут попадать в дыхательные пути здорового человека, находящегося рядом. Мокрота может оседать на поверхности пола или земли, на предметах и вещах. Инфекция может попасть в организм человека вследствие нарушения правил гигиены — например, если не вымыть руки после контакта с поручнями в общественном транспорте или употреблять в пищу немытые овощи и фрукты, плохо обработанное мясо и некипяченое молоко.

Что же происходит при вдыхании туберкулезных палочек?

В некоторых случаях при первом же попадании инфекции в организм бактерии могут размножаться, вызывая серьезные повреждения легочной ткани. Это случаи активного легочного туберкулеза, который может стать источником дальнейшего распространения инфекции.

В ряде случаев болезнетворные бактерии, попав в легкие, могут по лимфатическим сосудам или с током крови переноситься в другие части тела, попадая в почки, кости и суставы, мозг и т.д. При хороших защитных силах организма микобактерии остаются в неактивном состоянии долгое время, но при ослаблении организма в этих частях тела также может развиться туберкулез.

Что может снизить защитные силы вашего организма?

Если в дыхательные пути попадёт слишком большое количество туберкулезных палочек-микобактерий, организм может не справиться с таким натиском. Если Вы длительное время общаетесь с больным туберкулёзом, ваш организм подвергается постоянным атакам, и может настать момент, когда он больше не сможет эффективно сопротивляться инфекции. Известны также другие факторы, содействующие развитию микобактерий в организме:

— стресс — душевное или физическое перенапряжение;

— неумеренное потребление алкоголя;

— недостаточное или неполноценное питание;

— другие болезни, ослабляющие организм.

Дети, подростки, беременные женщины и пожилые люди более подвержены инфекции.

Как уберечься от заболевания?

Чтобы не заболеть туберкулезом, необходимо вести здоровый образ жизни. Для крепкого здоровья нужна здоровая нервная система, поэтому важно избегать стрессов. Пища должна быть полноценной, обязательно должна содержать достаточное количество белков. Важным условием для поддержки здоровья должна быть ежедневная нормальная физическая нагрузка. Пыльные непроветриваемые помещения благоприятствуют распространению туберкулезных бактерий. Для профилактики заболевания необходимо проветривать помещения.

Где можно пройти обследование?

Флюорографическое обследование грудной клетки можно сделать в поликлинике по месту жительства. При подозрении на туберкулез участковый врач или врач-специалист после клинического дообследования направит на консультацию к фтизиатру в противотуберкулезный диспансер или тубкабинет.

Кто должен чаще осматриваться на туберкулез?

Существует несколько уязвимых групп граждан и профессиональных категорий специалистов, которые в силу различных причин должны чаще обследоваться на туберкулез.

Два раза в год должны проходить осмотр:

— военнослужащие, проходящие военную службу по призыву;

— работники родильных домов (отделений);

— лица, находящиеся в тесном бытовом или профессиональном контакте с источниками туберкулезной инфекции;

— лица, снятые с диспансерного учета в туберкулезном учреждении или подразделении в связи с выздоровлением в течение первых 3-х лет после снятия с учета;

— лица, перенесшие туберкулез и вылечившиеся от него самостоятельно, но имеющие остаточные изменения в легких в течение первых 3-х лет с момента выявления остаточных изменений;

— лица, состоящие на диспансерном учете в наркологических и психиатрических учреждениях;

— лица, освобожденные из следственных изоляторов и исправительных учреждений в течение первых 2-х лет после освобождения;

— подследственные, содержащиеся в следственных изоляторах, и осужденные, содержащиеся в исправительных учреждениях.

Один раз в год должны проходить обязательный осмотр на туберкулез:

— больные хроническими неспецифическими заболеваниями органов дыхания, желудочно-кишечного тракта, мочеполовой системы, сахарным диабетом;

— лица, получающие кортикостероидную, лучевую и цитостатическую терапию;

— лица, принадлежащие к социальным группам высокого риска заболевания туберкулезом: без определенного места жительства, мигранты, беженцы, вынужденные переселенцы, проживающие в стационарных учреждениях социального обслуживания и учреждениях социальной помощи для лиц без определенного места жительства и занятий;

— работники учреждений для детей и подростков: социального обслуживания, лечебно-профилактических, санаторно-курортных, образовательных, оздоровительных и спортивных.

Кроме того, в индивидуальном (внеочередном) порядке осматриваются:

— лица, обратившиеся за медицинской помощью с подозрением на заболевание туберкулезом;

— лица, проживающие совместно с беременными женщинами и новорожденными;

— граждане, призываемые на военную службу или поступающие на военную службу по контракту;

Как уберечь ребёнка от заболевания туберкулезом?

Снизить риск заболевания туберкулезом ребёнка можно проведением вакцинации БЦЖ, которая является обязательной и проводится бесплатно всем детям в роддоме с 3-х суток жизни (при отсутствии медицинских противопоказаний). Дети, не привитые в роддоме, прививаются в отделениях патологии новорожденных или в условиях детской поликлиники, при этом в возрасте старше 2-х месяцев перед прививкой БЦЖ необходимо предварительно поставить пробу Манту с 2 ТЕ и прививка проводится в случае отрицательной пробы.

Повторные прививки — ревакцинация БЦЖ — проводится в 7 лет и 14 лет. Если у ребенка или подростка в декретированный возраст (7 и 14 лет) имелся медицинский отвод или проба Манту с 2 ТЕ была сомнительной (а это также является противопоказанием к проведению прививки), то ревакцинация против туберкулеза проводится в течение одного года после наступления указанного возраста. Ревакцинация БЦЖ проводится неинфицированным микобактериями туберкулеза (МБТ) туберкулинотрицательным детям и подросткам.

Если у ребенка или подростка не сформировался постпрививочный знак (рубчик) или его размер менее 2-х мм, то при отрицательной пробе Манту с 2 ТЕ через 2 года после вакцинации и через 1 год после ревакцинации проводится повторная прививка против туберкулеза.

Для своевременного выявления инфицирования туберкулезом всем детям в РФ ежегодно проводится туберкулиновая проба Манту.

Часто болеющие дети или дети, имеющие хронические заболевания, составляют группу риска по туберкулезу. Этой категории ребят уделяется особое внимание, проводятся дополнительные лечебно-профилактические мероприятия, которые определяет участковый врач, врач-специалист, медицинский работник детского учреждения. При наличии медицинских показаний ребенок направляется на консультацию к фтизиатру по месту жительства. Для того чтобы оградить ребенка от заболевания, сами взрослые должны быть уверены, что они ЗДОРОВЫ, и своевременно проходить медицинские осмотры.

Как определить, что у меня есть заболевание?

Основные симптомы, характерные для туберкулеза:

— кашель на протяжении 2-3 недель и более;

— наличие крови в мокроте;

— потливость по ночам;

— периодическое повышение температуры;

— общее недомогание и слабость;

— увеличение периферических лимфатических узлов.

Если Вы обнаружили у себя эти симптомы, немедленно обращайтесь к врачу!

Могу ли я заразить окружающих?

Больной человек является источником инфекции, пока не приступит к интенсивному лечению. Но как только лечение начато, опасность инфицировать окружающих быстро снижается. Это может подтвердить анализ мокроты на туберкулезные палочки. Если их не удается обнаружить при микроскопическом исследовании, то риск заражения для родных и близких в случае Вашего заболевания невелик. Однако если Вы начали прием противотуберкулезных таблеток, очень важно завершить полный курс лечения, то есть принять все без исключения прописанные лекарства без перерыва даже в том случае, если Вы начнете чувствовать себя лучше.

В отличие от других заболеваний лечение туберкулеза требует приема нескольких специальных антибиотиков в течение длительного времени. Причина этого — наличие трех разных по своей активности групп туберкулезных бактерий:

1) Активно размножающиеся бактерии в открытых полостях. Они выходят с мокротой, делая больного источником инфекции для окружающих.

2) Медленно размножающиеся бактерии в защитных клетках организма, окружающих открытые полости.

Если Вы пропустили прием таблеток, как можно скорее сообщите об этом Вашему лечащему врачу, он посоветует, как избежать неприятных последствий.

Также очень важно сообщить врачу о любых признаках побочных эффектов при приеме лекарств, таких как сыпь, желтуха, расстройство зрения или ухудшение слуха, желудочно-кишечные расстройства, покалывание в кончиках пальцев на руках и ногах. Врач даст Вам нужный совет. В преодолении инфекции очень важно состояние общего здоровья, поэтому воздержитесь от алкоголя и курения (или, по крайней мере, уменьшите их прием) .

Старайтесь больше отдыхать, правильно и полноценно питаться, дышите свежим воздухом. Никогда не сплевывайте на пол или на дорогу, используйте для этого вашу индивидуальную плевательницу. Проветривайте время от времени помещение, в котором находитесь. Кашляя, прикрывайте рот платком.

Будьте внимательны к родным и близким. Если Вы заметили у кого-либо симптомы туберкулеза, посоветуйте немедленно обратиться к врачу.

Излечим ли туберкулез?

В настоящее время имеется много противотуберкулезных препаратов, прием которых позволяет полностью излечить болезнь. Главными условиями лечения туберкулеза являются своевременное выявление путем профилактических осмотров и раннее обращение больных за специализированной медицинской помощью к врачу-фтизиатру. Больной туберкулезом должен своевременно принимать лечение в полном объеме, предписанном ему врачом. Перерывы в лечении приводят к развитию устойчивой к лекарствам формы туберкулеза, вылечить которую намного сложнее.

Как долго больной туберкулезом должен лечиться?

Больной должен полноценно пролечиться не менее 6-8 месяцев: в течение 2-3 месяцев в туберкулезном стационаре, затем в условиях дневного стационаре при туберкулезном кабинете и потом амбулаторно. Противотуберкулезные препараты очень дорогие, но больному они предоставляются бесплатно. Если больной прекратит лечение досрочно или не будет принимать все прописанные ему лекарства, это приводит к возникновению лекарственной устойчивости и впоследствии микобактериями туберкулеза с лекарственной устойчивостью могут быть инфицированы члены семьи больного и окружающие.

Устойчивость к одному препарату поддается лечению другими противотуберкулезными препаратами. А вот когда возникает резистентность к нескольким основным противотуберкулезным препаратам, это представляет значительную опасность и для больного, и для общества.

Лечить больных с множественной устойчивостью палочки Коха сложно и чрезвычайно дорого (курс лечения стоит в 100-150 раз дороже обычного курса лечения), длительность лечения может достигать нескольких лет и далеко не всегда оно оказывается успешным: можно потерять не только легкое (после оперативного вмешательства), но и жизнь. Поэтому главное — соблюдение больными предписанных сроков и методов лечения и прием всех препаратов, которые прописал фтизиатр.

Что делать, если в семье есть больной туберкулезом?

Если в семье есть больной туберкулезом, то прежде всего он сам должен осознавать, что от его культуры и дисциплинированности очень многое зависит. Естественно, больной должен выполнять правила личной гигиены. Но не меньшее значение имеет грамотность в вопросах гигиены всех членов семьи и близких, проживающих в очаге туберкулеза.

Больной должен иметь свою комнату, а если нет такой возможности, то свой угол. Кровать следует поставить поближе к окну, отгородить ее ширмой. Нельзя спать на диване, которым днем пользуются другие члены семьи, на котором играют дети. У больного должна быть своя посуда, все вещи следует хранить отдельно. Плевательницу должен обрабатывать сам больной.

Как помочь больному, как дезинфицировать его вещи, делать уборку в помещении, обрабатывать мокроту — об этом расскажут в туберкулезном диспансере. Вся семья больного должна наблюдаться в диспансере по контакту, вовремя обследоваться и проходить профилактические курсы лечения в соответствии с рекомендациями фтизиатра.

Нужно ли обрабатывать квартиру, если раньше там жил больной туберкулезом?

Обязательно. Микобактерии туберкулеза долго сохраняют свою жизнеспособность в окружающей среде, особенно во влажных и запыленных помещениях. Губительными для микобактерий являются длительное ультрафиолетовое излучение и дезинфицирующие средства. Лучше, чтобы обработку помещения по заказу провели специалисты дезинфекционной службы. Если в Вашем населенном пункте нет дезостанций, то получить консультацию по правильной обработке помещения своими силами Вы сможете у фтизиатра.

Читайте также:

Ссылка на основную публикацию
Похожее