Если под влиянием каких-либо причин обостряются старые очаги, то, по наблюдениям А. И. Струкова (1969), последовательно развиваются следующие морфологические фазы процесса: 1) воспалительная инфильтрация капсулы очага лимфоцитами и нейтрофилами, ее разрыхление и разволокнение; 2) проникновение лейкоцитов во внутренние слои капсулы и в казеозно-некротические массы, которые частично или полностью расплавляются под влиянием протеолитических ферментов нейтрофилов; 3) образование неспецифического, а затем и туберкулезного лимфангита с переходом процесса на перибронхиальную ткань; 4) поражение всей стенки бронха (панбронхит), распад и секвестрация казеозных масс в очаге, образование альтеративной или парафокальной каверны и новых очагов в соседних участках легочной ткани, куда микобактерии проникают бронхогенным или контактным путем.
Послепервичные очаги локализуются преимущественно в верхних отделах легких. Так, при изучении рентгенограмм органов грудной клетки 867 взрослых клинически здоровых людей мы могли установить, что неактивные очаги у 20% из них находились в верхушках, у 55% —в верхней доле (ниже верхушечной области), у 18% — в средних и нижних долях, а у 7% — были рассеяны в различных легочных полях. По материалам Г. Р. Рубинштейна и И. Е. Кочновой (1950), послепервичные очаги у 76,5% больных определяются в верхних долях легких, причем у 23,2% из них — в верхушках, у 33,4%—в подключичной зоне и у 19,9% — в других отделах этой доли. Подобную закономерность установили Schurmann (1929) и Medlar (1948) у взрослых, умерших от травм и случайных причин.
Такая закономерность в локализации послепервичных очагов отдельными авторами объясняется различно. Одни связывают ее с ограниченной подвижностью, недостаточной аэрацией, слабой васкуляризацией верхушек легких и замедленным здесь током лимфы. Другие объясняют более частое поражение верхушек поступлением сюда микобактерии из миндалин, шейных или бронхиальных лимфатических узлов. Возможно, что верхняя доля легкого представляет собой своеобразную зону гиперсенсибилизации, в которой избирательно фиксируются микобактерии и развиваются туберкулезные очаги.
Dock (1948) и др. объясняют верхушечную локализацию очагов вертикальным положением организма человека и особенностями распространения микобактерии туберкулеза в малом круге кровообращения. Так или иначе, но преимущественное расположение туберкулезных очагов в верхних отделах легких — бесспорный факт.
Клинические проявления очагового туберкулеза легких вторичного периода определяются особенностями реактивности больных, у которых обычно отсутствуют признаки гиперсенсибилизации и сохранен, хотя и понижен, иммунитет. Играют роль ташке ограниченный характер патоморфологических изменений в легочной ткани, отсутствие вокруг них обширной зоны перифокального воспаления и выраженной наклонности к распаду очагов. В этих случаях не возникает или редко происходит туберкулезная бациллемия и превалирует лимфогенная фаза процесса. По этим причинам в кровь не поступает большого количества бактерийных токсинов и продуктов тканевого распада, и заболевание может протекать скрыто.
Различная частота скрытого течения очагового туберкулеза зависит и от ряда других условий: возраста, пола, культурного уровня больных, от тщательности их опроса при обследовании, а главным образом от фазы процесса. Т. Я. Ильина (1967) установила, что очаговый туберкулез при рассасывании протекает бессимптомно у 54% больных, в фазе инфильтрации — у 44%, а при распаде — только у 20%. По нашим данным, инапперцентное развитие очагового туберкулеза в фазе распада отмечается в последние годы у 39,6% больных. Между тем, по нашим прежним наблюдениям, это явление имело место всего у 15—20%. Такое изменение клинических проявлений данной формы процесса — результат его патоморфоза.
Тем не менее следует иметь в виду, что в тех случаях, когда заболевание развивается бессимптомно, такое состояние отнюдь не всегда остается стабильным. Наблюдения показывают, что часто имеет место инапперцептная фаза процесса, которая на том или ином этапе сменяется клинически выраженными симптомами туберкулезной интоксикации.
Среди различных ее проявлений наиболее характерно нарушение терморегуляции в виде субфебрильной температуры обычно во второй половине дня или поздно вечерам, значительно реже по утрам. Одновременно больные ощущают чувство жара в лице или во всем теле, небольшое и кратковременное познабливание, сменяемое легкой испариной. Они жалуются на быструю утомляемость, снижение трудоспособности, раздражительность, плохой сон. У некоторых больных при очаговом туберкулезе определяются признаки тиреотоксикоза как следствие специфической интоксикации.
Больные очаговым туберкулезом легких, в особенности ранними и начальными его формами, большей частью удовлетворительного питания. У них не увеличены наружные лимфатические узлы. Лишь некоторые жалуются на кашель и выделение мокроты, причем чаще при хронической, чем при ранней, форме заболевания. Редко появляются небольшие кровохарканья. Если при недавно возникшем процессе они обусловлены перифокальным воспалением вокруг очагов или их распадом и формированием небольших каверн, то при фиброзноочаговом туберкулезе легких целость кровеносных сосудов нарушается вследствие их склероза, образования мелких артерио- и венэктазий в зоне патологических изменений.
Очаговый туберкулез легких – форма вторичного туберкулеза, протекающая с формированием в легких очагов специфического воспаления не более 10 мм в диаметре. Протекает бессимптомно или малосимптомно. У части больных очаговый туберкулез легких может сопровождаться недомоганием, субфебрилитетом, болью в боку, сухим кашлем. В диагностике очагового туберкулеза наиболее информативны рентгенография легких, выявление МБТ в мокроте или бронхиальных смывах. В начальном периоде больным очаговым туберкулезом легких назначается комбинация из трех-четырех основных противотуберкулезных химиопрепаратов с последующим уменьшением до двух наименований.
Общие сведения
Очаговый туберкулез легких – специфическое туберкулезное поражение, характеризующееся наличием в легких немногочисленных небольших (в пределах 1-2-х сегментов) фокусов продуктивного воспаления. Очаговый туберкулез относится к вторичной туберкулезной инфекции, т. е. обычно возникает через много лет после излечения первичного туберкулеза. Именно поэтому преобладающее большинство заболевших составляют взрослые пациенты. Среди других клинико-морфологических форм туберкулеза легких на долю очаговой формы приходится 15-20%. Отличительными особенностями очагового туберкулеза легких являются ограниченность зоны поражения одним-двумя сегментами, недеструктивный характер воспаления и латентное течение инфекции.
Причины
Очаговый туберкулез легких может возникнуть в результате экзогенной суперинфекции либо эндогенной активации инфекции в старых первичных очагах (кальцинатах). Экзогенное инфицирование возможно при тесном контакте с больными открытой формой туберкулеза в семье, противотуберкулезном диспансере, различных замкнутых коллективах. Заражение происходит аэрогенным путем. При этом вновь заболевшие выделяют микобактерии, устойчивые к тем же противотуберкулезным препаратам, что и источник инфекции. Роль экзогенной суперинфекции велика в районах с неблагополучной эпидемической ситуацией, неблагоприятными социально-бытовыми условиями проживания, при отсутствии специфической иммунизации населения.
Реактивация эндогенной инфекции происходит в старых туберкулезных очагах в легких (очаг Гона) или внутригрудных лимфатических узлах. В остаточных очагах микобактерии туберкулеза могут длительно персистировать в виде L-форм. Реверсия инфекции обычно происходит на фоне ослабления ранее сформированного противотуберкулезного иммунитета, чему способствуют:
- стрессы
- плохое питание
- переутомление
- лечение иммунодепрессантами
- сопутствующие заболевания (пневмокониозы, сахарный диабет, язвенная болезнь желудка и двенадцатиперстной кишки)
- вредные зависимости (алкоголизм, табакокурение, наркомания).
Патогенез
В патогенезе реактивации эндогенной инфекции, как причины очагового туберкулеза легких, определяющую роль играет лимфогематогенное рассеивание микобактерий по организму. Очаговый туберкулез легких имеет преимущественно верхнедолевую локализацию. Многочисленные исследования в области фтизиатрии и пульмонологии объясняют это различными факторами: ограниченной подвижностью верхушки легкого, ее слабой аэрацией, замедленным крово- и лимфотоком в этой области, вертикальным положением тела человека и даже гиперсенсибилизацией, способствующей избирательной фиксации микобактерий в верхушке легких.
Классификация
По давности течения очаговый туберкулез легких может быть свежим (мягкоочаговым) и хроническим (фиброзно-очаговым).
- Свежий туберкулез является начальной стадией вторичного процесса, развившегося у пациента, ранее инфицированного микобактериями и переболевшего первичной инфекцией. Морфологически характеризуется эндобронхитом и перибронхитом в области сегментарных бронхов, при вовлечении альвеол — лобулярной бронхопневмонией.
- Хронический очаговый туберкулез может развиваться как в результате рассасывания свежего очагового туберкулеза, так и в исходе других легочных форм – инфильтративной, диссеминированной, кавернозной. При этом воспалительные очаги инкапсулируются, замещаются соединительной тканью или обызвествляются. По сути, они представляют собой остаточные фиброзные очаги, однако при определенных условиях могут реактивироваться, вызывая обострение туберкулезного процесса и увеличение границ поражения. В свою очередь, при прогрессировании хронический очаговый процесс также может трансформироваться в инфильтративный, кавернозный или диссеминированный туберкулез легких.
В своем развитии очаговый туберкулез проходит фазы инфильтрации, распада и уплотнения. В зависимости от размеров различают мелкие (до 3 мм в диаметре), средние (до 6 мм), крупные (до 10 мм) очаги.
Симптомы очагового туберкулеза
Особенностью клинического течения туберкулеза легких является стертость или отсутствие симптоматики, поэтому большая часть случаев выявляется при профилактической флюорографии. Примерно у трети пациентов определяется слабо выраженный интоксикационный синдром и признаки поражения органов дыхания.
Признаки интоксикации включают в себя субфебрильную температуру по вечерам, ощущение жара, сменяющееся кратковременным познабливанием, потливость, недомогание, снижение аппетита, нарушение сна. Иногда при очаговом туберкулезе легких, как проявление специфической интоксикации, возникают признаки гипертиреоза: увеличение размеров щитовидной железы, тахикардия, блеск глаз, колебания веса, раздражительность. У женщин могут отмечаться нарушения менструального цикла по типу опсоменореи или пройоменореи.
Возможны жалобы на боль в боку, между лопатками, в плечах. Кашель обычно носит непостоянный характер, может быть сухим или сопровождаться скудным отделением мокроты. Изредка возникает кровохарканье.
Диагностика
Физикальные данные, выявляемые при объективном обследовании больного с подозрением на очаговый туберкулез легких, неспецифичны. Пальпация позволяет выявить небольшую болезненность и ригидность мышц плечевого пояса; лимфоузлы не увеличены. Перкуторный звук над очагом поражения приглушен, при аускультации прослушивается жесткое дыхание, во время покашливания больного определяются единичные мелкопузырчатые хрипы.
Туберкулиновые пробы при очаговом туберкулезе легких, как правило, нормергические, поэтому не играют существенной роли в диагностике. В редких случаях больные могут реагировать на подкожное введение туберкулина повышением температуры тела, увеличением количества мокроты, ускорением СОЭ и т. п. Методом скрининга также могут служить иммунологические реакции крови (Т-Спот.ТБ, квантиферон-тест), которые используются для подтверждения инфицированности.
Для определения активности туберкулеза исследуется мокрота на КУБ, производится бронхоскопия с забором бронхоальвеолярных смывов. Эндоскопическая картина при свежем очаговом туберкулезе легких характеризуется признаками эндобронхита.
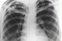
Основную информацию о форме туберкулеза дает рентгенография легких, однако рентгенологическая картина может быть различной в зависимости от фазы и длительности процесса. При свежем очаговом туберкулезе обычно определяется 1-2 крупных очага и несколько средних или мелких; тени слабоконтурирующие, малоинтенсивные, округлой формы. Хронический очаговый туберкулез рентгенологически проявляется наличием плотных фокусов с очагами обызвествления и фиброзных тяжей; тени средней и высокой интенсивности, обычно малого и среднего размера. Дифференциальная диагностика проводится с неспецифической очаговой пневмонией, пневмомикозами, периферическим раком легкого.
При сомнительных данных прибегают к проведению тест-терапии: пациенту на 2-3 месяца назначают противотуберкулезные средства и отслеживают клинико-рентгенологическую и лабораторную динамику. При уменьшении или частичном рассасывании очагов диагноз очагового туберкулеза несомненен.
Лечение очагового туберкулеза легких
Лечение активного очагового туберкулеза легких проводится в противотуберкулезном стационаре, неактивного – в амбулаторных условиях под наблюдением фтизиатра. Стандартный режим химиотерапии предусматривает назначение не менее трех противотуберкулезных препаратов (рифампицин, изониазид, пиразинамид, этамбутол) на срок 2-3 месяца. В начальном периоде также может применяться стрептомицин. В фазе продолжения, которая длится 4-6 месяцев, оставляют прием двух препаратов (рифампицин+изониазид, изониазид+этамбутол). Общая длительность терапии очагового туберкулеза легких составляет 6-9 месяцев, а у отдельных пациентов – до одного года. Реабилитация после курса лечения осуществляется в условиях противотуберкулезного санатория.
Прогноз
Исход очаговой формы туберкулеза легких, как правило, благополучный. В результате полноценного лечения свежие очаги полностью рассасываются, наступает полное клиническое излечение. При хроническом течении очагового туберкулеза возможен переход в менее прогностически благоприятные формы (инфильтративную, кавернозную, диссеминированную). Чаще всего исходом служит пневмосклероз с формированием очагов фиброза или кальциноза. Такие пациенты в течение 1—2 лет нуждаются в проведении химиопрофилактики. Наибольшую сложность представляет лечение устойчивых к химиопрепаратам случаев. Профилактика очагового туберкулеза легких состоит в проведении рентгенологического обследования населения, санпросветработы, повышении неспецифической резистентности организма. В сокращении числа случаев вторичного туберкулеза легких большое значение имеет вакцинопрофилактика.
Представляет собой форму вторичного туберкулеза, которая характеризуется формированием в легких очагов специфического воспаления,диаметр которых не превышает 10 мм.
Причины
Очаговый туберкулез легких в большинстве случаев возникает в результате экзогенной суперинфекции либо эндогенной активации инфекции в старых первичных очагах. Экзогенное инфицирование возникает при тесном контакте с человеком, страдающим открытой формой туберкулеза. Инфицирование происходит аэрогенным путем. При этом вновь заболевшие лица выделяют микобактерии, которые отличаются повышенной устойчивостью к тем же противотуберкулезным препаратам, что и источник инфекции.
Активация эндогенной инфекции возникает в старых туберкулезных очагах в легких или внутригрудных лимфатических узлах. Это объясняется тем, что в остаточных очагах микобактерии туберкулеза могут длительно персистировать в виде L-форм. Реверсия туберкулезной инфекции может возникать на фоне ослабления ранее сформированного противотуберкулезного иммунитета, что может быть обусловлено стрессами, некачественным питанием, переутомлением, терапией иммунодепрессантами, сопутствующими заболеваниями, такими как пневмокониозы, сахарный диабет, язвенная болезнь желудка и двенадцатиперстной кишки, вредные привычки, такие как алкоголизм, табакокурение, наркомания. В патогенезе повторной активации эндогенной инфекции, важную роль играет лимфогематогенный перенос микобактерий в организме.
В большинстве случаев очаговый туберкулез легких локализуется преимущественно в верхних участках легкого, что объясняется ограниченной подвижностью верхушки легкого, слабой аэрацией, а также замедленным крово- и лимфотоком в этих областях легкого.
Симптомы
Главной особенностью клинической картины очагового туберкулеза легких считается отсутствие и стертость симптомов. У незначительного количества больных может обнаруживаться незначительный интоксикационный синдром и признаки поражения органов дыхания.
Интоксикация проявляется возникновением субфебрильной температурыв вечерние часы, ощущением жара, сменяющегося кратковременным познабливанием. Также возможны потливость, недомогание, снижение аппетита и нарушение сна. Иногда при данном типе патологии могут возникать признаки гипертиреоза, проявляющиеся увеличением в размерах щитовидной железы, тахикардией, появлением неестественного блеска в глазах, изменением веса и появлением раздражительности. У женщин могут обнаруживаться нарушения менструального цикла по типу опсоменореи или пройоменореи.
Иногда больные жалуются на боль в боку, между лопатками и в плечах. Кашель обычно носит непостоянный характер, может быть сухим либо сопровождаться скудным отделением мокроты. В редких случаях возможно появление кровохарканья.
Диагностика
Постановку диагноза затрудняет то, что физикальные данные, обнаруженные при объективном обследовании пациента с подозрением на очаговый туберкулез легких, неспецифичны.
Туберкулиновые пробы при очаговом туберкулезе легких, как правило, малоинформативны, поэтому не играют важной диагностической роли. Для определения активности туберкулеза исследуется мокрота на КУБ, также производится бронхоскопия с забором бронхоальвеолярных смывов. Важное диагностическое значение принадлежит рентгенографическому исследованию легких и компьютерной томографии органов грудной клетки.
Лечение
Лечение активного очагового туберкулеза проводится посредством назначения противотуберкулезной химиотерапии, предусматривающей назначение не менее трех противотуберкулезных препаратов. Длительность курсового лечения может варьироваться от 2 до 3 месяцев. В фазе продолжения, длительность которой может быть от 4 до 6 месяцев, оставляют прием двух препаратов. Общая длительность терапии очагового туберкулеза легких варьироваться от 6 до 9 месяцев, а у отдельных пациентов до одного года. Реабилитация после курса лечения осуществляется в условиях противотуберкулезного санатория.
Профилактика
Профилактика очагового туберкулеза основана на назначении корректного лечения туберкулеза.
Эпидемиологическая ситуация, которая наблюдается во всем мире, связана с заболеваниями органов дыхания при диагнозе туберкулез.
Статистика инфицирования микобактериями — это ежегодное обнаружение первичного заражения у 10,5 млн. человек. Непоправимые осложнения туберкулеза легких и наличие возбудителей с множественной лекарственной устойчивостью являются причиной смертности более 1,8 млн. взрослого населения и около 700 тыс. детей.
Причины туберкулеза легких
Механизм распространения такой инфекции, как туберкулез, зависит от того, насколько своевременно была определена клиника заболевания и проведено последующее лечение. Современные профилактические меры и возможности диагностики позволяют выявить возбудителя, объединенного в единый комплекс близкородственных микобактерий — Mycobacterium tuberculosis.
По сравнению с внелегочными разновидностями, которые встречаются всего лишь в 10% случаев, туберкулезом именно лёгких болеют 90% пациентов.
Среди них более половины составляют лица без определенного места жительства, с ВИЧ позитивным статусом, зависимые от наркотических веществ и алкоголя, маленькие дети. В группе особого риска находятся люди после трансплантации органов, больные сахарным диабетом, онкологическими, сердечно-сосудистыми заболеваниями, хронической почечной недостаточностью.
Спорным остается вопрос о том, передается ли туберкулез по наследству. В ходе проведённых исследований сотрудниками Центрального НИИ Министерства здравоохранения был установлен факт, что в семьях, имеющих тесный контакт или близкие родственные связи с больным туберкулезом, вероятность инфицирования в 5-7 раз выше.
Кроме генетической предрасположенности, слабого иммунитета и социально-бытовых факторов, более восприимчивы к инфицированию люди, имеющие группу крови 0 (I), B (III) и AB (IV).
Заражение туберкулезом
Только у 10% здоровых людей иммунная система способна справиться с туберкулезной инфекцией органов дыхания. Остальные 90% населения каждый день подвергаются большой опасности.
Исходя из полученных данных, предоставленных статистикой ВОЗ, более 1/3 всех жителей планеты являются носителями латентного, не проявляющего себя заболевания, как туберкулез.
При чихании, кашле, с мокротой и слюной по воздуху разносятся микобактерии от больного к здоровому человеку.
Попадая на поверхности, палочки Коха сохраняют свою жизнеспособность еще около 2 месяцев, в сухом виде и неосвещенных местах способны инфицировать людей еще около 1 года.
Поэтому так важно соблюдать чистоту в помещении, где находится больной: обрабатывать хлоркой пол, дезинфицировать одежду, кожу протирать перекисью водорода.
Контакт с туберкулезной палочкой связан и с профессиональной деятельностью населения. Чаще всего происходит взаимодействие с возбудителем у медицинских работников специализированных учреждений, хирургов, лаборантов, а также у лиц, занимающихся разведением крупного рогатого скота, разделкой мяса, получением и переработкой молочной продукции.

Алиментарное заражение туберкулезом наблюдается в случаях проникновения инфекции непосредственно в желудочно-кишечный тракт с уже зараженной пищей. Более 50 видов животных и птиц способны быть переносчиками микобактерии, но в большинстве случаев — это коровы и козы. Сырое молоко способно около 14 дней быть источником палочки Коха, сыр и масло — до 1 года.
К сожалению, отказ от Манту, частично оправдан. Случаи заражения туберкулезом после вакцинации известны еще с 1930 года, когда в городе Любеке ошибочно ввели новорожденным вирулентный штамм микобактерии. Результатом халатности врачей стала смерть 76 малышей и инфицирование более 270 детей.
Достаточно редко регистрируют внутриутробное проникновение МБТ. Такую возможность отмечают при нарушении плаценты или попадания палочки Коха в околоплодные воды.
Туберкулеза легких на ранних стадиях
Инкубационный или период до первых явных проявлений туберкулезной легочной инфекции длится не более 6-8 недель. У подавляющего большинства развитие заболевания начинается с первичного туберкулезного комплекса, одностороннего поражения участка легкого при заражении.
Воспалительный очаг сопровождается образованием гранулем, распространяется на лимфатические узлы и попадает в кровеносные сосуды. При наличии хорошего иммунитета происходит заживление первичного туберкулезного комплекса. Очаги пропитываются солями кальция и замещаются фиброзной тканью с образованием капсул.
Если же заболевание прогрессирует, возможен прорыв внутреннего содержания в серозную оболочку, которая находится вокруг лёгких, плевру. В этом случае поражается не один участок, а легкое полностью.
Осложнением прогрессирующего первичного комплекса является туберкулёз внутригрудных лимфатических узлов.
Может протекать в хронической слабовыраженной форме. Развитие воспалительного процесса провоцирует проникновение бактериальной инфекции, казеозной массы в просвет бронхов. Впоследствии появляется бронхиальный свищ с дальнейшим заражением трахеи и даже пищевода.
Признаки туберкулеза легких
Формирование иммунного ответа организма в процессе размножения микобактерий занимает несколько недель с момента первичного заражения. Поэтому многие люди считают, что слабовыраженные, респираторного характера симптомы и лечение не потребуют. От обширности поражения будет зависеть, как проявляется туберкулез легких в дальнейшем.
Больной может ощущать слабость, раздражительность. Обильное выделение слюны и пота характерно для ночного времени суток. Воспалительный процесс сопровождается отсутствием аппетита, снижением массы, повышением температуры тела
Поврежденные органы дыхания вызывают кашель и хрипы. Сопутствующими признаками выступают нарушения сердечно-сосудистой системы: одышка, понижение артериального давления, незначительное увеличение объема сердца, которое ощущается сдавливающими болями в грудной клетке и нехваткой воздуха.
Происходит визуальное выделение щитовидной железы, лимфатических узлов, которые на ощупь становятся мягкими, причиняют боль. Кожный покров приобретает бледный болезненный вид. В редких случаях возможно рвота, неприятный запах изо рта, увеличение печени и селезенки.
Клинические формы туберкулеза легких
Большую опасность не только для жизни больного человека, но и для окружающих его людей представляют существующие легочные формы туберкулеза.
Милиарный. Возникает на фоне низкого иммунитета. Характеризуется образованием множественных туберкулезных бугорков. Острая милиарная форма проявляется достаточно ярко: высокая температура тела до 39-40°C, легочная недостаточность, одышка.
Ограниченный милиарный туберкулез сопровождается слабостью, сухим кашлем, головной болью, расстройствами пищеварения, иногда кожные покровы приобретают желтоватый оттенок.
Диссеминированный. Развитию этой формы заболевания способствуют уже имеющиеся очаги, которые находятся во внутригрудных лимфатических узлах. Острый диссеминированный туберкулез проявляет первые симптомы через 10 дней после инфицирования. У больных начинается лихорадка, сухой кашель, расстройства работы ЖКТ, температура тела достигает 39°C.
При усилении токсического воздействия микобактерии провоцируют тахикардию, потерю сознания и бред.
Подострая диссеминированная форма не имеет ярко выраженных проявлений. Развитие заболевания может длиться несколько недель. Сопровождается вегето-сосудистой дистонией и нестабильностью психоэмоционального состояния.
https://youtube.com/watch?v=Jm_IAn9txbo
Очаговый. Является последствием посттуберкулезных изменений или результатом повторного заражения. Воспалительные очаги формируют фиброзную ткань, образуются так называемые капсулы. Характерных проявлений не имеет. Вызывает уменьшение аппетита, вялость и незначительное увеличение температуры.
Инфильтративный. Казеозный очаг окружает воспаление, образуется инфильтрат: нечеткий облаковидный, круглый с четким контуром, обширный лобит. Боль в груди и суставах, температура до 40°C, мигрень — симптомы инфильтративной формы.
Туберкулома лёгких. В 80% диагностируемых случаев образование в легком встречается только одно, в остальных — 2 и более. Прогрессирующая туберкулома вызывает боль в грудной клетке при дыхании, кровохарканье и температуру около 37,8°C.
Казеозная пневмония. Прогрессирующая форма туберкулезной инфекции с множественными участками распада. Из легочной омертвевшей ткани микобактерии переносятся в бронхи, лимфатические узлы, кровеносные сосуды.
Признаками казеозной пневмонии являются: температура до 39°C, неестественный румянец на лице, мокрота с примесями крови, озноб и одышка.
Фиброзно-кавернозный. Хроническая прогрессирующая туберкулезная инфекция с поражением тканей легкого кавернами. Ночной пот, мокрота с кровью и опущение плеча, дыхание ослабленное, с хрипами, западение межреберных промежутков.
Цирротический туберкулёз. Становится причиной смертности 3% инфицированных туберкулезом людей. Является завершающей стадией хронического поражения органов дыхания.
Диагностика туберкулеза органов дыхания
С целью предварительной оценки готовности организма противостоять туберкулезной инфекции проводят ежегодное профилактическое обследование для всех без исключения категорий населения.
Проба Манту предназначена для детей с 1 года при наличии ранее проведенной прививки БЦЖ.
Туберкулинодиагностика проводится 1 раз в год подкожным введением 2 ТЕ очищенного аллергена, туберкулина.
Оценка результатов Манту производится по истечении 72 часов и основывается на показаниях предыдущей пробы.
Флюорография позволяет выявить туберкулез органов дыхания у взрослых. Назначается для проведения 1 раз в год, чтобы исключить опасность облучения. Для получения более точных данных широко применяют современную процедуру с возможностью получения цифровых качественных снимков.
Анализ крови не обнаруживает форму туберкулеза, а лишь указывает на интенсивность течения воспалительного процесса. В большинстве случаев уровень гемоглобина и количество эритроцитов остаются в норме, поэтому назначают дополнительное исследование с указанием СОЭ. Отклонение от нормы и увеличение скорости оседания эритроцитов выше 20 мм/ч свидетельствует о наличии заболевания.
Исследование мокроты ЦПР. Точность диагностики методом полимеразной цепной реакции составляет 98%. Путем выделения и копирования фрагментов ДНК микобактерии в лабораторных условиях удается определить форму и стадию инфекции.
Как лечить туберкулез легких
Лабораторная и аппаратная диагностика лечение значительно облегчает. При наличии точного диагноза ликвидировать воспалительный очаг и вернуть к полноценной жизни пациента возможно.
Отсутствие положительной динамики, прогрессирующие симптомы заболевания в сочетании с неэффективной медикаментозной терапией при туберкулезе предусматривает назначение хирургического лечения в виде плановой или экстренной операции.
Резекция используется для удаления незначительных участков легких, процедуру лобэктомия применяют для ликвидации пораженной доли. Чтобы извлечь из плевры казеозные, наполненные бактериями массы, назначают механическую видеоторакоскопическую санацию.
Предупреждение туберкулеза легких
Одной из основных задач здравоохранения является профилактика и организация мероприятий по снижению уровня показателей смертности среди людей, инфицированных туберкулезом.
Со стороны государства проводится социальная политика по улучшению уровня жизни среди населения, антиалкогольные и антитабачные рекламные компании, стимулирование людей вести здоровый образ жизни.
Целью санитарной профилактики является ограничение контакта здорового и населения с диагнозом туберкулез.
Для предотвращения эпидемии специализированными службами ведется контроль заболеваемости, обеспечение санитарно-гигиеническими навыками пациентов и членов их семей.


