Пн-пт: 09:00—20:00; сб: 09:00—16:00 по предварительной записи
whatsapp telegram vkontakte email

Чем отличается туберкулезный плеврит от туберкулеза

Существует огромное количество заболеваний, которые могут поражать дыхательную систему человека. Некоторые из них не представляют особой угрозы для здоровья, а есть и такие, которые чреваты серьезными осложнениями и снижением уровня жизни пациента. Одним из таких является плеврит туберкулезный, с которым мы и познакомимся в нашей сегодняшней статье. Рассмотрим причины его развития, разновидности и рекомендуемую терапию.

Что собой представляет данное заболевание

При данной патологии характерно наличие острого, хронического или рецидивирующего воспалительного процесса плевры. Часто заболевание проявляется после заражения организма туберкулезом.

Туберкулезный плеврит обычно поражает серозные оболочки, которые формируют полость плевры и покрывают легкие. Это заболевание достаточно серьезное, борьба с ним ведется уже не одно тысячелетие, но и в наши дни рецидивы все-таки возникают.

image

Опасность данной патологии в том, что она быстро может распространяться среди людей, повышая уровень смертности. Подмечено, что довольно часто заболевание возникает именно в детстве. Плеврит туберкулезной этиологии чреват распространением бактерий по всему организму, что приводит к нарушению работы всех систем органов, поэтому чем раньше диагностировано заболевание, тем эффективнее лечение.

Механизм развития заболевания

Данная патология имеет два пути развития:

  1. Экссудативный плеврит туберкулезной этиологии развивается, если на плевру воздействуют токсические вещества возбудителя заболевания и продукты распада тканей. Плевральная полость в этом случае содержит небольшое количество бактерий. В патогенезе можно отметить, что многократно повышается чувствительность организма к патогенным микробам, нарастание происходит под влиянием предшествующего течения туберкулезной инфекции. После попадания бактерий в плевру начинается бурное накопление жидкости.
  2. Второй механизм развития – это воспаление плевры с формированием туберкулезных бугорков, развивается при массовом попадании бактерий из очага в легких или грудных лимфатических узлов.

Как может проникнуть возбудитель в плевральную полость

Существует несколько путей, по которым туберкулезная палочка может попасть в плевральную полость:

  1. Контактный. В этом случае попадание происходит из очагов в легких, расположенных под оболочкой.
  2. Лимфогенный путь предполагает распространение по лимфатическим сосудам.
  3. Гематогенное распространение – это транспорт по кровеносным сосудам.

Механизм развития заболевания заключается в воспалительном процессе в плевральных листках, скоплении лейкоцитов и проникновении жидкости в плевральную полость.

Экссудат туберкулезном плеврите может быть разного характера:

Если терапия неэффективна, то со временем серозный выпот рассасывается, а фиброзный прорастает элементами соединительной ткани и на поверхности плевры образуются рубцовые наложения.

Причины развития туберкулезного плеврита

Туберкулезный плеврит легких относится к патологическим заболеваниям, которые развиваются на основе заражения или недостаточности легких. Этиология плеврита бывает нескольких видов, и для каждого имеются свои причины для развития.

Причинами инфекционного заражения являются:

  • Инфекции, вызванные бактериями, например стафилококком, грамотрицательной микрофлорой.
  • Наличие вирусов и паразитов в организме, особенно если не проводится терапия.
  • Туберкулезная инфекция преимущественно в виде палочки.

image

Можно назвать еще и неинфекционные причины:

  • Если имеет место развитие злокачественных опухолей в легких, молочных железах, яичниках.
  • Инфаркт легких.
  • Панкреатит, лейкоз.

Врачи выделяют в отдельную группу неизвестные причины, которые могут спровоцировать плеврит туберкулезный:

  • Травмы.
  • Ранения, например огнестрельные.
  • Оперативное вмешательство.

В зависимости от причины заболевания начинают проявляться и симптомы, но для начала необходимо рассмотреть разновидности заболевания, они также по разному проявляются.

Классификация и виды патологии

Если рассматривать особенности патогенеза заболевания, то выделяют плеврит туберкулезный следующих видов:

  1. Аллергический.
  2. Туберкулез плевры.
  3. Перифокальный.

Первая разновидность заболевания может проявляться на фоне сильной чувствительности организма. Особенностью такого вида плеврита является наличие болевых ощущений и быстрое накопление жидкости. Но обратная динамика такая же быстрая.

В случае диссеминации большого количества мелких и крупных очагов развивается туберкулез плевры. Часто для данного вида патологии характерна обширная казеозно-некротическая реакция. Туберкулезный плеврит данного вида считается наиболее отягощающим.

Перфокальный вид развивается, если воспалительный процесс из легких распространяется на плевру. Экссудат может накапливаться в малом или большом количестве, бактерии в нем обнаруживаются не всегда, но протекает данная разновидность длительно, и часто бывают рецидивы.

На классификацию заболевания влияет еще и плевральный состав. В зависимости от этого выделяют:

  • Фибринозный или сухой.
  • Туберкулезный экссудативный плеврит.
  • Гнойный.

Первая патология протекает, как правило, на некоторых участках плевры, где и откладываются нити фибрина. Со временем плевра теряет свою гладкость. Этот вид заболевания достаточно легко поддается лечению, если его начать своевременно.

Экссудативный плеврит имеет противоположное фиброзному виду проявление. Практически сразу начинает активно выделяться жидкость и скапливаться в плевральной полости. Бывают случаи, когда все начинается с сухого вида, который плавно перетекает в экссудативный.

Гнойная форма отличается сложным характером. Происходит поражение плевры в результате попадания дозы МБТ или прорыва субплеврального очага.

Если плеврит туберкулезной этиологии, то его подразделяют еще на несколько видов:

  • Инфекционный. Развивается после попадания стафилококка, пневмококка, туберкулезной палочки в легкие.
  • Неинфекционный плеврит туберкулезный развивается на фоне рака легких, ревматизма и других патологий.
  • Идиопатический плеврит развивается по невыясненным причинам.

Протекать заболевание может неодинаково, поэтому выделяют острую форму, подострую и хроническую. Каждая имеет свои симптомы.

Проявление заболевания

Для каждого вида плеврита характерны свои признаки. Сухой туберкулезный плеврит симптомы имеет следующие:

  • Происходит лимфатогенное распространение инфекции.
  • Появляется болезненность в грудной клетке. При вдохе она усиливается, а также провоцировать ее могут чихание, кашель.
  • Повышается температура тела.

image

Первые признаки не дают возможности сразу диагностировать заболевание, поэтому до появления болей поставить точный диагноз проблематично. С развитием заболевания боль становится сильнее, бывают даже случаи потери сознания.

Симптоматика сухого плеврита очень напоминает невралгию, поэтому важно вовремя провести дифференциальную диагностику. Если имеет место сухой плеврит, то пациент старается лечь на другой бок, но болевые ощущения только усиливаются.

Если врач прослушает со стороны появления болей, то услышит характерные шумы от трения плевры. Диагностировать такого вида плеврит часто по анализам крови не удается.

Экссудативный вид имеет следующие симптомы:

  • Появляется одышка.
  • Слабость и недомогание.
  • Повышается температура тела до 38-39 градусов.
  • Кашель.
  • Сухость в ротовой полости.
  • Боль в груди со стороны локализации возбудителя.

image

Довольно часто такой плеврит имеет острый характер течения, но бывают случаи, когда у детей или подростков заболевание протекает бессимптомно, а выявляется только после обследования верхних дыхательных путей.

После накопления жидкости в плевральной полости симптомы могут уменьшиться, остается только тяжесть в боку. Количество экссудата может достигнуть двух литров. При этом появляется головная боль, головокружение, у детей может измениться цвет кожных покровов, они становятся вялыми, бледными и часто лежат на одном боку.

Симптоматика гнойного плеврита имеет слабое выражение, состояние пациента может не изменяться, но появляется боль в боку, одышка, слабость и высокая температура. Часто состояние усугубляется до того, что больной не в силах встать с кровати.

Симптомы подвидов плеврита

Мы уже выяснили, что имеются еще и подвиды плеврита, которые также проявляются по-разному.

Перифокальные имеет скудную симптоматику:

  • Легкая боль в груди.
  • Небольшая слабость.
  • При прослушивании небольшие шумы в груди.

Данный подвид плеврита протекает длительно и часто с рецидивами, если происходит накопление экссудата, то признаки уже более выраженные:

  • Повышается температура тела.
  • Сильная потливость.
  • Развивается тахикардия.

Аллергический плеврит проявляется следующим образом:

  • Температура повышается до тридцати девяти градусов.
  • Тахикардия.
  • Быстрое накопление экссудата.
  • Одышка.
  • Тяжесть при вдохе и боль в боку.

Симптомы эти могут быстро появляться и так же исчезать.

Если развивается туберкулез плевры, то для него характерно:

  • Температура может повышаться до сорока градусов.
  • Чрезмерная потливость.
  • Боли в боку.
  • Сухой кашель.
  • Усиливается одышка.

Если это хроническая форма, то для туберкулезного плеврита характерно:

  • Чувство нехватки воздуха.
  • На шее набухают вены и лимфатические узлы.
  • Синюшность губ.

При появлении таких признаков больного необходимо срочно доставить в больницу. Надо проследить, чтобы человек с такими симптомами сам не садился за руль, лучше вызвать «скорую», если нет возможности самим доставить его в больницу.

Постановка диагноза

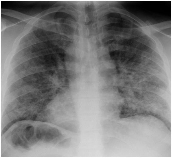
Если имеет место туберкулезный плеврит, диагностика затруднена. Врачу для постановки диагноза важно не только знать, как может проявляться заболевание в различных формах, но и провести различные исследования. На основании всех данных может быть поставлен диагноз. Диагностика включает в себя:

  1. Опрос пациента на предмет жалоб.
  2. Сбор информации о картине проявления болезни.
  3. Проведение туберкулиновых проб.
  4. Рентгенографическое исследование позволит обнаружить изменения в легочной ткани.

image

Только после того как будет подтвержден диагноз «туберкулезный плеврит», лечение назначается квалифицированным врачом.

Терапия заболевания

Чтобы справиться с этим недугом, важно вовремя его распознать и приступить к лечению. Многие задаются вопросом: туберкулезный плеврит заразен или нет?

Это инфекционное заболевание, и если в мокроте содержатся возбудители патологии, то такой пациент представляет опасность для окружающих. Терапия должна осуществляться только в туберкулезном диспансере.

Терапия в первую очередь должна способствовать прекращению процесса разрушения тканей. Для этого назначают:

image

Продолжительность терапии лекарственными средствами составляет не менее восьми месяцев, если еще и диагностируется туберкулез легких, то срок может увеличиваться до двух лет.

Чтобы легкие приняли свою нормальную форму, необходимо проводить откачивание жидкости, чтобы не допустить образования наслоения.

Если длительная медикаментозная терапия не дает своих результатов, то придется прибегать к оперативному вмешательству.

Во время лечения должен соблюдаться постельный режим, а также следует пересмотреть рацион питания. Необходимо ограничить употребление соли и соленых продуктов, пить меньше жидкости, увеличить употребление продуктов с большим содержанием белка и витаминов.

Профилактика заболевания

Чтобы вновь не вернулся туберкулезный плеврит, лечение не потребовалось, важно соблюдать профилактические меры. Туберкулез относят к социальным заболеваниям, которые непосредственно связаны с качеством жизни населения. Эпидемиологическое неблагополучие по туберкулезу вызывается ухудшением социально-экономических условий, снижением уровня жизни населения, активностью миграционных процессов.

В целях профилактики можно порекомендовать придерживаться следующих рекомендаций:

  1. Проводить регулярно профилактические и противоэпидемиологические мероприятия.
  2. Как можно раньше диагностировать заболевание у пациентов и выделять лекарственные средства на терапию.
  3. Обязательно проводить медицинские осмотры при приеме на работу в тех районах, которые являются неблагоприятными по туберкулезу животных.

image

Соблюдение этих несложных профилактических мер позволит сократить частоту заболевания, а также поможет выявлению его на самых первых этапах развития, когда лечение максимально эффективно.

Каждый человек прежде всего сам в ответе за свое здоровье. Не стоит при первых признаках недомогания заниматься самолечением, тем самым мы позволяем возбудителям «укрепиться в своих правах», и заболевание начинает прогрессировать. Только квалифицированный врач поставит точный диагноз и назначит эффективное лечение.

Медицинский эксперт статьи

Туберкулёзный плеврит — это острое, подострое, хроническое или рецидивирующее туберкулёзное воспаление плевры, которое может возникнуть как осложнение при любой форме туберкулёза.

Наиболее часто плеврит наблюдают при туберкулёзе лёгких. Изредка он может протекать и как самостоятельная клиническая форма, т.е. без явно определяемого туберкулёзного поражения других органов, и быть первым клиническим проявлением туберкулёзной инфекции в организме.

Код по МКБ-10

Эпидемиология туберкулёзного плеврита

В Украине и России туберкулёзную этиологию отмечают почти у половины всех больных экссудативным плевритом. У впервые выявленных больных туберкулёзом органов дыхания туберкулёзный плеврит диагностируют в 3-6% случаев, чаще у детей, подростков, лиц молодого возраста. В структуре причин смерти от туберкулёза плеврит составляет около 1-2%, причём в основном это хронический гнойный плеврит.

[1], [2], [3], [4], [5], [6], [7], [8], [9], [10]

Патогенез и патологическая анатомия туберкулёзного плеврита

Плеврит чаще осложняет течение туберкулёза внутригрудных лимфатических узлов, первичного комплекса, диссеминированного туберкулёза. В патогенезе плеврита большое значение придают предварительной специфической сенсибилизации плевры, как важному условию развития воспаления под воздействием микобактерий. Существенную роль в патогенезе туберкулёзного плеврита играет тесная анатомическая и функциональная взаимосвязь лимфатической системы лёгких и плевры.

Туберкулёзный плеврит может быть аллергическим (параспецифическим), перифокальным и протекать в виде туберкулёза плевры. В зависимости от характера плеврального содержимого туберкулёзный плеврит может быть сухим (фибринозным) и экссудативным. Гнойный экссудативный плеврит называют туберкулёзной эмпиемой плевры.

Аллергический плеврит возникает в результате гиперергической экссудативной реакции плевральных листков на туберкулёзную инфекцию. Такую реакцию наблюдают преимущественно при первичном туберкулёзе, для которого характерна высокая сенсибилизация многих тканей, в том числе серозных оболочек. В плевральной полости образуется обильный серозный или серозно-фибринозный экссудат, появляются наложения фибрина на плевре. Клеточный состав экссудата лимфоцитарный или эозинофильный. Специфических туберкулёзных изменений не выявляют или на листках плевры обнаруживают единичные туберкулёзные бугорки.

Перифокальный плеврит развивается в случаях контактного поражения плевральных листков из субплеврально расположенных источников туберкулёзного воспаления в лёгком. Его наблюдают у больных с первичным комплексом, диссеминированным, очаговым, инфильтративным, кавернозным туберкулёзом. Сначала поражение плевры бывает локальным, с выпадением фибрина, но затем появляется серозный или серозно-фибринозный экссудат.

Туберкулёз плевры возникает разными путями: лимфогенным, гематогенным и контактным. Он может быть единственным проявлением туберкулёза или сочетаться с другими формами заболевания.

При лимфогенном или гематогенном инфицировании на плевральных листках возникают множественные бугорковые высыпания, а в плевральной полости появляется серозно-фибринозный экссудат. В случаях прогрессирования процесса и распада туберкулёзных гранулём выпот становится геморрагическим. При инволюции процесса выпот рассасывается, плевральные листки утолщаются, полость плевры частично или полностью облитерируется.

Контактный путь развития туберкулёза плевры наблюдают при субплевральной локализации туберкулёзного воспаления в лёгком, которое, как правило, распространяется на плевральные листки. У большинства больных поражение плевры ограничивается местной воспалительной реакцией. На висцеральной плевре появляются бугорковые высыпания, фибринозные наложения, грануляционная ткань, в плевральной полости возможно появление выпота. При организации фибрина и грануляций образуются сращения между листками висцеральной и париетальной плевры. Реже контактное туберкулёзное поражение плевры сопровождается образованием большого количества серозного или серозно-фибринозного экссудата с преимущественно лимфоцитарным составом. Рассасывание экссудата завершается формированием фиброзных наложений на плевре, особенно выраженных в плевральных синусах.

Другой вариант контактного пути развития туберкулёза плевры заключается в прямом поступлении инфекции в плевральную полость из поражённого лёгкого. Оно происходит в случаях распада субплеврально расположенных казеозных масс или перфорации лёгочной каверны в плевральную полость. Через образовавшееся отверстие в полость плевры проникают казеозные массы, содержимое каверны и нередко воздух. Плевральная полость инфицируется микобактериями, лёгкое частично или полностью спадается, и развивается острая туберкулёзная эмпиема. Состояние, при котором в плевральной полости одновременно обнаруживают гной и воздух, называют пиопневмотораксом.

При сохраняющемся сообщении каверны с плевральной полостью формируется хроническая туберкулёзная эмпиема с бронхоплевральным свищом. Листки париетальной и висцеральной плевры при хронической туберкулёзной эмпиеме резко утолщены, гиалинизированы, кальцинированы. Их поверхность покрыта казеозно-некротическими и фибринозно-гнойными массами. К туберкулёзной инфекции обычно присоединяется неспецифическая гнойная флора. У больных хронической туберкулёзной эмпиемой нередко обнаруживают амилоидоз внутренних органов.

Излечение туберкулёзной эмпиемы плевры заканчивается образованием обширных плевральных наложений (шварт), облитерацией плевральной полости и фиброзными изменениями в лёгком и грудной стенке.

Симптомы туберкулёзного плеврита

Клиническая картина туберкулёзного плеврита многообразна и тесно связана с особенностями туберкулёзного воспаления в плевральной полости и лёгких. У некоторых больных одновременно с плевритом отмечаются и другие проявления туберкулёза, особенно первичного (параспецифические реакции, специфическое поражение бронхов).

Аллергический плеврит начинается остро. Больные жалуются на боль в груди, одышку, повышение температуры тела. В анализах крови типичны эозинофилия и увеличение СОЭ. Экссудат бывает серозным, с большим числом лимфоцитов, микобактерии обнаружить не удаётся. При видеоторакоскопии может быть выявлена гиперемия плевральных листков. Противотуберкулёзная химиотерапия в комбинации с противовоспалительными и десенсибилизирующими средствами обычно приводит к улучшению состояния и выздоровлению без грубых остаточных изменений в плевральной полости.

Перифокальный плеврит начинается исподволь или подостро с появления боли в груди, сухого кашля, непостоянной субфебрильной температуры тела, небольшой слабости. Больные часто указывают на предшествующие переохлаждение и грипп, как на факторы, провоцирующие развитие заболевания. Боль в боку усиливается при кашле, наклоне в противоположную сторону. Характерными признаками являются ограничение подвижности грудной клетки при дыхании на стороне поражения и шум трения плевры. Шум сохраняется несколько дней, а затем под влиянием лечения или даже без него исчезает. Чувствительность к туберкулину при сухом туберкулёзном плеврите высокая, особенно у детей. При перкуссии, если нет значительного поражения лёгкого, изменений не выявляют. На рентгенограммах обнаруживают локальные туберкулёзные поражения лёгких, уплотнение плевры и плевральные сращения в виде малоинтенсивных участков затемнения. Лишь на КТ более отчётливо определяют воспалительное и фиброзное уплотнение плевральных листков.

По мере накопления в полости плевры экссудата боль постепенно ослабевает, шум трения плевры исчезает и появляются типичные физикальные, эхографические и рентгенологические признаки экссудативного плеврита. Экссудат бывает серозным с преобладанием лимфоцитов и высоким содержанием лизоцима. Микобактерии в экссудате отсутствуют. При видеоторакоскопии отмечают изменения висцеральной плевры над поражённой зоной лёгкого: гиперемию, утолщение, плёнки фибрина. Течение перифокального плеврита обычно длительное, часто рецидивирующее.

Туберкулёз плевры с экссудативным плевритом может проявляться клинической картиной разной степени тяжести. У большинства больных в течение 2-3 нед наблюдают симптомы интоксикации. Затем температура тела повышается до фебрильных значений, появляется и постепенно нарастает одышка, возникает постоянная давящая боль в боку. В раннем периоде воспалительного процесса, до расслоения плевральных листков экссудатом, слышен шум трения плевры. Он может сопровождаться мелкопузырчатыми влажными и сухими хрипами. По мере накопления жидкости при экссуда-тивном плеврите и эмпиеме плевры развивается классическая клиническая картина, рудная стенка на стороне плеврита отстаёт при дыхании. В случаях большого плеврального выпота межребёрные промежутки бывают сглаженными. Характерными физикальными симптомами считают укороченный или тупой перкуторный звук, ослабление или отсутствие голосового дрожания и дыхательных шумов над областью поражения. В периоде рассасывания экссудата, когда плевральные листки начинают соприкасаться между собой, вновь часто выслушивают шум трения плевры.

Состояние больных бывает наиболее тяжёлым при эмпиеме плевры. Характерны высокая температура тела, одышка, ночные поты, резкая слабость, похудание. Если экссудат не будет удалён из плевральной полости, он может заполнить весь гемиторакс и вызвать смещение и сдавление органов средостения с развитием лёгочно-сердечной недостаточности. Такая ситуация служит показанием к срочному удалению жидкости из плевральной полости.

Типичными осложнениями туберкулёзной эмпиемы плевры считают прорыв гнойного экссудата в бронх или через межребёрный промежуток. При прорыве плеврального содержимого в бронх больной выделяет гной с кашлем, иногда в большом количестве. Всегда возникает опасность аспирационной пневмонии. В дальнейшем может сформироваться плевробронхиальный свищ.

image

Туберкулезный плеврит — это воспаление плевры туберкулезной этиологии, протекающее как в сухой форме, так и с накоплением экссудата в плевральной полости. Основные симптомы туберкулезного плеврита – колющая боль в боку, сухой кашель, одышка, субфебрильная или фебрильная температура тела, недомогание. При постановке диагноза учитывается рентгенологическая картина, результаты пробы Манту, обнаружение МБТ в мокроте или плевральном экссудате, данные плевроскопии. Лечение туберкулезных плевритов осуществляется туберкулостатическими препаратами, кортикостероидами, НПВС; при массивной экссудации показана серия плевральных пункций для аспирации выпота; в фазе рассасывания назначается ЛФК, физиопроцедуры.

МКБ-10

image

Общие сведения

Туберкулезный плеврит – специфическая реакция листков плевры, обусловленная воздействием микобактерий туберкулеза. Туберкулезный плеврит может развиваться как самостоятельная форма туберкулезной инфекции либо сопровождать течение других клинических вариантов туберкулеза легких. Иногда поражение плевры служит проявлением полисерозита – воспаления серозных оболочек туберкулезной этиологии. В структуре туберкулеза органов дыхания туберкулезный плеврит составляет 8-14%. Распространен преимущественно среди лиц молодого возраста (до 40 лет), несколько чаще болеют мужчины. На долю плеврита туберкулезного генеза приходится почти половина всех экссудативных плевритов, что не может не вызывать настороженности специалистов в области фтизиатрии и пульмонологии.

image

Причины

В большинстве случаев туберкулезный плеврит развивается на фоне активного туберкулеза легких: очагового, инфильтративного, диссеминированного, туберкулеза ВГЛУ, первичного туберкулезного комплекса и пр. Изредка возникает как самостоятельная клиническая форма в отсутствие признаков туберкулезного поражения других органов. У больного туберкулезом плевритом может осложниться спонтанный или искусственный пневмоторакс (коллапсотерапия).

Микобактерии туберкулеза проникают в плевральную полость одним их трех возможных способов: контактным путем (из легочных очагов распада субплевральной локализации), лимфогенным путем (при распространении по лимфатическим путям) и гематогенным путем (по системе кровеносных сосудов при наличии бактериемии). Источником распространения МБТ в плевру служат внутригрудные лимфатические узлы или реактивировавшиеся очаги туберкулеза в легком. Необходимым условием развития туберкулезного плеврита является специфическая сенсибилизация плевральных листков.

Благоприятствуют возникновению туберкулезного процесса в плевре следующие факторы:

  • переохлаждение
  • гиповитаминозы и недостаточное питание
  • прием ГКС и иммунодепрессантов
  • сопутствующие заболевания (онкопатология, сахарный диабет)
  • тесный контакт с больным туберкулезом.

Патогенез

В ответ на внедрение МБТ развивается воспалительный отек, гиперемия и утолщение плевральных листков. Вскоре на них появляются множественные милиарные бугорки, иногда – более крупные очаги с казеозным некрозом. Указанные изменения сопровождаются выраженной экссудативной реакцией – пропотеванием и накоплением жидкости в плевральной полости. Характер экссудата (фибринозный, серозный, кровянистый, гнойный) зависит от патоморфологических изменений в плевре.

Классификация

В зависимости от наличия/отсутствия и характера выпота туберкулезные плевриты бывают фибринозными (сухими) и экссудативными (выпотными). В последнем случае может встречаться серозный, геморрагический, холестериновый, гнойный экссудат.

  • Фибринозный (сухой) плеврит протекает с минимальным количеством экссудата, в котором повышено содержание фибрина. Жидкая часть экссудата быстро рассасывается, а фибрин откладывается на плевральных листках. Со временем между плевральными листками образуются фиброзные тяжи, полость плевры частично или полностью облитерируется – сухой плеврит переходит в адгезивный (слипчивый) плеврит.
  • Экссудативный (выпотной) плеврит. Самый частый вариант туберкулезного плеврита — экссудативный. Количество выпота обычно значительное, экссудат быстро прибывает вновь после аспирации в ходе торакоцентеза. По преобладающему клеточному составу различают следующие виды экссудата: лимфоцитарный, эозинофильный и нейтрофильный. При резком повышении проницаемости капилляров плевры и выходе большого числа эритроцитов характер экссудата становится серозно-геморрагическим или геморрагическим. Холестериновый экссудат имеет густую консистенцию, желтый цвет, в нем определяется большое количество холестерина. Серозно-гнойный и гнойный экссудат обычно образуется при обширной казеозно-некротической реакции плевры.

По локализации различают верхушечный, междолевой, костальный, наддиафрагмальный, парамедиастинальный туберкулезный плеврит. Обычно поражение одностороннее, двусторонний плеврит туберкулезной этиологии развивается редко (1,5%). В клиническим плане наиболее значимо выделение следующих видов туберкулезного плеврита: аллергического, перифокального, туберкулеза плевры и гнойного плеврита. В течении туберкулезного плеврита выделяют 3 периода:

  • 1) накопления экссудата и нарастания клинических проявлений
  • 2) стабилизации
  • 3) рассасывания экссудата и стихания клинических признаков.

Симптомы туберкулезного плеврита

Аллергическая форма плеврита возникает у лиц с первичным туберкулезом, имеющих повышенную чувствительность к туберкулину и склонных к выраженной гиперергической реакции. Клиника разворачивается остро: резко повышается температура тела, фебрилитет сохраняется в течение 10-14 дней. Поскольку в это время происходит быстрое накопление серозного выпота, возникает одышка, боль в боку, тахикардия. Резорбция экссудата происходит в течение месяца, однако при большом объеме выпота этот процесс может принимать затяжное течение. Одновременно с плевритом (иногда до или после него) появляются фликтены, узловатая эритема, полиартрит.

Перифокальный туберкулезный плеврит начинается подостро или исподволь. Нередко пациенты связывают появление симптомов с предшествующим переохлаждением или ОРВИ. Больных беспокоит сухой кашель, покалывание в груди, непостоянный субфебрилитет. Усиление боли в боку провоцируется глубоким дыханием, положением на больном боку, надавливанием на межреберья. Болевой синдром нередко принимается за миозит, плексит, межреберную невралгию, стенокардию, а при иррадиации в живот – за приступ острого холецистита.

Если перифокальный плеврит протекает с накоплением серозного экссудата, клиническая картина становится более выраженной: повышенная температура тела определяется постоянно, возникает тахикардия, одышка, потливость. Течение перифокального туберкулезного плеврита затяжное (4-6 недель), часто рецидивирующее.

Туберкулез плевры может протекать в форме диссеминированного, очагового процесса, казеозно-некротической реакции. Может сопровождаться накоплением серозного, серозно-гнойного или гнойного выпота. Течение туберкулеза плевры упорное и длительное. Начало заболевания подострое или малосимптомное. Преобладают симптомы интоксикации и лихорадка.

Особой разновидностью экссудативного туберкулезного плеврита служит эмпиема плевры. Клиническая картина характеризуется интоксикацией тяжелой степени: температурой тела выше 39°С, ознобами, ночными потами, выраженной слабостью. Постепенно нарастает одышка и тахикардия, появляются тянущие боли в боку, снижается масса тела. Возможно образование бронхоплеврального свища, о чем свидетельствует откашливание гнойного экссудата. Длительно существующий гнойный плеврит может осложниться флегмоной грудной стенки, образованием плевроторакального свища, амилоидозом внутренних органов.

Диагностика

Различные формы туберкулезного плеврита имеют свои характерные физикальные, аускультативные, рентгенологические и лабораторные данные. Поэтому при малейших подозрениях на туберкулезную этиологию заболевания пациент должен быть проконсультирован фтизиатром.

  1. На аллергический характер туберкулезного плеврита указывает выраженная эозинофилия в крови и плевральном экссудате. В ходе диагностической плевральной пункции получают серозный экссудат, однако МБТ в нем, как правило, не обнаруживаются. При проведении видеоторакоскопии может определяться гиперемия плевральных листков.
  2. При фибринозном плеврите пораженная сторона грудной клетки отстает при дыхании, выслушивается шум трения плевры, определяется укорочение перкуторного звука. При проведении рентгенографии легких обнаруживаются плевральные наслоения (шварты). По данным УЗИ плевральной полости экссудат не выявляется или определяется в скудном количестве.
  3. Иная картина типична для экссудативного туберкулезного плеврита. Физикальное обследование выявляет сглаженность (при большом объеме экссудата – выбухание) межреберий, притупление перкуторного звука над областью скопления экссудата, смещение структур средостения в здоровую сторону. В острой фазе изменения гемограммы характеризуются значительным лейкоцитозом и ускорением СОЭ, лимфо- и эозинопенией. При рентгенологическом и ультразвуковом исследовании определяется свободная жидкость в полости плевры. Детальная оценка состояния легочной ткани возможна только после эвакуации экссудата. Диагноз гнойного плеврита подтверждается при получении гнойного экссудата во время плевральной пункции.

Плеврит туберкулезной этиологии требует дифференциации с плевритами, сопровождающими пневмонию, мезотелиому плевры, рак легкого, ТЭЛА, застойную сердечную недостаточность, коллагенозы. В сомнительных случаях верификации диагноза способствует:

Лечение туберкулезного плеврита

Лечение стационарное. В период экссудации и лихорадки назначается постельный режим. Рекомендуется питание с ограничением соли и жидкости, большим количеством белка и витаминов. При любом клиническом варианте туберкулезного плеврита назначается терапия 3-4-мя противотуберкулезными препаратами (изониазид, рифампицин, этамбутол, пиразинамид, стрептомицин) не менее чем на 9 месяцев. При выраженной экссудации и гиперергии проводится курс лечения кортикостероидами (преднизолоном) – это позволяет добиться прекращения дальнейшего накопления выпота.

В случае продолжающейся экссудации проводятся повторные плевральные пункции с введением химиопрепаратов в полость плевры. Добиться скорейшего расправления легкого и облитерации плевральных листков помогает дренирование плевральной полости с наложением активной вакуумной аспирации. В период резорбции экссудата применяются НПВС, электрофорез, дыхательная гимнастика.

При наличии бронхоплеврального свища требуется его хирургическое закрытие. При туберкулезной эмпиеме плевры может выполняться интраплевральная торакопластика, плеврэктомия с декортикацией легкого.

Прогноз и профилактика

При своевременном и полноценном лечении туберкулезного плеврита прогноз благоприятный. Летальность от туберкулеза плевры (главным образом от хронической эмпиемы плевры) составляет 1-2%. У пациентов, не получавших лечение, или получавших его не в полном объеме, в ближайшие три года может развиться диссеминированный туберкулез легких. Профилактика туберкулезного плеврита такая же, как и при других клинических формах инфекции (проведение вакцинации и туберкулинодиагностики среди детей и подростков, профилактической флюорографии среди взрослого населения, исключение контактов с больными туберкулезом и т. д.).

Читайте также:

Ссылка на основную публикацию
Похожее