Пн-пт: 09:00—20:00; сб: 09:00—16:00 по предварительной записи
whatsapp telegram vkontakte email

Всегда ли затемнения в легких признак туберкулеза

Туберкулез — это заболевание, которое для многих звучит как приговор. Другие считают, что эта болезнь возникает только у неблагополучных людей. Однако туберкулез легких — это излечимое заболевание, которое получает все большее распространение в наши дни среди всех слоев населения. Поэтому важно знать, как выглядит туберкулез на снимке и как его отличить от других патологий, поражающих легкие.

Что можно увидеть при помощи флюорографии

Данный способ диагностики очень распространен для раннего выявления патологии легких. Это рентгенологический метод, который заключается в отражении рентгеновских лучей от тканей внутренних органов. Ткани разной плотности по-разному способны отражать излучение, что и дает возможность увидеть их на снимке.

Что показывает флюорография легких? С ее помощью можно увидеть такие изменения органов грудной клетки:

  • нарушения структуры тканей легкого;
  • воспаление паренхимы легкого;
  • наличие новообразований;
  • болезни сердца и сосудов;
  • очаги туберкулеза легких;
  • разрастание соединительной ткани в легких;
  • наличие полостей: кисты, абсцесса (гнойной полости);
  • профессиональные заболевания дыхательной системы, связанные с накоплением в легких пыли или других вредных выбросов (пневмокониоз, антракоз, саркоидоз).

image

Показания к флюорографии

Этот диагностический метод используется как в профилактических целях (один раз в год), так и при определенных недугах:

  • выяснение причины кашля, болей в грудной клетке, одышки;
  • подозрение на наличие воспаления легких (пневмонии);
  • наличие патологии сердца и сосудов (атеросклероз, аневризма аорты, патология сердечных клапанов);
  • контакт с больным туберкулезом;
  • подозрение на инфицирование ВИЧ;
  • поиск инородных тел в дыхательных путях и верхних отделах желудочно-кишечного тракта.

Противопоказания к флюорографии и рентгену

Хотя выявление очагов туберкулеза на рентгене — наиболее информативный способ диагностики данного заболевания, рентгенологическое обследование связано с лучевой нагрузкой, а поэтому к его проведению есть ряд противопоказаний:

  • возраст ребенка до 15 лет;
  • тяжелое состояние больного, при котором его невозможно транспортировать в рентген-кабинет;
  • беременные женщины, особенно в период первого триместра, так как тогда происходит формирование органов ребенка;
  • женщины в период лактации;
  • дыхательная недостаточность с тяжелым течением.

Отличия флюорографии и рентгена

При необходимости обследовать органы дыхательной системы у многих возникает вопрос о том, что выбрать: флюорографию или рентген легких.

Флюорография — более дешевый способ, так как для его проведения нужно меньшее количество пленки. Кроме того, для ее проявления не нужно использовать специальные приборы, снимки проявляются сразу же на пленке. Ввиду своей высокой доступности флюорография получила широкое распространение при профилактических осмотрах.

image

Однако она не так точна и информативна, как рентген. Поэтому для постановки точного диагноза и контроля над заболеванием в динамике необходимо провести рентгенографию органов грудной клетки. Еще один плюс рентгена — меньшая лучевая нагрузка, поэтому при необходимости рентген-диагностики беременным и детям назначается именно этот метод.

Как проявляется патология легких на рентгене

При развитии патологического процесса в легочной ткани наиболее характерный рентгенологический симптом — наличие тени в легком. Поэтому у многих может возникнуть вопрос по поводу затемнения в легких на флюорографии. Что это обозначает?

Затемнение может быть тотальным (покрывать всю легочную ткань) и локальным (занимать небольшой участок). Тотальное затемнение представляет собой тень белого света без четких контуров, занимающую большую часть легких. Она может быть как одно-, так и двусторонней.

Ограниченную тень рентгенологи подразделяют на очаг и инфильтрат. Очаг имеет диаметр до 10 мм, а инфильтрат — более 10 мм. Инфильтрат не имеет четких контуров и чаще всего возникает при пневмонии (воспалении легких), плеврите (воспалении плевры — оболочки, окружающей легкое).

При ответе на вопрос о том, что это — затемнение легких на флюорографии, стоит также отдельно выделить симптом одиночной округлой тени. Как правило, она представляет собой очаг размером 10-15 мм и может появляться при таких заболеваниях:

  • туберкулема;
  • периферическая опухоль;
  • абсцесс;
  • киста;
  • аневризма артерии (мешкообразное выпячивание ее стенки).

Множественные округлые тени могут быть проявлением того, как выглядит туберкулез на снимке. Также они характерны для раковых метастазов в легкие.

Виды туберкулеза

То, как выглядит туберкулез на рентгеновских снимках, непосредственно определяет вид этого заболевания.

Выделяют следующие рентгенологические типы туберкулеза:

  • инфильтративный;
  • кавернозный;
  • фиброзно-кавернозный;
  • диссеминированный;
  • цирротический;
  • первичный туберкулез.

image

Инфильтративная форма

Это наиболее распространенная форма туберкулеза, которая встречается более чем в 60 % случаев. Она характеризуется распространенным некрозом (гибелью) ткани легкого. В зависимости от того, что показывает флюорография легких, выделяют несколько подтипов инфильтративного туберкулеза:

  • круглый инфильтрат — затемнение овальной или округлой формы в верхних отделах легких, чаще всего под ключицей;
  • облаковидный инфильтрат — тень однородной структуры с неровными границами;
  • краевой инфильтрат — тень имеет форму треугольника, вершина которого направлена к корню легкого;
  • дольковый инфильтрат — представляет собой группу слившихся очагов различной плотности;
  • лобит — тень больших размеров, охватывающая целую долю легкого, имеет неоднородную структуру.

image

Кавернозная форма

Кавернозный туберкулез на рентгене характеризуется наличием полостей, или каверн. Они образуются при некрозе и распаде легочной ткани. При продолжительном течении заболевания вокруг полости разрастается соединительная ткань, тогда возникает другая форма туберкулеза — фиброзно-кавернозная.

Все каверны при туберкулезе можно поделить на несколько групп в зависимости от их структуры:

  • капсулированные — полость имеет стенку из трех слоев (капсулу);
  • санированные — полости не содержат гноя и остаются после выздоровления;
  • эластические — полости имеют нагноение внутри, а их стенка состоит из двух слоев;
  • фиброзные — образование соединительнотканной оболочки вокруг, что свидетельствует о переходе в следующую форму.

На рентгене кавернозный тип туберкулеза выглядит следующим образом:

  • белая округлая тень (затемнение), в центре которой определяется черная легочная ткань (просветление);
  • четкие контуры тени;
  • возможно наличие так называемой дорожки к корню легкого.

Наиболее частая локализация каверн — верхние отделы легких, под ключицей.

image

Фиброзно-кавернозная форма

Является свидетельством хронического туберкулезного процесса. Происходит деформация ткани легкого и верхних дыхательных путей (трахеи, бронхов). При таком течении заболевания характерно чередование обострений (с кашлем, кровохарканьем, одышкой) и ремиссии, когда больного ничего не беспокоит.

Описание снимков туберкулеза при фиброзно-кавернозной форме имеет следующие особенности:

  • полость с более толстой и ярко выраженной стенкой, чем при кавернозном туберкулезе;
  • смещение трахеи в сторону образования каверны;
  • деформация легочного рисунка;
  • размещение полостей в верхних отделах.

image

Диссеминированная форма

Эту форму туберкулеза можно поделить на острую, подострую и хроническую. Как правило, развивается остро со стремительным распространением туберкулезных палочек по всему организму.

Выделяют еще одну классификацию в зависимости от способа распространения микобактерий:

  • гематогенное — на рентгене проявляется более крупным размеров очагов, находящихся в верхних отделах легких;
  • лимфогенное — очаги среднего размера, размещенные преимущественно в нижних отделах;
  • лимфобронхогенное — характерно одностороннее поражение в нижних отделах легкого.

То, как выглядит туберкулез на снимке, зависит как от характера его распространения, так и от остроты процесса. Наиболее характерный подтип диссеминированного туберкулеза — милиарный туберкулез. Он представляет собой острую, чаще всего гематогенную инфекцию.

Ниже перечислены основные его признаки на рентгене:

  • большое количество мелких очагов, несколько миллиметров в диаметре;
  • очаги равномерно распространены по всему легочному полю;
  • иногда очаги сливаются;
  • корни легких несколько приподняты;
  • иногда объем легочной ткани становится меньше.

Цирротическая форма

Данный вид туберкулезного процесса отличается масштабным разрушением легочной ткани и разрастанием на ее месте соединительных волокон.

На рентгене цирротическая форма проявляется следующим образом:

  • массивное затемнение высокой плотности, выглядит как ярко-белая тень;
  • уменьшение объема пострадавшего легкого;
  • пористый вид легочного рисунка в нижних отделах;
  • смещение корня легкого и тени органов средостения в больную сторону.

image

Первичный туберкулез

Эта форма туберкулеза поражает детей или пожилых людей. Выделяют три подтипа:

  • туберкулез невыясненной локализации;
  • туберкулез внутригрудных лимфатических узлов;
  • первичный туберкулезный комплекс.

При первом подтипе, несмотря на наличие симптоматики, изменения в легких на рентгене выявить не удается. Поэтому необходимо дальнейшее обследование для выяснения локализации патологического процесса.

При втором подтипе поражаются лимфатические узлы средостения: парабронхиальные, парааортальные, паратрахеальные. То, как выглядит туберкулез на снимке, напрямую зависит от локализации пораженных лимфатических узлов:

  • характерно расширение корня легкого с размытыми краями;
  • возможно наличие неоднородности полей легкого.

Первичный туберкулезный комплекс определяется на рентгене при наличии таких трех признаков:

  • «дорожка», которая идет к корню легкого (лимфангит);
  • расширение корня, связанное с воспалением лимфатического узла (лимфаденит);
  • очаг высокой плотности в ткани легкого, возникающий при отложении солей кальция (очаг Гона).

Дифференциальная диагностика туберкулеза

Как правило, при постановке диагноза туберкулеза с помощью рентгена необходимо уметь отличать его от рака легкого и пневмонии. Часто разницы на снимках пневмонии и туберкулеза, особенно при инфильтративной форме, практически нет. Однако есть и некоторые отличия. Пневмония обычно представляет собой одностороннее поражение, в то время как туберкулез в большинстве случаев поражает легочную ткань с двух сторон.

Кроме того, инфильтрат при пневмонии локализуется в нижних отделах, а при туберкулезе — в верхних. Инфильтрат более выражен при туберкулезе, часто имеются очаги деструкции, диссеминации.

Также нужно отметить, отличается ли на снимках рак от туберкулеза. Иногда сделать это довольно сложно, особенно при очаговых формах туберкулеза. Поможет в этом ряд следующих признаков:

  • раковая тень интенсивна, с более размытыми контурами;
  • тень при раке в большинстве случаев имеет однородную структуру;
  • рост туберкулезного процесса, если нет диссеминации, ограничен плеврой, а поэтому не прорастает в соседние доли легкого;
  • рак может разрастаться на соседние доли.

Диагностика туберкулеза при помощи рентгена достаточно сложна, и только врач может поставить окончательный диагноз и назначить эффективное лечение. Ведь туберкулез — это не приговор!

image

Анатомическое строение легких, их способность наполняться воздухом, беспрепятственно пропускающим рентгеновское излучение, позволяет получить при проведении рентгеноскопии, снимок, в деталях отражающий все структурные элементы легких. Однако, затемнение в легких на рентгене, далеко не всегда отображает изменения в тканях самого легкого, поскольку на уровне легких находятся другие органы грудной клетки и, следовательно, пучок излучения, проходя сквозь тело, проецирует на пленке наложенное друг на друга изображение всех органов и тканей, попадающих в его диапазон.

В связи с этим, при обнаружении любого затемненного образования на снимке, перед тем как ответить на вопрос, что это может быть, необходимо провести четкую дифференцировку локализации патологического очага (в тканях грудной клетки, диафрагме, плевральной полости или, непосредственно, в легких).

Основные синдромы на рентгенограмме

На рентгенографическом снимке, выполненном в передней проекции, контуры легких образуют легочные поля, по всей площади, пересекаемые симметричными тенями ребер. Крупная тень, между легочными полями образуется совокупным наложением проекции сердца и магистральных артерий. В пределах контура легочных полей, можно увидеть корни легких, расположенные на одном уровне с передними концами 2 и 4 ребер и незначительное затемнение площади, вызываемое богатой сосудистой сетью, располагающейся в ткани легких.

Все патологические изменения, отражаемые на рентгене можно разделить на три группы.

Появляются на снимке, в тех случаях, когда здоровая часть легкого замещается патологическим образованием или веществом, вызывая вытеснение воздушной части более плотными массами. Как правило, наблюдается при следующих заболеваниях:

  • закупорка бронха (ателектаз);
  • накопление воспалительной жидкости (пневмония);
  • доброкачественное или злокачественное перерождение тканей (опухолевый процесс).

Эту группу изменений можно считать наиболее распространенной. Несмотря на огромный перечень патологий легких, все возможные изменения рентгенологической картины можно отнести к одному из 5 синдромов:

  • тотальное (полное) или субтотальное (практически полное) затемнение;
  • ограниченное затемнение;
  • круглая (шаровидная) тень;
  • кольцевидная тень;
  • очаговое затемнение.

Синдром тотального затемнения

Тотальное затемнение легкого на рентгеновском снимке представляет собой полное или частичное затемнение (не менее 2/3 легочного поля). При этом возможны просветы в верхней или нижней части легкого. Основными физиологическими причинами проявления такого синдрома являются отсутствие воздуха в полости легкого, увеличение плотности ткани всей поверхности легкого, содержание в плевральной полости жидкости или какого-либо патологического содержимого.

К болезням, способным вызвать подобный синдром можно отнести:

  • ателектаз;
  • цирроз;
  • экссудативный плеврит;
  • пневмония.

Для осуществления дифференциальной диагностики заболеваний, опираться необходимо на два основных признака. Первый признак заключается в оценке расположения органов средостения. Оно может быть правильным или со смещением, обычно в сторону противоположную очагу затемнения. Основным ориентиром при выявлении оси смещения является тень сердца, находящаяся большей частью левее средней линии груди, а меньшей правее, и желудок, наиболее информативной частью которого, является воздушный пузырь, всегда четко просматриваемый на снимках.

Второй признак, позволяющий идентифицировать патологическое состояние – это оценка однородности затемнения. Так, при однородном затемнении, с высокой долей вероятности можно диагностировать ателектаз, а при неоднородном – цирроз. Расшифровка результатов, полученных при помощи рентгенографического метода, заключается в комплексной оценке всех визуально обнаруженных патологических элементов в сопоставлении с анатомическими особенностями каждого конкретного пациента.

Синдром ограниченного затемнения

Для выявления причин появления ограниченного затемнения легочного поля, необходимо выполнить снимок в двух направлениях – в прямой проекции и боковой. По результатам полученных изображений, важно оценить какова локализация очага затемнения. Если тень на всех снимках находится внутри легочного поля, и сходится размерами с его контурами или имеет меньший объем, логично предположить поражение легкого.

При затемнении, примыкающем широким основанием к диафрагме или органам средостения можно диагностировать внелегочные патологии (жидкостные включения в плевральной полости). Другой критерий оценки ограниченных затемнений – это размер. В этом случае следует рассматривать два возможных варианта:

  • Размер затемнения четко повторяет контуры пораженной части легкого, что может свидетельствовать о воспалительном процессе;
  • Размер затемнения меньше нормальных размеров, пораженного сегмента легкого, что говорит о циррозе легочной ткани или закупорке бронха.

Особо следует выделить случаи, при которых имеется затемнение нормальных размеров, в структуре которых прослеживаются светлые очаги (полости). В первую очередь, в этом случае, необходимо уточнить, содержится ли в полости жидкость. Для этого выполняют серию снимков в различных положениях больного (стоя, лежа или при наклоне) и оценивают изменения в уровне, предполагаемой верхней границы жидкостного содержимого. Если жидкость присутствует, диагностируют абсцесс легкого, а если ее нет, то вероятный диагноз – туберкулез.

Синдром круглой тени

Синдром круглой тени констатирую тогда, когда пятно на легких имеет круглую или овальную форму на двух выполненных перпендикулярно друг другу снимках, то есть спереди и сбоку. Для расшифровки результатов рентгенографии при обнаружении круглой тени опираются на 4 признака:

  • форма затемнения;
  • локализация затемнения относительно близлежащих органов;
  • четкость и толщина ее контуров;
  • структура внутреннего поля тени.

Поскольку тень, отраженная на снимке, в пределах легочного поля, может в действительности находиться за его пределами, оценка формы затемнения может существенно облегчить диагностику. Так, округлая форма характерна для внутрилегочных образований (опухоль, киста, инфильтрат, наполненный воспалительным содержимым). Овальная тень в большинстве случаев является результатом сдавливания круглого образования, стенками легкого.

Высокую информативность имеет, и структура внутреннего поля тени. Если при анализе результатов, очевидна неоднородность тени, например, более светлые очаги, то с высокой степенью вероятности, можно диагностировать распад некрозированной ткани (при распадающемся раке или распаде туберкулезного инфильтрата) или формирование полости. Более темные участки, могут говорить о частичной кальцинации туберкуломы.

Четкий и плотный контур, свидетельствует о наличии фиброзной капсулы, характерной для эхинококковой кисты. К синдрому круглой тени относят только те тени, которые имеют в диаметре более 1 см, тени меньшего диаметра считаются очагами.

Синдром кольцевидной тени

Кольцевидное пятно на легком на рентгене, является наиболее простым для выполнения анализа синдромом. Как правило, кольцевидная тень появляется на рентгене в результате формирования полости, наполненной воздухом. Обязательным условием, при котором обнаруженное затемнение относят к синдрому кольцевидной тени – это сохранение замкнутого кольца при выполнении снимков во всех проекциях и в различных положениях тела пациента. Если хотя бы на одном из серии снимков кольцо не будет иметь замкнутое строение, тень можно считать оптической иллюзией.

При обнаружении полости в легком следует оценить равномерность и толщину ее стенок. Так, при большой и равномерной толщине контура, можно предполагать воспалительное происхождение полости, например, туберкулезная каверна. Аналогичная картина наблюдается при абсцессе, когда происходит гнойное расплавление тканей с удаление содержимого через бронхи. Однако при абсцессе, остатки гноя, чаще всего, продолжают находиться в полости и их полное удаление довольно редкое явление, поэтому обычно такая полость – это туберкулезная каверна.

Синдром очагового затемнения

Пятна на легких размером более 1 мм и менее 1 см считаются очагами. На рентгеновском снимке можно увидеть от 1 до нескольких очагов, расположенных на значительном расстоянии друг от друга или группой. Если площадь распределения очагов не превышает по площади 2 межреберных пространства, поражение (диссеминация) считается ограниченным, а при распределении очагов на большей площади – диффузным.

Основными критериями оценки очаговых затемнений считаются:

  • площадь распространения и расположение очагов;
  • контуры затемнений;
  • интенсивность затемнений.

При расположении одного или нескольких затемнений в верхних отделах легкого – однозначный признак туберкулеза. Множество очагов при ограниченном распространении является признаком очаговой пневмонии или результатом распада туберкулезной каверны, расположенной, как правило, несколько выше обнаруженных очагов. В последнем случае, на снимке может наблюдаться еще и круглая или кольцевидная тень.

В качестве причины появления одиночного затемнения в любой части легкого, в первую очередь, рассматривают вероятность развития рака или метастаза опухоли. Об этом же свидетельствуют четкие контуры тени. Нечеткие контуры свидетельствуют о воспалительном происхождении затемнений.

Для оценки интенсивности затемнений, их сравнивают с изображением сосудов, визуализирующихся на снимке. Если выраженность очага уступает тени сосуда – это малоинтенсивное затемнение, характерное для очаговой пневмонии или инфильтрированного туберкулеза. При среднем и сильном затемнении очага, когда выраженность равна или темнее сосудистого рисунка, можно судить о затухании туберкулезного процесса.

Поскольку обширная диссеминация очагов может свидетельствовать о более 100 заболеваниях, для разграничения причин, следует оценивать размеры затемнений. Так, мельчайшие очаги, покрывающие всю площадь легкого, могут означать пневмокониоз, милиарный туберкулез или очаговую пневмонию.

Важно! Независимо от того, какие изменения наблюдаются на рентгеновском снимке легких, при анализе результатов следует учитывать присутствие нормального легочного рисунка, для которого характерно присутствие теней сосудистой системы.

В подавляющем большинстве случаев на основании рентгенографии легких нельзя поставить окончательный диагноз, так как анализ полученного снимка позволяет выявить лишь синдром, характерный для того или иного заболевания. Если рентген показал затемнение какого-либо участка, то для уточнения диагноза и оценки динамики развития болезни, необходимо провести комплекс лабораторных исследований и дополнительную диагностику с помощью МСКТ, бронхографии, биопсии и т. д.

Симптомы туберкулеза легких разнообразны и зависят в первую очередь от формы туберкулеза и состояния иммунной системы заболевшего человека. Человек может несколько месяцев болеть туберкулезом и не подозревать об этом, а может резко слечь в постель и это будет выглядеть как острая пневмония или острая респираторная вирусная инфекция (ОРВИ). Начальные признаки туберкулеза легких схожи с признаками при многих других заболеваниях, что зачастую затрудняет постановку правильного диагноза.

Симптомы на ранних стадиях

  1. быстрая утомляемость
  2. легкое недомогание
  3. незначительное снижение аппетита
  4. умеренное снижение веса
  5. повышение температуры тела до субфебрильных цифр — 36,9-37,2 С

При появлении небольшого распада при инфильтративном туберкулезе или туберкулеме легких к ранним симптомам может присоединиться:

  1. кровохарканье
  2. умеренный кашель с незначительным количеством мокроты

Мокрота при туберкулезе легких имеет белый цвет и не имеет запаха. Кровохарканье, как ранний признак при малых туберкулезных процессах, встречается довольно редко, но зато по сравнению с остальными жалобами данный симптом чаще всего наталкивает специалистов общей лечебной сети и пациентов на мысль о туберкулезе.

Лабораторные признаки в ОАК (лейкоциты, СОЭ, лейкоцитарная формула) на этой стадии могут быть в норме. Бактериоскопия в подавляющем большинстве случаев отрицательная, а вот посев промывных вод бронхов может дать положительный результат.

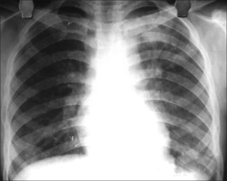
Довольно часто туберкулез на раннем этапе развития становится рентгенологической находкой при очередном прохождении флюорографии при профосмотре.

image

Ограниченный туберкулезный процесс в верхней доле правого легкого

В целом, в начале заболевания состояние заболевших детей и взрослых будет будет мало отличаться от здорового человека. Единственное обследование при данных формах туберкулеза, которое действительно способствует раннему обнаружению туберкулеза легких — это флюорографическое обследование (а еще лучше обзорная рентгенография органов грудной клетки). Именно поэтому флюорография легких входит во все медосмотры и профосмотры.

К более выраженным поражениям легких при туберкулезе относятся:

  1. Милиарный
  2. Диссеминированный
  3. Казеозная пневмония

Все они отличаются обширным поражением легочной ткани уже на ранних этапах развития туберкулеза, в связи с чем имеют более выраженные признаки даже в начале заболевания.

Пациенты начинают предъявлять жалобы на:

  1. выраженное недомогание
  2. быструю утомляемость
  3. повышение температуры тела от субфебрильных цифр до 39-40 С
  4. слабость
  5. плохой аппетит или его отсутствие
  6. ночную потливость
  7. сухой мучительный кашель или кашель с мокротой
  8. возможно кровохарканье
  9. одышку при умеренной физической нагрузке
  10. похудание

Это уже довольно существенные признаки и на них уже нельзя не обратить внимание. Хотя нередко бывают случаи, когда эти жалобы больные списывают на что угодно и на обследование к врачу не идут. Хотя бывают случаи, когда сами врачи в данных ситуациях не распознают туберкулез легких и лечат обострение хронического бронхита, бронхопневмонию или пневмонию, но это скорее исключение из правил. В большинстве же случаев, при подобных жалобах пациенты все же обращаются к терапевту, который, при наличии столь обильного количества симптомов и признаков, для исключения туберкулеза легких направляет пациента на рентгенологическое дообследование, где окончательно ставится жирная точка в постановке диагноза.

Из лабораторных признаков: чаще всего повышено СОЭ от 15 до 60 мм/ч, лимфоцитоз , количество лейкоцитов будет в норме или немного повышено.

Симптомы на поздних стадиях

Если же, по каким-либо причинам, туберкулезный процесс перешел в хроническую форму (например, фиброзно-кавернозный процесс), то симптомы несколько изменятся. Пациента также будет беспокоить кашель с мокротой, субфебрильная температура тела, будет нарастать одышка, увеличится риск кровохарканья или даже кровотечения. При фиброзно-кавернозном туберкулезе течение заболевания чаще всего носит волнообразный характер, в связи с чем симптомы туберкулеза легких будут то более выраженные, то менее выраженные. У больных хроническим туберкулезом легких характерный внешний вид: они худощавы, цвет лица может быть бледноватый с сероватым оттенком. Даже по внешнему виду видно, что человек явно нездоров.

Раз в год всем жителям страны предлагается пройти профилактический медицинский осмотр. В него обязательно входит флюорография легких. Это делается для того, чтобы предупредить появление и развитие туберкулеза в самом начале.

Дело в том, что в нашей стране с каждым годом все увеличивается количество людей, заболевших туберкулезом. Хотя и смертность от этой болезни постепенно уменьшается.

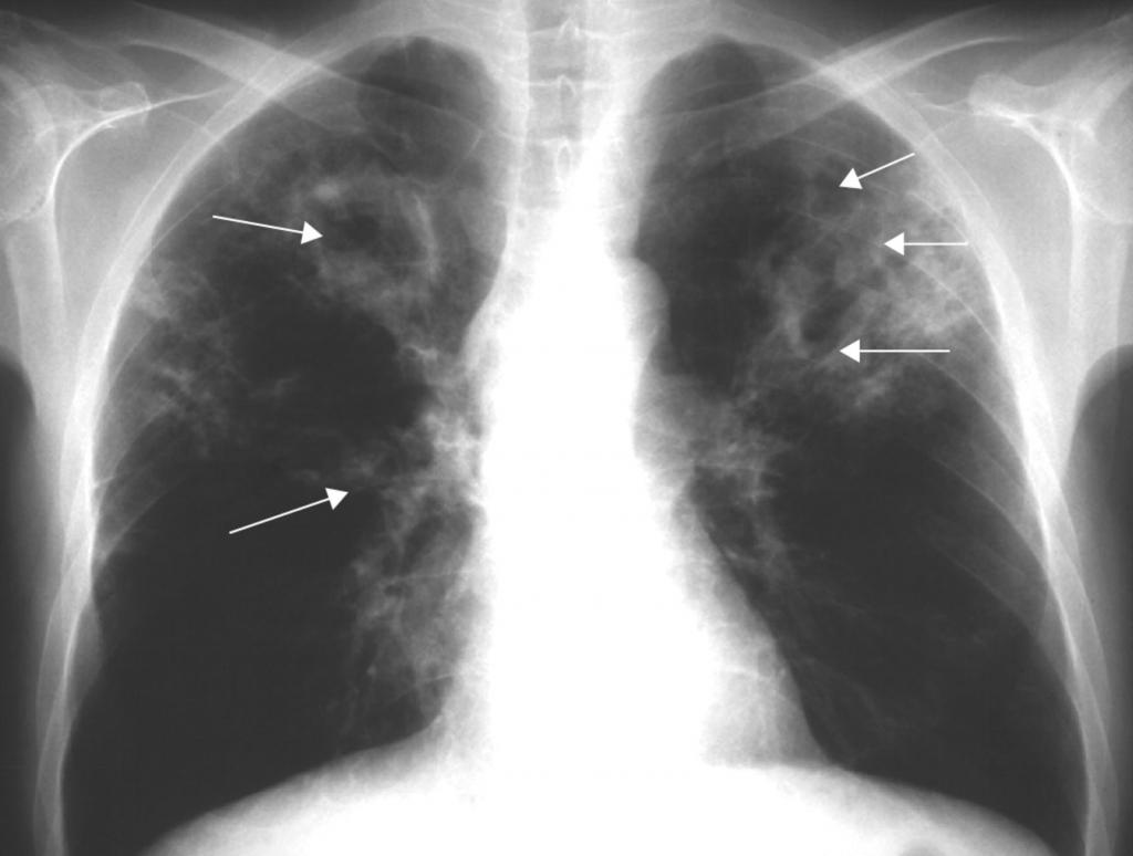
Иногда на снимке заметно бывает некоторое затемнение легких. Многие люди, узнав про это, поддаются панике. А зря. Сначала надо выяснить причину. Ведь не всегда пятна на легких при флюорографии могут означать серьезное заболевание. Затемнения в легких бывает по многим причинам.

Какие бывают виды затемнений

Для начала надо разобраться, какие бывают виды темных пятен и каково их происхождение.

image Выделяют несколько типов потемнений в легких на рентгене:

  • очаговые,
  • фокусные,
  • сегментарные,
  • долевые,
  • содержащие жидкость,
  • неопределенной формы.

Что подразумевается под очаговыми затемнениями? Это маленькие пятнышки в виде узелков. Они могут проявляться при опухолях и воспалениях, сосудистых нарушениях. Но только по одному снимку нельзя сделать вывод о заболевании. Надо пройти дополнительное полное обследование. Сюда входят: рентгеновский снимок, компьютерная томография, анализы крови и мочи, исследование мокроты.

При сочетании очаговых затемнений и кашля с повышенной температурой можно предположить о развитии бронхопневмонии.

Иногда анализы крови бывают в норме, а пациент с подобными затемнениями проявляет жалобы на слабость, отсутствие аппетита, сильный кашель. Это может быть признаком развития очагового туберкулеза. Также очаговые затемнения в легких на флюорографии бывают проявлением инфаркта легкого, онкологических процессов в легком и многих других заболеваний.

image Фокусные затемнения – это темные пятна округлой формы, имеющие размер в диаметре больше десяти миллиметров. Их присутствие указывает на многие заболевания, например, на:

  • пневмонию,
  • бронхиальную астму,
  • кисту, наполненную воздухом,
  • туберкулому,
  • абсцесс.

Также можно предположить наличие опухолей. Иногда такое явление свидетельствует о переломе ребра.

Сегментарные затемнения в легких на флюорографии указывают на то, что это:

  • пневмония,
  • рак,
  • наличие инородного тела в легком,
  • туберкулез,
  • метастазы в других органах.

image Все зависит от того, сколько таких сегментов и какой они формы. Часто сегментарные затемнения в легких на флюорографии бывают в виде треугольника. Иногда дети вдыхают мелкие части игрушек, и это прослеживается на флюорографическом снимке как сегментарное пятно на легких.

При долевых затемнениях хорошо видны очертания. Они встречаются разной формы: выпуклой, вогнутой, прямолинейной и т.д. Такое явление может говорить о:

  • возможном хроническом легочном заболевании,
  • циррозе,
  • бронхоэктазии,
  • гнойных воспалениях,
  • опухоли.

Если затемнение содержит жидкость, это значит, что развивается отек легких. Он бывает двух видов:

  1. image Гидростатический отек. Он бывает при повышенном давлении в сосудах. Жидкость при этом выходит из сосуда и попадает в альвеолу, затем наполняет легкое. Это бывает при таких заболеваниях, как: стенокардия и другие сердечнососудистые патологии.
  2. Мембранозный. Бывает, когда токсины вытесняют жидкость из сосудов в легкое.

Темное пятно в легких неопределенной формы указывает на развитие стафилококковой пневмонии. Также это может свидетельствовать об инфаркте легкого, отеке, опухоли, кровоизлиянии, скоплении плевральной жидкости и других заболеваниях, которые надо подтвердить с помощью полного обследования.

Надо сказать, что на снимках бывают не только затемнения, при эмфиземе, например, бывает видно белое пятно в легких на рентгене. Также белые пятна бывают при попадании инородных тел в дыхательные пути.

Как расшифровать результаты флюорографии и что делать дальше?

Часто расположение затемнений может о многом рассказать. Одиночное пятно часто указывает на опухоль. Множественные пятна на легких говорят о наличии туберкулеза, воспалении, скоплении жидкости.

image Если затемнение находится в верхней части легкого, это, скорее всего туберкулез. Пятно с нечеткими границами говорит о развитии пневмонии. Определенная форма затемнения указывает на инфаркт легкого или кровоизлияние. Если человек курит в течение долгого времени, на ФЛГ тоже будут изменения. Легкие курильщика обычно покрыты темными пятнами.

Обычно после прохождения флюорографии человек получает на руки снимок с расшифровкой. В ней встречаются фразы, иногда пугающие пациента.

Надо рассмотреть, что они значат.

  1. Расширение корней на снимке указывает на развитие бронхита или пневмонии.
  2. Фиброзная ткань говорит о перенесенных ранее воспалительных процессах в легких, а также операциях или травмах.
  3. Тяжистые корни бывают у курильщиков или больных бронхитом.
  4. Присутствие кальцинатов говорит о том, что у человека была встреча с больным туберкулезом. Но инфицирования не произошло.
  5. Диафрагма изменена у больных ожирением, плевритом или заболеваниями органов ЖКТ.
  6. Фокусными тенями называются различные затемнения.
  7. Рисунок сосудов усугублен – значит, присутствуют заболевания сердечно-сосудистой системы, а также бронхит или пневмония. Можно предположить даже онкологию.
  8. Синус – значит, есть воздушные полости. Обычно у здоровых людей они заполняются воздухом, а у больных пневмонией или туберкулезом – жидкостью.
  9. Средостения смещены (расширены). Значит, есть патология сердечно-сосудистой системы. Это может быть миокардит, сердечная недостаточность, гипертония.

image Во-первых, надо отставить панику. Иногда бывает так, что аппаратура ошибается или на пленке есть брак. Вследствие этого легкие на снимке тоже могут затемняться. Поэтому сразу поддаваться отчаянию не следует.

Во-вторых, следует обратиться к специалисту. Хорошо, если в городе есть пульмонолог. Если нет, тогда надо идти к фтизиатру. Они работают в любых населенных пунктах. Лечащий врач направит на полное обследование. Оно может включать и проведение Диаскинтеста.

Диаскинтест , новейший эффективный способ исследования человеческого организма на присутствие туберкулеза. Делается он так же, как проба Манту, но является улучшенной ее версией. При проведении этого теста ошибки минимальны.

Далее врач, скорее всего, назначит:

  • общие анализы крови и мочи,
  • биохимические анализы,
  • рентген,
  • посев мокроты на бактерии туберкулеза.

image Может быть назначена компьютерная томография легких, а также бронхоскопия легких или трахеобронхоскопия. При этом верхние дыхательные пути и легкие обследуются при помощи зонда, который вводится через нос. Процедура безвредна и безболезненна.

Это очень эффективное обследование и дает полную картину состояния легких и верхних дыхательных путей. Не стоит от нее отказываться, если врач назначил эту процедуру.

После проведенного полного обследования пациента, сразу становится понятен диагноз, и как его лечить. Поэтому чем раньше будет проведено обследование, раньше начнется соответствующее лечение.

Читайте также:

Ссылка на основную публикацию
Похожее