Пн-пт: 09:00—20:00; сб: 09:00—16:00 по предварительной записи
whatsapp telegram vkontakte email

Кандидоз если не чистить зубы

Обзор

Молочница во рту (кандидоз полости рта) — заболевание, которое развивается в результате активного размножения дрожжеподобных грибов рода Кандида.

Молочница вызывает неприятный привкус, боль и жжение на языке и затруднение глотания. Кандидоз полости рта не заразен, то есть вы не можете передать его другим людям.

Иногда молочница во рту развивается у здоровых новорожденных, если инфекция передается ребенку от матери во время родов. Такое возможно, если грибок присутствовал во влагалище матери (это заболевание называется вагинальный кандидоз). Ребенок может также заразиться при грудном вскармливании.

Молочница также поражает кожу, влагалище у женщин, а у мужчин — головку пениса. В этой статье рассматривается кандидоз полости рта у взрослых, но вам также может быть интересно почитать о:

Симптомы молочницы во рту

image

Симптомы кандидоза полости рта включают в себя:

  • болезненные белые пятна (бляшки) во рту, которые можно легко стереть;
  • боль и жжение на языке;
  • неприятный горький или соленый привкус во рту;
  • покраснение и болезненность во рту и горле;
  • образование трещин на коже в уголках рта (ангулярный стоматит);
  • трудности при глотании.

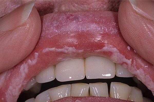
Типичные проявления молочницы во рту вы можете увидеть на фото справа.

Если вы носите вставную челюсть и у вас кандидоз полости рта, места крепления протеза могут покраснеть, и на них появится раздражение. Это называется стоматитом, вызванным ношением протеза. Вы можете испытывать неприятные ощущения при ношении вставной челюсти.

Причины молочницы во рту

Молочница вызвана активным размножением грибка кандида белая, который обычно живет в ротовой полости. Это может быть связано со следующими факторами:

  • прием кортикостероидов посредством ингалятора;
  • прием определенных препаратов, уменьшающих выработку слюны;
  • травма рта;
  • курение;
  • ослабление иммунитета (иммунодефицит);
  • хроническое заболевание, например, рак или ВИЧ.

Кортикостероиды могут приниматься для снятия воспаления (опухания) и лечения ряда заболеваний, таких как:

  • некоторые виды рака;
  • артрит — заболевание, вызывающее воспаление костей и суставов;
  • экзема — хроническое заболевание, вызывающее зуд, сухость и покраснение кожи, а также образование на ней трещин;
  • бронхиальная астма — хроническое заболевание, вызывающее воспаление и отек дыхательных путей легких;
  • ХОБЛ (хроническая обструктивная болезнь легких) — общее название болезней легких (включая хронический бронхит, эмфизему и хроническую непроходимость дыхательных путей), вызывающих затруднение дыхания.

Вдыхание кортикостероидов часто применяется для лечения астмы. Препарат принимается через ингалятор или спейсер (пластиковый цилиндр, присоединяемый к вашему ингалятору, который помогает увеличить объем препарата, достигающий легких, и минимизировать его контакт с полостью рта). Вдыхаемые кортикостероиды имеют меньше побочных эффектов, чем другие формы лечения, но могут изменять уровень кислотности во рту. Это изменение убивает полезные бактерии и приводят к дисбалансу, из-за чего вы становитесь более подвержены развитию кандидоза.

Риск развития кандидоза полости рта может быть повышен в следующих случаях:

  • у вас сахарный диабет;
  • вы входите в возрастную группу риска (молочница более распространена среди младенцев и пожилых людей);
  • у вас повышенный уровень сахара в крови;
  • вы носите вставную челюсть, плохо подходящую по размеру, или нерегулярно ее чистите;
  • вы часто принимаете антибиотики (препараты для борьбы с заболеваниями, вызываемыми микроорганизмами);
  • у вас в организме нехватка железа или нехватка витамина В;
  • вы проходите лечение от рака, например, химиотерапию или радиотерапию.

Диагностика молочницы во рту

В большинстве случаев терапевт или стоматолог диагностируют молочницу, просто осмотрев ваш рот. Однако для подтверждения диагноза могут быть проведены некоторые дополнительные обследования. Врач может порекомендовать вам сдать кровь на анализ, чтобы проверить наличие определенных заболеваний, связанных с кандидозом полости рта, например, диабета и дефицита питательных веществ.

Также может быть проведена биопсия. Она заключается во взятии образца слизистой рта в области поражения и рассмотрении их под микроскопом на наличие грибка кандида белая. Стоматолог также может взять мазок из пораженной области, чтобы проследить, как грибок растет в течение нескольких дней.

Как лечить молочницу во рту

Кандидоз полости рта успешно лечится курсом противогрибкового препарата, который следует принимать в течение 7-14 дней. Противогрибковые средства от молочницы доступны в следующих формах:

Пастилки подходят людям, страдающим от сухости во рту, которые не могут проглатывать противогрибковые таблетки. Если вы носите вставную челюсть, наносите противогрибковый крем на пораженные участки на нёбе и под протезом. Противогрибковые пастилки также эффективны.

Существуют следующие противогрибковые препараты для лечения молочницы во рту:

Если есть основания полагать, что причиной развития кандидоза стали антибиотики или кортикостероиды, возможно, вам потребуется сменить препарат или его форму или уменьшить дозировку. Вам также рекомендуется соблюдать гигиену полости рта и воздерживаться от курения.

Некоторые противогрибковые препараты против молочницы не следует принимать во время беременности, грудного вскармливания или при приеме других лекарств. Перед употреблением противогрибковых средств обязательно проконсультируйтесь с врачом.

Возможные побочные эффекты противогрибковых препаратов включают в себя:

  • тошноту;
  • боль в животе;
  • понос;
  • головную боль;
  • несварение желудка.

Профилактика молочницы во рту

Вы можете снизить риск развития кандидоза полости рта, если будете следить за чистотой и здоровьем вашей полости рта. Для этого вы можете делать следующее:

  • споласкивать рот после еды;
  • регулярно посещать стоматолога;
  • поддерживать здоровый сбалансированный рацион, не превышая рекомендованную норму потребления сахара;
  • держать зубной протез в чистоте;
  • дважды в день чистить зубы пастой со фтором (убедитесь, что для вас фтор не вреден);
  • регулярно пользоваться зубной нитью;
  • регулярно использовать жидкости для полоскания полости рта.

Если вы носите зубной протез, его необходимо регулярно чистить с помощью щетки, чтобы предотвратить рост грибка. Каждый вечер его нужно снимать и чистить в теплой мыльной воде, уделяя особое внимание неотполированной стороне челюсти.

Затем протез можно замочить в любой жидкости, используемой для стерилизации детских бутылочек. Однако не следует использовать жидкость, содержащую отбеливающее вещество, для стерилизации протеза, содержащего металл.

Если протез неудобно сидит во рту, вам следует обратиться к своему стоматологу, чтобы его откорректировали. Это также поможет снизить риск развития молочницы и раздражения под протезом. Обратитесь к своему стоматологу за более подробной информацией о том, как чистить зубной протез.

Курение способствует росту грибка во рту и увеличивает риск развития кандидоза. Если вы хотите бросить курить, обратитесь к своему терапевту. Существует несколько способов бросить курить, а врач может дать вам информацию о местных кабинетах по борьбе с табачной зависимостью и частнопрактикующих наркологов.

Если для лечения астмы вы используете ингаляции кортикостероидов, следующие советы помогут вам предотвратить развитие молочницы во рту:

  • после использования ингалятора прополощите рот;
  • научитесь пользоваться спейсером при использовании ингалятора.

Спейсер представляет собой пластиковый цилиндр, который присоединяется к вашему ингалятору и может способствовать попаданию кортикостероидов сразу в легкие, минимизируя их контакт с вашей полостью рта.

К какому врачу обратиться при молочнице?

Если у вас появились симптомы молочницы во рту, обратитесь своему терапевту или к стоматологу. Если не начать лечения, симптомы не пройдут, и вы будете продолжать испытывать неприятные ощущения.

С помощью сервиса НаПоправку вы можете найти хорошую стоматологическую клинику, где вам помогут вылечить кандидоз полости рта

Возможно, Вам также будет интересно прочитать

image

image

image

Все материалы сайта были проверены врачами. Однако, даже самая достоверная статья не позволяет учесть все особенности заболевания у конкретного человека. Поэтому информация, размещенная на нашем сайте, не может заменить визита к врачу, а лишь дополняет его. Статьи подготовлены для ознакомительной цели и носят рекомендательный характер.

Казалось бы, кандидоз ротовой полости в основном встречается у грудных детей ввиду незрелости их иммунной системы, но при совокупности некоторых патологических факторов может возникать и у людей более старшего возраста. Так давайте же подробно разберем, как и чем лечить молочницу во рту у взрослых.

Однако для начала небольшое вступление. Молочница в полости рта – инфекционное заболевание, вызываемое дрожжеподобными грибами из рода Кандида, которые в норме обитают в здоровом организме и не вызывают никаких жалоб. Среди взрослого населения кандидоз рта чаще всего поражает женский пол, курящих мужчин и пожилых людей, которые пользуются зубными протезами или имеют ослабленный иммунитет.

Способы лечения молочницы во рту у взрослого человека

Как правило, диагноз уже можно выставить по наличию характерных клинических проявлений, как на приведенных ниже фото: беловатые густые творожистые налеты на коже губ, эпителии языка, внутренней поверхности щек; чувство жжения и мучительный зуд; при снятии налетов на слизистых оболочках образуются слегка кровоточащие эрозии.

image

Молочница на губах у взрослых может быть спровоцирована рядом причин. Для выяснения конкретной потребуются: проведение ряда дополнительных анализов, консультации смежных специалистов (инфекционист, стоматолог, иммунолог).

Базисные способы и методы лечения заключаются в следующем:

  • Целенаправленное лечение патологии, которая спровоцировала развитие кандидоза. К примеру, при сахарном диабете должна быть достигнута компенсация углеводного обмена, при воспалительных и дистрофических поражениях зубов и десен – соблюдение личной гигиены, отказ от курения и сладостей, своевременное лечение болезни.
  • В основе лечения лежит прием системных препаратов, обладающих противогрибковым действием. Чаще всего используют антибиотики имидазолового и полиенового ряда.
  • Для уменьшения выраженности местных симптомов назначаются топические лекарственные средства в виде мазей, аэрозолей и растворов.
  • Оправдано применение в комплексной терапии и народных методов лечения. Многие травяные отвары и настойки обладают противовоспалительным и антимикотическим эффектом. Как правило, эти рецепты доступны каждому человеку.
  • Наряду с лечением главного заболевания следует придерживаться особой диеты (исключить алкоголь, мучное и кондитерские изделия), тщательно соблюдать правила личной гигиены, принимать препараты с иммуномодулирующим действием.

Терапия кандидоза на языке

Лечение молочницы на языке у взрослых подразумевает комбинацию лекарственных средств местного и системного действия с рецептами из народной медицины.

В первую очередь, пациент на время лечения должен отказаться от продуктов, которые провоцируют и усугубляют течение молочницы. Дрожжи, сахаросодержащие продукты, алкоголь, соусы и кофе исключаются полностью из пищевого рациона.

Кроме регулярной чистки зубов при кандидозе показано полоскание либо самостоятельная обработка пораженных участков содовым раствором. Благодаря его использованию удаляются грибковые налеты, и осуществляется санация ротовой полости.

Так как кандидоз во взрослом возрасте протекает на фоне ослабленного иммунитета, островки налетов могут образовываться и в пищеварительной трубке, и в органах половой системы.

Поэтому терапия должна начинаться с системно действующих средств:

Для местной обработки полости рта используют антисептические и противогрибковые растворы, мазевые аппликации:

  1. Полоскание с 2% раствором борной кислоты необходимо повторять каждые три часа на протяжении 10 дней.
  2. Комбинированные растворы в виде Гевалекса, Тантум-Верде также помогут избавиться от местных симптомов такого заболевания, как молочница на языке у взрослых.
  3. Хорошим эффектом обладают аппликации с 1% Клотримазолом, 0,5% Декаминовой мазью. Процедуру выполняют дважды в день, как минимум, в течение одной недели.

В качестве полосканий используют такие варианты народных средств:

  • Соки из моркови и калины. В их составе находится значительное количество витаминов из разных групп, фитонцидов и эфирных масел. Курс терапии не меньше месяца.
  • Отвары из ромашки, чистотела и березовых почек.
  • Настойка из календулы (перед полосканием чайную ложечку настойки необходимо развести в одном стакане воды).
  • Мед также удаляет кандидозные налеты. Для этого 4 раза за день необходимо рассасывать во рту по одной чайной ложке меда. Курс может длиться 20-25 дней.

Лечение молочницы на губах

Кроме поражения слизистых оболочек, молочница может локализоваться на коже губ и на их красной кайме.

Подход к системным препаратам аналогичный таковому при лечении кандидоза на языке.

А вот среди местно действующих средств есть некоторые различия:

  1. Для устранения ангулярного хейлита и дрожжевых заед используют Нистатиновую или 5% Левориновую мази. Наносить их следует ватными палочками на пораженную зону 3-4 раза в день, курсом не менее 7 дней.
  2. Красную кайму губ можно обрабатывать анилиновыми растворами: бриллиантовым зеленым или фукорцином, к примеру. Процедуры выполняются дважды (вечером и утром) в день на протяжении 10 дней.

Лечение молочницы на губах возможно и с помощью народных рецептов:

  • Аппликации с маслом алоэ, облепихи или шиповника. Сложенную в шесть слоев марлю пропитывают выбранным маслом и прикладывают к пораженной зоне на 15 минут. Повторять процедуру надобно ежедневно на протяжении двух недель. В структуру этих масел входят вещества с выраженным заживляющим, обезболивающим и иммуностимулирующим действиями.
  • Эрозивные поверхности и участки налетов можно смазывать соком из лука, полыни или чеснока. Улучшение наступает уже спустя неделю, но лечение следует продолжить, как минимум, до 14-21 дня.
  • Масло душицы содержит в себе железо, кальций, органические кислоты, витамины C и A, которые способствуют скорейшему уничтожению грибков. Наносить масло следует на пораженную кожу трижды в день.

Чем еще можно побороть грибок во рту?

Существует еще несколько эффективных и недорогих методов избавления от кандидоза, о которых мало кто знает.

Кроме приведенных антисептических растворов, травяных отваров, полость рта можно полоскать обычным раствором Метрогила, который используют для внутривенных инфузий. Приобрести данное средство можно в любой аптеке за небольшие деньги. Полощут рот им 5-6 раз в день на протяжении 7 или 10 дней.

Мощным противомикотическим действием обладает смесь Нистатина и витамина цианокобаламина. Для ее приготовления необходимо растолочь одну таблетку Нистатина, после чего добавить ее в одну ампулу витамина B12. Полученной смесью обрабатывают ротовую полость от 2-х до 5 раз в сутки.

Молочница у Женщин,Мужчин,Детей - Препараты для Лечения Кандидоза Кишечника,Вагинального,Полости РтаМолочница у Женщин,Мужчин,Детей — Препараты для Лечения Кандидоза Кишечника,Вагинального,Полости Рта

Стоматологический кандидоз у взрослых и детей – симптомы, медикаментозное и народное лечение, профилактика

Одной из самых распространенных стоматологических патологий, вызываемых грибковой инфекцией, является кандидоз или молочница. В основном болезнь поражает грудничков, но может быть диагностирована у людей старшего возраста, чаще всего тех, кто пользуется протезами. Патология не представляет угрозы для жизни, но может нанести серьезный ущерб здоровью. Что такое кандидоз полости рта, как выглядит и как лечится заболевание? Об этом – далее в статье.

Грибок проникает в эпителиальные ткани слизистой оболочки полости рта и глотки. Активное деление приводит к быстрому увеличению численности микроба и выделению большого количества особых веществ (патогенных кислот и ферментов). В результате клетки эпителия разрушаются, что проявляется соответствующими симптомами (об этом расскажем чуть ниже).

Кандидоз 1 слизистой полости рта и глотки, чаще, развивается по причине ослабленного иммунитета. Провоцирующими факторами служат следующие заболевания и состояния:

  • дефицит витаминов: обусловленный как недостаточным поступлением их с пищей, так и нарушенным процессом всасывания в кишечнике,
  • длительный прием антибиотиков,
  • нарушения углеводного или гормонального фона: а также прием гормональных средств в течение длительного времени,
  • сахарный диабет,
  • заболевания органов ЖКТ: например, гастрит или ГЭРБ,
  • терапия онкологических заболеваний,
  • травмирование эпителия полости рта острыми краями скола зуба или коронки в течение длительного времени,
  • недостаточная гигиена зубов: особенно при использовании протезов из акриловой пластмассы.

Важно знать! Заболевание передается контактным путем. Несмотря на то, что в неактивном состоянии грибок присутствует практически у каждого человека, передать активную форму можно через посуду, зубную щетку, во время поцелуя. Кроме того, если у беременной женщины имеется молочница половых путей, то во время родов может заразиться и ребенок. Передатчиками инфекции могут быть и животные (при этом у них симптомы патологии отсутствуют).

Симптомы кандидоза полости рта находятся в тесной связи с состоянием иммунитета пациента, видом патологии, тяжестью протекания болезни, а также возрастными особенностями. На начальном этапе болезни, по мере проникновения кандид в слизистую оболочку, эпителий становится красным, отекшим, возникает ощущение сухости.

Размножаясь, грибок образует псевдомицелий, который визуально определяется как творожистый налет. Помимо самого микроба налет содержит остатки эпителиальных клеток, бактерии, пищевые включения. Сначала налет появляется отдельными крупинками, но постепенно увеличивается в объеме, покрывая слизистую белой пленкой, или формируется в виде бляшек. Кандидоз оболочки полости рта может распространяться по поверхности щек, миндалин, глотки, покрывать язык и десны, иногда патология переходит на губы.

По мере дальнейшего размножения микроорганизма развиваются следующие признаки кандидоза рта:

  • белый налет на слизистой,
  • сильное жжение и зуд,
  • трудности с проглатыванием еды,
  • гипертермия разной интенсивности: повышение чувствительности при приеме горячей пищи,
  • трещины, гиперемия, заеды в уголках губ.

Вследствие общей интоксикации и ослабленного иммунитета развивается слабость, упадок сил, возможна головная боль и нарушения сна.

Евгений О., из сообщения на форуме otzovik.com

Существует несколько видов кандидоза полости рта. Каждый из них имеет свои специфические симптомы и особенности протекания.

Подразделяется на 2 разновидности – в зависимости от скорости протекания болезни и остроты симптоматики.

Провоцирующими факторами острого атрофического вида болезни часто являются травмирование в течение длительного времени и продолжительный прием кортикостероидов и антибиотиков. Признаки: сухость, выраженные болевые ощущения во время еды, затруднения в произношении звуков, жжение языка.

Атрофический тип молочницы приобретает хроническое течение чаще всего у пациентов, пользующихся протезами. Для данного вида патологии характерны такие признаки, как: сухость слизистой, вязкая слюна, краснота и отечность слизистых оболочек. В местах соприкосновения слизистой и конструкции могут быть выявлены эрозивные очаги. На языке наблюдаются атрофия сосочков, эритема. Заболевание часто сопровождается образованием заед.

Протекает длительно, в течение нескольких месяцев. Хронический гиперпластический кандидоз полости рта характеризуется желтоватым, трудноотделяемым налетом, локализованным преимущественно на языке. Характерным симптомом этого типа болезни является воспалительная сосочковая гиперплазия (разрастание) твердого неба.

У детей кандидоз полости рта чаще встречается в грудном возрасте, что связано как с незрелой иммунной системой и неустоявшимся балансом микрофлоры, так и с высокой вероятностью попадания кандид на слизистую (сосание пальца, игрушек и прочее). Симптомы заболевания в детском возрасте выглядят следующим образом:

  • белые крупинки, а затем налет на слизистой: в основном на щечной поверхности,
  • жжение и болевые ощущения,
  • заеды (ангулит),
  • отказ от еды,
  • плаксивость, раздражительность,
  • нарушение сна,
  • повышение температуры.

При отсутствии лечения небольшие бляшки разрастаются и углубляются, преобразуясь в эрозии. Налет становится буроватого оттенка, трудно снимается и может распространиться на всю слизистую оболочку.

Важно знать! На начальной стадии развития болезни налет покрывает поверхность щек малыша тонкой белесой пленкой. Она легко убирается, обнажая красная, воспаленная слизистая.

К какому врачу обратиться при подозрении на кандидоз полости рта? Болезнь лечит врач терапевт (в случае детей – педиатр), стоматолог и детский стоматолог. В запущенных ситуациях, при распространении патологии на другие участки организма, лечение назначает инфекционист.

Диагностика кандидоза полости рта у мужчин, женщин и детей одинакова, и начинается с визуального осмотра. Как правило, постановка диагноза не представляет трудностей, однако для исключения других патологий лучше всего сделать лабораторное исследование. Дифференциальную диагностику проводят с такими болезнями, как: лейкоплакия, герпес, хейлит, стоматит.

Анализ на кандидоз полости рта представляет собой взятие соскоба со слизистой оболочки. Перед сдачей не рекомендуется принимать пищу и проводить гигиенические мероприятия. Кроме того, нежелательно накануне есть продукты, содержащие большое количество углеводов.

На заметку! Пройти обследование самостоятельно можно в любом диагностическом центре. Также подобный соскоб берут бесплатно в некоторых поликлиниках по направлению врача. Если не знаете, где сдать анализ на кандидоз полости рта, лучше всего с этим вопросом обратиться к лечащему врачу.

Помимо соскоба врач может назначить сдачу анализов крови и мочи, лабораторный анализ на содержание сахара в крови. Если болезнь вызвана какими-либо нарушениями со стороны внутренних органов, эндокринной системы, потребуется дополнительная консультация соответствующего специалиста (терапевта, гастроэнтеролога, эндокринолога).

Лечение кандидоза полости рта носит комплексный характер. Оно включает в себя: прием медикаментозных средств, использование народных способов (но только после консультации со стоматологом), внесение изменений в питание. Задачами терапии являются:

  • предупредить дальнейшее размножение и распространение грибка,
  • устранить воспалительные явления,
  • предотвратить присоединение вторичной инфекции,
  • ускорить заживление поврежденной слизистой оболочки,
  • повысить уровень местного и общего иммунитета.

Лечение проводится фармакологическими препаратами местно и системно. Важное значение принадлежит предварительному выявлению и устранению провоцирующего фактора.

При кандидозе полости рта применяются лекарственные препараты разных групп:

  • противогрибковые,
  • антибактериальные с противогрибковым эффектом,
  • антисептические,
  • антигистаминные,
  • общеукрепляющие,
  • регенерирующие,
  • иммуномодулирующие,
  • витаминные комплексы.

Народная мудрость рекомендует при кандидозе полости рта обрабатывать слизистую оболочку облепиховым маслом. Предварительно следует провести полоскания водными настоями или отварами лекарственных трав: ромашки, коры дуба, календулы. Процедуры можно проводить перед накладыванием мази или применением рассасывающих пастилок. Несмотря на кажущуюся безопасность, перед тем, как лечить кандидоз полости рта народными средствами, нужно посоветоваться с врачом, так как некоторые вещества препарата и растения могут оказаться несовместимыми. Также растительные экстракты могут вызвать аллергическую реакцию, поэтому внимательно следите за самочувствием, особенно когда применяете назначенное средство впервые в жизни.

Сама по себе диета при кандидозе рта не является лечебным фактором, однако ее соблюдение помогает ускорить процесс уничтожения микроба и улучшить состояние слизистой. Так как активному делению Кандиды способствует избыток углеводистой пищи, то в первую очередь необходимо позаботиться об ее ограничении в рационе.

Что можно есть при кандидозе рта? В списке разрешенных продуктов находятся: овощные, крупяные и кисломолочные блюда. Также можно есть рыбу и мясопродукты с низким содержанием жира. Полностью исключаются сладости, алкоголь, дрожжесодержащая пища, специи. Для предупреждения дополнительного травмирования слизистой следует избегать горячей и твердой еды.

Существует ряд рекомендаций специалистов по профилактике кандидоза полости рта, придерживаясь которых, можно уберечь себя и ребенка от развития заболевания. В отношении болезни у детей советы адресованы, в первую очередь, родителям. Чтобы не допустить размножения патогенного грибка у ребенка, достаточно следить за чистотой его игрушек, гигиеническим состоянием, способствовать укреплению иммунитета всеми доступными способами, корректировать рацион.

Профилактические мероприятия для взрослых людей заключаются в поддержании иммунной системы, тщательной гигиене зубов, особенно при ношении протезов, своевременном лечении сопутствующих заболеваний.

Вопрос № 1: какой код по МКБ-10 имеет заболевание

Вопрос № 2: какие лабораторные исследования нужны, чтобы подтвердить диагноз

Для подтверждения диагноза достаточно визуального осмотра и/или микроскопического исследования взятого образца слизистой. В качестве дополнительных анализов возможны: эндоскопическое исследование, культуральный анализ.

Вопрос № 3: что может спросить врач у пациента

Анкетирование пациента на первичном приеме включает следующие вопросы:

  • как давно появились признаки заболевания,
  • какие еще симптомы присутствуют,
  • имеются ли у вас хронические болезни,
  • имеет ли место прием антибактериальных и/или гормональных препаратов.

Вопрос № 4: что можно спросить пациент у врача

  • какие исследование требуются,
  • что сделать, чтобы предотвратить развитие болезни в дальнейшем,
  • какую диету нужно соблюдать,
  • правила приема лекарственных препаратов.

Вопрос № 5: может ли молочница во рту возникнуть снова после лечения

Может. Заболевание склонно к рецидивам, особенно, если провоцирующий фактор не устранен. Такое возможно при невыполнении рекомендаций врача пациентом, продолжительной болезни организма или при неточной диагностике при первичном лечении молочницы.

Вопрос № 6: в чем опасность заболевания при ВИЧ-инфекции

Молочница еще больше снижает иммунитет, что провоцирует развитие более тяжелых патологий. Лечение должно проводиться под непрерывным контролем врача, а пациенту предписывается точное соблюдение всех рекомендаций.

Судя по отзывам практикующих стоматологов, своевременное лечение патологии быстро восстанавливает качество жизни, а соблюдение профилактических мер дает возможность избежать повторного развития болезни. Как правило, заболевание редко приобретает угрожающие формы ввиду специфичности клинической картины. Поэтому прогноз лечения благоприятный.

Сколько времени нужно, чтобы вылечить кандидоз во рту?

Здравствуйте, Сергей. Обычно курс терапии кандидоза полости рта продолжается около недели после того, как пациент прошел обследование и получил рекомендации по лечению. Срок может и увеличиться, если течение болезни сопровождается другими патологиями, особенно остро протекающими. Поэтому внимательно соблюдайте кратность и дозировку приема лекарственных препаратов.

Читайте также:

Ссылка на основную публикацию
Похожее