Пн-пт: 09:00—20:00; сб: 09:00—16:00 по предварительной записи
whatsapp telegram vkontakte email

Сколько дней может быть кандидоз языка

Из этой статьи вы узнаете, что такое кандидоз языка, какие факторы способствуют развитию этого заболевания. Симптомы и диагностика кандидоза ротовой полости, его лечение и профилактика.

Автор статьи: Нивеличук Тарас , заведующий отделением анестезиологии и интенсивной терапии, стаж работы 8 лет. Высшее образование по специальности «Лечебное дело».

Кандидоз – это инфекционное заболевание, вызываемое дрожжевыми грибками из рода Candida. Болезнь может поражать различные части тела, но чаще всего она развивается во влагалище, ротовой полости и на языке.

Врачи преимущественно рассматривают грибковое поражение языка в составе кандидоза ротовой полости. Действительно, трудно представить, что инфекция, развившаяся на языке, не распространится на всю слизистую оболочку рта.

Кандидоз ротовой полости и языка практически никогда не несет опасности для здоровья и жизни пациентов, однако он может развиваться на фоне различных серьезных заболеваний, таких как сахарный диабет и ВИЧ. Обычно грибковая инфекция хорошо поддается лечению, хотя при наличии предрасполагающих к ее развитию факторов она может появляться повторно.

Диагностикой и лечением кандидоза ротовой полости занимаются дерматологи и стоматологи.

Причины и факторы риска кандидоза языка

Единственной причиной кандидоза языка являются грибковые микроорганизмы из рода Candida. Небольшое количество этих грибков живет на здоровой коже и слизистой оболочке рта. Обычно они не представляют никакой опасности для человека, являясь частью естественной микрофлоры.

Чашка Петри с выращенной Кандидой

Однако при наличии определенных условий грибки выходят из-под контроля иммунной системы и начинают усиленно размножаться, приводя к появлению симптомов кандидоза. К факторам, способствующим развитию грибковой инфекции, принадлежат:

  • Младенческий возраст. Молочница ротовой полости достаточно часто наблюдается у новорожденных детей, так как у них незрелая иммунная система.
  • Использование зубных протезов. Этот фактор приобретает особое значение, если вы не снимаете протезы на ночь, не чистите и не обеззараживаете их, если они не подходят вам и повреждают слизистую оболочку на деснах.
  • Курс антибактериальной терапии. Антибиотики уничтожают полезные бактерии, которые обитают в ротовой полости. Они не убивают грибки, которые при нарушении естественной микрофлоры начинают размножаться быстрее.
  • Прием кортикостероидов в виде таблеток или ингаляций.
  • Чрезмерное использование растворов для полоскания рта. Они могут разрушать полезные бактерии, что способствует росту грибковых микроорганизмов.
  • Пересыхание слизистой оболочки ротовой полости из-за нехватки слюны. Это может возникнуть вследствие побочных эффектов некоторых лекарственных средств (включая антидепрессанты, препараты для химиотерапии), после лучевой терапии, проводимой для лечения опухолей головы и шеи. Также пересыхание слизистой оболочки может быть симптомом синдрома Шегрена.
  • Сахарный диабет. При этом заболевании слюна может содержать достаточно высокие уровни сахара, которые способствуют росту грибков.
  • Тяжелая анемия.
  • Дефицит железа, фолиевой кислоты и витамина В12.
  • Ослабленная иммунная система. Ухудшенный иммунитет может быть результатом приема препаратов, подавляющих его, наличия некоторых видов злокачественных опухолей, ВИЧ-инфекции.
  • Плохое общее состояние здоровья.
  • Курение. Молочница ротовой полости чаще развивается у курильщиков.

Кандидоз языка не заразен, его нельзя передать другим людям, если у них нет приведенных выше факторов. Тем не менее людям с молочницей рта лучше воздержаться от поцелуев.

Симптомы кандидоза языка

В начале болезни большинство пациентов даже не замечают никаких симптомов. Однако по мере все большего распространения грибковой инфекции по всей поверхности языка и слизистой оболочке рта могут появиться следующие признаки:

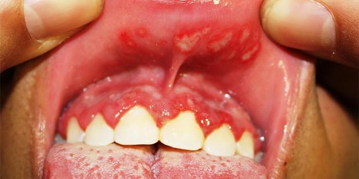
Белый налет на языке, внутренней поверхности щек, деснах и миндалинах.

Налет слегка возвышен над поверхностью слизистой оболочки, он имеет творожистый вид.

Часто на языке нет белого налета, в таких случаях на нем могут быть красные и болезненные области.

При попытке снять этот налет возникает небольшое кровотечение.

Боль в области грибкового поражения.

Сухая, потрескавшаяся кожа в уголках рта.

Ухудшение вкусового восприятия.

В тяжелых случаях, которые обычно связаны с онкологическими заболеваниями или ослабленным иммунитетом при ВИЧ-инфекции, грибковая инфекция может распространяться на глотку и пищевод, что проявляется болью при глотании.

Клиническая картина кандидоза языка и рта у младенцев может включать:

  • Отказ ребенка от кормления.
  • Усиленную раздражительность и беспокойство малыша.

Диагностика

Обычно диагноз кандидоза языка врачи устанавливают при обычном осмотре полости рта. Иногда для подтверждения наличия грибковой инфекции может проводиться соскоб с поверхности белого налета, который направляют в лабораторию для микробиологического исследования.

Так как кандидоз на языке у взрослых может появляться на фоне достаточно серьезных заболеваний, им может понадобиться более детальное обследование для выявления факторов, которые могут способствовать возникновению грибковой инфекции.

Методы лечения

При кандидозе языка лечение обычно проходит успешно, болезнь можно полностью устранить. Кандидоз может быть местным или системным. Выбор подходящего метода осуществляет врач, учитывая возраст, общее состояние здоровья пациента и причину возникновения грибковой инфекции. Например:

  • Здоровым взрослым пациентам и детям врачи рекомендуют использование противогрибковых препаратов местного действия.
  • Взрослым людям с ослабленным иммунитетом назначают системные противогрибковые средства.
  • Младенцам на грудном вскармливании назначают местное лечение кандидоза ротовой полости, а матери рекомендуют наносить противогрибковый крем на соски после кормления ребенка.

Для лечения нетяжелого кандидоза языка применяют противогрибковые препараты местного действия – гель, раствор или капли. Обычно эти формы лекарственных средств содержат одно из следующих действующих веществ:

Перед началом использования любого конкретного препарата нужно внимательно ознакомиться с инструкцией к нему. Общие рекомендации по применению этих средств:

  • Использовать их следует после еды или питья.
  • Наносить препарат нужно на пораженные области 4 раза в день. Если используется гель, делать это лучше всего с помощью чистого пальца, если капли или раствор – с помощью пипетки.
  • После нанесения противогрибкового средства нельзя ничего есть или пить в течение как минимум 30 минут. Это предотвратит слишком быстрое его смывание из пораженной области.
  • Длительность курса лечения составляет 1–3 недели.

Местная терапия кандидоза языка обычно хорошо переносится пациентами и имеет высокую эффективность. Лишь у небольшого количества пациентов развиваются побочные эффекты, чаще всего включающие признаки раздражения в области нанесения противогрибковых средств.

В более тяжелых случаях грибковой инфекции, которые чаще всего развиваются на фоне существующих серьезных заболеваний, врачи назначают системную противогрибковую терапию в виде перорального приема таблеток. Обычно действующим веществом этих таблеток является флуконазол. Врачи чаще всего рекомендуют следующую схему лечения кандидоза ротовой полости:

  • В первый день – 200 мг флуконазола перорально.
  • В течение последующих 13 дней – по 100 мг флуконазола 1 раз в день.

При неэффективности такого лечения рекомендуют внутривенное введение противогрибковых препаратов. Чаще всего необходимость в такой терапии возникает при развитии кандидоза на фоне иммунодефицита.

Профилактика

О профилактике кандидоза языка обычно люди задумываются после появления нескольких эпизодов этого заболевания. Предотвратить повторное развитие грибковой инфекции ротовой полости можно с помощью следующих советов:

Если у вас есть сахарный диабет – тщательный контроль над уровнями глюкозы крови снижает риск возникновения кандидоза и других инфекционных заболеваний.

Если вы используете ингаляционные кортикостероиды – правильная техника ингаляций и применение специальных спейсеров снижает риск кандидоза. Также удалить любые частицы кортикостероидов со слизистой помогает промывание ротовой полости после каждого использования ингалятора. Можно попросить врача снизить дозу кортикостероидов в ингаляторе до самой низкой, необходимой для контроля над астмой.

Если вы носите зубные протезы – снимайте протезы на ночь или хотя бы на 6 часов каждый день. Ежедневно чистите и обеззараживайте их. Для этого используйте мыльную воду и зубную щетку, затем – дезинфицирующий раствор. После каждого обеззараживания промойте протезы водой и позвольте им высохнуть перед тем, как надеть снова. Если вам кажется, что зубные протезы не подходят, обратитесь к стоматологу.

Если вы принимаете лекарственные средства, пересушивающие слизистую оболочку во рту, часто делайте небольшие глотки воды.

Если у вас есть анемия, дефицит витамина В12, фолиевой кислоты или железа – устранение этих факторов может помочь предотвратить развитие кандидоза в будущем.

Если вы курите – отказ от курения помогает предотвратить возникновение грибковой инфекции во рту.

Людям с ослабленной иммунной системой врачи могут назначить профилактический прием противогрибковых средств для предотвращения рецидивов кандидоза.

Прогноз

Прогноз при кандидозе ротовой полости зависит от тяжести грибковой инфекции и состояния иммунной системы пациента.

Нетяжелый кандидоз языка, вызванный обратимыми факторами риска, прекрасно поддается лечению, что приводит к выздоровлению практически всех пациентов. Симптомы этого заболевания обычно исчезают в течение 1–2 недель от начала терапии.

У пациентов с ослабленной иммунной системой существует риск возникновения тяжелых осложнений, которые возникают вследствие распространения грибковой инфекции по всему организму.

image Достаточно распространенным заболеванием среди всего населения является молочница. Многие ошибочно полагают, что молочница – исключительно женское заболевание, поражающее половые органы.

Это в корне не так. Молочница может распространяться на всех слизистых оболочках и внутренних органах женщин, мужчин и детей. Одной из форм дрожжевого стоматита является кандидоз языка.

В таком случае грибок селится не только на языке, но и на всей слизистой оболочке ротовой полости. Почему же так происходит? И каковы причины молочницы на языке?

Причины развития молочницы на языке

Молочница развивается на фоне активного роста и размножения грибов рода кандиды. Стоит отметить, что данные микроорганизмы присутствуют в организме каждого человека. И только при благоприятных для них условиях начинают свой активный синтез. Часто кандидоз языка возникает из-за сниженного иммунитета.

Дисфункция защитной системы организма не позволяет ему самостоятельно бороться с патогенными микроорганизмами, снизить их популяцию. Поэтому и развивается кандидоз слизистых оболочек. Часто кандидоз на языке встречается у маленьких деток, грудничков, и пожилых людей.

Важно знать, очень часто молочница передается малышу от матери во время родов.

Важную роль играет и личная гигиена. Молочница на языке у взрослых возникает в условиях отсутствия элементарной гигиены ротовой полости. Так, автоматически увеличивается их количество на языке.

Кандидоз языка проявляется, как один из симптомов молочницы других внутренних органов. Патогенные микроорганизмы, в основном, развиваются в кишечнике. И уже оттуда распространяются по всему организму (половые органы, гортань, язык, пищевод, горло, кожные покровы).

Любая форма кандидоза может вызываться длительным приемом антибиотиков, так как полностью нарушается микрофлора кишечника.

В целом, можно выделить такие основные причины молочницы на языке у взрослых и детей:

  • кариес зубов;
  • аутоиммунные заболевания;
  • рак, сахарный диабет;
  • дисбактериоз;
  • вредные привычки (курение, алкоголь);
  • гормональные нарушения;
  • дисфункция эндокринной системы;
  • повреждения слизистой оболочки ротовой полости;
  • нездоровое питание;
  • ожирение.

Важно следить за рационом питания. Некоторые продукты создают благоприятную среду для жизнедеятельности грибов. Так, большое количество сладостей, выпечки, шоколада, сахара часто приводят к молочнице различных органов и систем. На время лечения важно отказаться от их употребления. А в ежедневное меню обязательно включить кисломолочную продукцию.

Симптоматика молочницы языка

image Молочница у взрослых во рту проявляется разными симптомами, в зависимости от вида кандидоза. Так, различают такие виды молочницы ротовой полости и языка:

  • атрофическая;
  • гиперпластическая;
  • гранулематозная;
  • ромбовидный глоссит.

Так, атрофическая молочница на языке характеризуется окрашиванием спинки языка в красный цвет. Язык приобретает гладкий вид, а не нормальный шершавый. Со временем начинает появляться белый налет на области поражения, наблюдается отечность языка, он увеличивается в размерах.

Гиперпластическая молочница на языке относится к хронической форме кандидоза. Пациент не жалуется на какой-либо дискомфорт. На поверхности языка возникают белые и красные пятна различной формы. Удалить белые бляшки достаточно сложно.

При попытке удаления появляются болевые ощущения, даже кровотечения. А под налетом развиваются эрозии. Остальные виды кандидоза языка редкие. Иногда больной жалуется на трудности в процессе еды.

Стоит выделить основные и первые симптомы молочницы на языке и слизистой оболочке ротовой полости:

  • ощущение сухости во рту;
  • зуд и жжение;
  • белый творожный налет на языке;
  • болезненность;
  • ограничение в движении языка;
  • повышенная чувствительность языка.

Что же касается молочницы на языке у детей, симптомы немного другие. Происходит поражение не только языка, но и горла, неба, гортани. Горло сразу краснеет, малыш становится капризным, плаксивым. Груднички страдают от потери аппетита, а белый налет поглощает внутреннюю сторону щек, губ, язык.

Лечение кандидоза языка

Лечение кандидоза должно начинать с диагностики заболевания. Ведь терапия подбирается с учетом видов грибов, степени их устойчивости к препаратам. Врач проводит первичный осмотр пациента, его опрос.

Затем доктор берет мазок с пораженных участков, чтобы определить количество грибов. Только после получения результатов начинают квалифицированное лечение.

Терапия состоит из трех методов: местное лечение, прием препаратов общего назначения, укрепление иммунной системы. Чтобы быстро устранить боль и дискомфорт необходимо использовать местные препараты. Высокой эффективностью отличаются специальные растворы, которые промывается язык, и вся ротовая полость.

В любой аптеке можно приобрести раствор нистанин. В нем необходимо смочить марлю или бинт, и обработать поверхность языка и ротовой полости. Такие манипуляции нужно проводить до шести раз в день. Это поможет избавиться от белого налета, дискомфорта во рту.

Обязательным условием является прием медикаментов общего назначения. Противогрибковые средства позволяют избавиться от проблемы изнутри, не только снять симптоматику молочницы. Врач может назначить такие таблетки:

После полного избавления от грибов рода кандиды, устранения всей симптоматики можно заниматься укреплением иммунитета. К счастью, иммуномодуляторы представлены в широком спектре.

Важно принимать поливитаминные комплексы. Чтобы не было молочницы на языке нужно иметь крепкий иммунитет. Большая часть терапии направлена на восстановление защитных реакций организма.

Народные методы лечения кандидоза на языке

image Среди народных методов терапии есть несколько эффективных вариантов борьбы с молочницей на языке. Начальная стадия кандидоза ротовой полости и языка лечится содовым раствором.

Для его приготовления необходимо растворить 2 столовые ложки пищевой соды в 1 стакане теплой кипяченой воды.

Раствором из соды обрабатывают язык, полощут ротовую полость. Для эффективного удаления налета лучше использовать бинт. От молочницы на языке можно избавиться при помощи отваров трав:

В народной медицине также используют свекольный сок для полоскания. А смазывать пораженные участки можно маслом облепихи. Очень важно в период лечении соблюдать строгую диету. Необходимо полностью отказаться от употребления сахара, шоколада, выпечки, сдобы, свежего дрожжевого хлеба. Важно снизить количество жирной, соленой, копченой пищи.

Важно обогатить рацион любыми кисломолочными продуктами: кефир, творог, ряженка, простокваша, закваска. Молоко в чистом виде употреблять не стоит. Опасность представляют уксус, соусы, алкоголь. При их употреблении во рту образовывается благоприятный климат для размножения грибов.

Полезно употреблять много свежих овощей и фруктов. Особую ценность представляет чеснок. Овощи эффективно снижают популяцию грибов кандиды. Молочница на языке распространенное заболевание. При своевременном выявлении, лечение проходит быстро.

image

Почему молочница возвращается?

image

Чем опасна молочница? Что следует ожидать от молочницы?

image

Свечи для восстановления микрофлоры

image

Молочница на сосках

image

Лечение хронической молочницы у женщин. Препараты

Кандидоз – это инфекционное заболевание, возбудителем которого являются дрожжеподобные грибки группы Кандида, больше известное в народе как молочница. Они есть в микрофлоре каждого человека, как у детей, так и взрослых.

Если он здоров, их количество незначительно, неприятные симптомы не проявляются, грибок никак не дает о себе знать. Но если состояние человека ухудшается – он переохлаждается, подхватывает вирус или просто сильно переутомляется, — грибок начинает активно размножаться, развивается кандидоз.

Молочница может поражать самые разные органы, чаще всего врачам приходится сталкиваться с кандидозом половых органов или кожных покровов у взрослых. Кандидоз языка или кандидозный глоссит диагностируются преимущественно у детей – лечение в этом случае имеет свою специфику и отличается от лечения взрослых.

Причины и особенности кандидоза языка

Всего выделено более 170 подвидов грибка рода Кандида, все они отличаются по клеточному строению, а значит, имеют разную устойчивость к противогрибковым лекарственным препаратам. Вот почему в некоторых случаях достаточно трех дней, чтобы избавиться от грибка во рту, а иногда результата нет даже через три недели.

То же касается и медикаментозных препаратов: использованное ранее средство при рецидиве болезни может не действовать, так как возбудителем послужил грибок совершенно другого типа.

Грибок любит теплую и влажную среду, оптимальная температура для него – от 20 до 27 градусов выше нуля. Но и нормальная температура человеческого тела (36,6 -37,2 градусов) вполне подходит ему.

Главное условие для роста и размножения грибков Кандида – достаточное количество сахаров в тканях, которыми он питается, вот почему эта болезнь часто является спутником сахарного диабета у взрослых. А при лечении врачи советуют временно снизить употребление сладких продуктов и напитков.

Итак, грибок Кандида – условно-патогенный. Это значит, что поражать ткани и органы человека он начинает только в тот момент, когда защитные способности организма снижаются. Следует понимать, что сам грибок своих свойств не меняет, он не становится агрессивным. Меняется иммунная система человека, точнее – сильно слабеет. Толчком к развитию кандидоза языка могут стать такие факторы:

  • тяжелая инфекция или вирус (грипп, ангина);
  • повышение уровня сахара в крови;
  • ВИЧ-инфицирование;
  • раковые заболевания;
  • лечение гормонами или антибиотиками.

Молочница диагностируется у 70% ВИЧ-инфицированных пациентов и более чем у половины взрослых, страдающих сахарным диабетом. Также в группу риска попадают беременные женщины (иммунитет во время беременности всегда снижен, это естественное и необходимое для нормального вынашивания ребенка явление), пожилые люди и маленькие дети.

Важная информация: если беременная женщина страдала вагинальным кандидозом, от которого ей не удалось избавиться до родов, очень велика вероятность того, что ребенок родится с кандидозом ротовой полости. Также молочница или кандидозный глоссит часто бывают у тех, кто пользуется зубными протезами и пренебрегает при этом гигиеническими процедурами.

Как развивается болезнь

Заражение грибком может произойти двумя путями:

  • извне, от уже зараженного человека, иногда через предметы быта, почву, продукты питания;
  • изнутри, когда происходит самоинфицирование.

Если грибок попал на слизистую ротовой полости, вначале он внедряется в эпителий. В его поверхностных клетках грибок паразитирует, питаясь углеводами и постепенно проникая в более глубокие слои тканей. Если защитные механизмы организма в порядке, он не пустит грибок дальше. Если же иммунитет снижен, грибок может поражать эпителий по всей толщине.

Иногда случается так, что молочница замирает на определенной стадии. С одной стороны, грибок не может преодолеть защитный барьер организма и проникнуть глубже. С другой стороны, у организма хватает сил только на то, чтобы остановить его проникновение, но не побороть полностью. Эта ситуация может длиться месяцы и даже годы, если пациент не обращается за помощью к врачу. Обычно такое явление наблюдается у взрослых.

Основные симптомы кандидоза во рту

Кандидоз во рту нередко называют молочницей. Такое название болезни дали из-за ее главного симптома – белого, плотного налета на слизистой. Налет имеет характерную творожистую консистенцию и кислый запах. В запущенных случаях он приобретает желтый или серый оттенок и уплотняется.

Другие симптомы кандидоза на языке:

  • вначале слизистая и язык отекают и краснеют;
  • затем на языке становятся заметны отдельные очаги – алые шероховатые пятна;
  • пятна могут сливаться между собой, постепенно на них образуется белая пленка. Пока еще она покрывает только отдельные участки и ее легко снять. Слизистая под ней – гладкая, ярко-красная, блестящая, болезненная при прикосновении;
  • со временем пленки становятся толще, занимают большую площадь и превращаются в творожистый налет;
  • язык увеличивается в размерах, его сплошь покрывают борозды, стенки и дно которых устланы налетом.

Соответственно, пациент при этом с трудом может разговаривать и принимать пищу. Изо рта может идти неприятный запах, если болезнь перейдет в хроническую форму, налет станет сухим и более плотным, удалить его будет сложно, под ним на слизистой образуются эрозии. Кандидозный глоссит имеет схожие симптомы и причины развития. Если его не лечить, поражаются глубокие ткани языка, могут образоваться абсцессы и флегмоны.

Очень редко молочница проявляется только на языке. Обычно симптомы наблюдаются также на внутренней поверхности щек и деснах. Нередко грибок дополнительно поражает губы, кожу, половые органы взрослых. В этом случае может повышаться температура тела, отмечаться увеличение и уплотнение лимфатических узлов.

Методы лечения

Лечение заключается не в полном уничтожении грибка Кандида, а в остановке его интенсивного размножения и удержания в допустимых количествах, безопасных для здоровья человека.

Если молочница в легкой форме, не всегда нужна врачебная помощь – достаточно полосканий содой и отварами трав, контроля питания. Осмотр у специалиста и полное обследование нужны в основном для того, чтобы исключить другие заболевания: например, этот вид кандидоза часто путают с дифтеритом, вторичным сифилисом и другими опасными патологиями.

Для лечения используются антимикотики (средства с антигрибковым действием) местного или системного применения. Максимальный эффект достигается, если внутрь принимать антигрибковые препараты в форме таблеток, а саму слизистую обрабатывать антисептическими растворами и мазями. Тогда молочница отступает через 2-4 дня.

Кандидоз Лечение кандидоза народными средствами и методамиКандидоз Лечение кандидоза народными средствами и методами

Из народных средств хорошо себя зарекомендовали отвары лекарственных растений – коры дуба, зверобоя, ромашки. Очень важно особенно тщательно выполнять гигиенические процедуры во время лечения, регулярно чистить зубы и использовать ополаскиватели для рта. Диета должна быть щадящей, рацион нужно откорректировать таким образом:

  • свести к минимуму употребление углеводов в любом виде;
  • исключить пищу, раздражающую слизистую – острое, соленое, кислое;
  • уделить особое внимание способу обработки продуктов – мясо и рыбу лучше перекручивать или употреблять в виде паштетов и суфле, овощи обязательно тушить или отваривать до мягкости. Блюда не должны быть зажаренными, с твердой корочкой, и очень горячими или холодными;
  • предпочтение стоит отдавать легким супам, вязким кашам, разнообразным пюре и киселям.

Большую роль играет иммунитет и общее самочувствие пациента. Потому необходимо принимать дополнительно витаминные комплексы, полноценно отдыхать, чаще бывать на свежем отдыхе и, помимо кандидоза, вылечить застарелые хронические недуги.

Если в полости рта появляется белый налет, это может свидетельствовать о заболеваниях органов пищеварительного тракта или избыточной активности грибка, который провоцирует такую болезнь, как кандидоз языка. Ей подвержены все возрастные группы – от новорожденных до пожилых людей, поэтому знать основные признаки и факторы риска должен каждый. Почему возникает это заболевание и можно ли вылечиться самостоятельно?

Что такое кандидоз на языке

Существует несколько нарушений в работе внутренних органов и систем, которые идут рука об руку с кандидозом языка. Некоторые врачи считают эту болезнь предвестницей сахарного диабета, поскольку для активности и размножения грибка Candida идеально подходит среда, развивающаяся на фоне активного употребления богатой на простые углеводы пищей. Сопровождаться недуг может и:

  • Кандидозным хейлитом – обсеменение грибковыми спорами слизистой оболочки губ и кожи вокруг них, после чего патогенный микроорганизм проникает в рот.
  • Гингивитом – воспаление десен, при котором повышается число патогенных микробов и нарушается состав микрофлоры, что делает грибок Candida активным.
  • Микотическими заедами – появляются на фоне нарушенного прикуса, создают мелкие травмы, через которые в ткани может проникнуть грибок.
  • Дисбактериозом – нарушение микрофлоры кишечника при отсутствии лечения может провоцировать проблемы с микрофлорой полости рта.

image

Причины заболевания

Переход гриба из категории условно-патогенного в категорию опасного преимущественно происходит на фоне общего снижения иммунитета, что провоцирует ничем не сдерживаемое размножение микрофлоры. В группу риска попадают груднички, пожилые люди, лица с ВИЧ. Дополнительно в списке причин недуга находятся:

  • Беременность – провоцирует колебания гормонального фона, влияющие на состояние микрофлоры.
  • Нехватка витаминов группы В, аскорбиновой кислоты.
  • Высокое психологическое напряжение – депрессия со стрессом подтачивают иммунитет.
  • Травмирование слизистых оболочек полости рта, особенно дёсен (зачастую у лиц с зубными протезами) – происходит нарушение защитного барьера, что помогает грибку попасть внутрь, чтобы запустить воспалительный процесс.
  • Прием гормональных препаратов, особенно оральных контрацептивов – изменяется состояние микрофлоры, гормонального фона.
  • Длительное лечение антибиотиками, иммуносупрессорами – тоже негативно воздействует на иммунитет.
  • Лучевая терапия, химиотерапия – по аналогии с медикаментозным лечением влияют на состояние защитных сил организма.

Симптомы кандидоза

Классическим признаком молочницы, затронувшей ротовую полость, врачи называют образование белесого налета, который может обложить слизистую полностью, а может появиться только в отдельных местах. Однако кандидоз имеет несколько форм, одна из которых зачастую протекает совсем без присутствия творожистых масс. Среди дополнительных симптомов можно отметить и наличие болевых ощущений или дискомфорта во время употребления пищи, но полную клиническую картину нужно изучать для каждой формы отдельно.

Если детям свойственна преимущественно псевдомембранозная форма, которая всегда является острой, то у взрослых кандидоз языка может оказаться хроническим и выражаться несколькими способами. Врачи проводят следующую классификацию этого заболевания по его признакам:

  • Псевдомембранозный – размягчение поверхности языка, гиперемия слизистых оболочек, покрытие плотным белесым налетом внутренней стороны щек, нёба. Не исключено чувство жжения, боль при приеме пищи.
  • Гиперпластический – появление папул и бляшек, которые имеют неправильную форму и могут образовывать группы, срастаясь между собой. Локализация – внутренняя сторона щек и язык. Полость рта становится сухой, дискомфорт присутствует постоянно.
  • Острый атрофический – покраснение поверхности языка и уголков губ, истончение эпителия, атрофирование сосочков языка, отёк. Количество типичного для болезни налета минимально, локализуется он на периферии. Редко диагностируются случаи повышения температуры.
  • Хронический атрофический – сухость каймы губ и слизистых оболочек, гиперемия последних, появление налета, болевых ощущений и жжения.

По данным медицинской статистики у новорожденных кандидоз языка наблюдается чаще, чем у детей старших возрастов или у взрослых. Преимущественно это обуславливается несовершенством иммунной системы, но проблема может усугубиться и передачей грибка от матери (при родах или во время кормления малыша), что повышает его количество в детском организме. Заболевание протекает в острой форме, поэтому имеет следующие симптомы:

  • нарушение сна;
  • плаксивость;
  • появление во рту белых крупинок, количество которых постепенно увеличивается, они полностью перекрывают поверхность языка;
  • образование кровоточащих язв, которые доставляют малышу дискомфорт.

Диагностика

Для постановки диагноза­ простого осмотра и изучения истории болезни мало – ориентируясь на жалобы пациента, стоматолог сможет составить только первичную картину. Однако для подтверждения гипотез потребуется проведение лабораторных исследований бактериологического материала и изучение степени обсеменения слизистых рта. Причина тщательной диагностики кроется в схожести симптомов кандидоза и красного лишая, афтозного стоматита и еще нескольких инфекционных стоматологических заболеваний.

Первичным анализом является сдача крови на ПЦР – полимеразную цепную реакцию. Данный анализ дает абсолютно точный результат, который можно узнать в тот же день. Удобство заключается и в простоте чтения итогов: если отметка положительная, возбудитель присутствует и активен, если нет – отсутствует. Дополнительно потребуется сдать анализы крови на грибок Candida, а при хроническом кандидозе и на уровень сахара, чтобы исключить диабет.

Обязательной диагностической процедурой при подозрениях на молочницу является взятие соскоба с языка и последующее лабораторное изучение материала. За 2 ч до визита к врачу нельзя пить и употреблять пищу, желательно утром не проводить и чистку зубов. Забор материала проводится специальным шпателем, после полученную субстанцию в колбе передают в лабораторию, где она будет изучена под микроскопом. Вариантов результата всего 2:

  • Не обнаружено – недуг отсутствует.
  • Обнаружено – присутствует специфичный фрагмент ДНК.

Лечение у взрослых

Терапия должна быть местной и внутренней: последняя предполагает общее укрепление иммунитета и прием антимикотических препаратов, которые используются и наружно. Дополнительно в схему местной терапии вводят полоскания ротовой полости, меняющие pH микрофлоры. Не исключено, что придется воздействовать на сопутствующие заболевания, проводить профилактику бактериальных инфекций, которые могут развиться на фоне кандидоза. В общую терапевтическую схему входят:

  • местные и наружные антимикотики;
  • полиеновые антибиотики;
  • иммуностимуляторы;
  • глюконат кальция;
  • витамины группы В;
  • источники железа.

Кандидоз языка и еще несколько стоматологических заболеваний на большинстве стадий, кроме последней, с образованием бляшек и присоединением бактериальной инфекции, можно лечить через использование наружных средств. Они подавляют активность грибка, предотвращают проникновение микроорганизмов в ткани. Пользоваться с этой целью можно как противогрибковыми мазями (губы, кожа вокруг), так и растворами для полоскания. Врачи советуют:

Когда степень тяжести молочницы на языке делает местную терапию не результативной, врачи подключают к основной схеме один или несколько системных препаратов, относящихся к группе антимикотиков. Они будут воздействовать на грибок во всем организме, купируя его активность и предотвращая размножение. Среди многообразия противогрибковых лекарств способностью влиять на представителей рода Candida обладают только:

Особенности лечения у детей

Общая схема борьбы с недугом полости рта у малышей почти та же, что у взрослых – начинают лечение с местной противогрибковой терапии, по необходимости подключают системные препараты. В тяжелом случае используют антибиотики, но под контролем врача. Основные моменты:

  • Полоскания проводят раствору марганцовки, перекиси водорода, соды.
  • Слизистые периодически обрабатывают Люголем, раствором серебра.
  • В качестве противогрибковых средств применяют Флуконазол, Низорал, Дифлюкан.

Чем лечить молочницу на языке

Точную схему использования наружных и местных лекарственных средств от кандидоза должен составить врач, ориентируясь на особенности организма и степень развития заболевания. В ряде случаев хватает приема таблеток Нистатина и полоскания антисептиками, а тяжелая молочница на языке у взрослых может потребовать нескольких антимикотических лекарств в сочетании с антибиотиками. Самые эффективные препараты можно рассмотреть в таблице:

Читайте также:

Ссылка на основную публикацию
Похожее